Previous | Home | EndoTODAY | List | Next


[Rare presentations]

2020-8-10. 8PM. EndoTODAY Live

* Âü°í: In depth analysis º¸¸¸ 4Çü ÁøÇ༺ À§¾Ï À§³»½Ã°æ ¾ÆÆ²¶ó½º (PDF) 2024

º¸¸¸ 4Çü ÁøÇ༺ À§¾ÏÀº ÀþÀº ¿©¼º¿¡ ¸¹±â ¶§¹®¿¡ ƯÈ÷ ÁÖÀÇÇØ¾ß ÇÕ´Ï´Ù. 29¼¼ ¿©¼ºÀ̾ú°í ¼Ó¾²¸²À̶ó´Â ºñƯÀÌÀû Áõ»ó¸¸ ÀÖ¾ú½À´Ï´Ù.

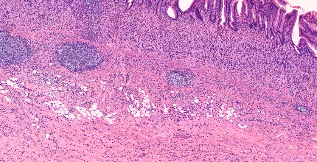
AGC, signet ring cell carcinoma, 17 x 12 cm, subserosa, 2/42, perineural invasion


50´ë ¿©¼ºÀ¸·Î 1³â ÀüºÎÅÍ Áõ»óÀÌ ÀÖ¾ú°í Ãֱ٠üÁß°¨¼Ò¸¦ º¸¿´½À´Ï´Ù. »ý¾Ö ù ³»½Ã°æÀ̾ú½À´Ï´Ù. Á¶Á÷°Ë»ç¿¡¼­ signet ring cell carcinoma°¡ ³ª¿Í ÀǷڵǾú½À´Ï´Ù.

(2013)


[Gastric cancer (EndoTODAY gastric cancer 968)]

Autoimmune gastritis is one of risk factors for gastric cancer especially in Helicobacter negative individuals. In this old lady, a typical B4 cancer was seen at high body greater curvature. But the background gastric mucosa was very atrophic.

Blood tests were severe atrophy with PCA (+) and Hp serology (equivocal).

Total gastrectomy was done.

Diffusely infiltrative poorly cohesive cells.

Atrophic mucosa without cancers

[Home]