Home | EndoTODAY | EndoATLAS

Beginner | ESA | Schedule | OPD

Seminars | Atlas | Recent | Links

EndoTODAY ³»½Ã°æ ±³½Ç


[GIST (gastrointestinal stromal tumor). À§Àå°ü °£Áú¼º Á¾¾ç. À§Àå°ü ±âÁúÁ¾¾ç] - ðû

1. SET(SMT)¿Í GIST - ¹«¾ùÀÌ °°°í ¹«¾ùÀÌ ´Ù¸¥°¡?

2. GIST º´¸®Áø´Ü - D842V variant, SDH-deficient GIST

3. Mini-GIST ȤÀº mini-SMT

4. GIST Ä¡·á

5. »óºÎÀ§Àå°ü ÃâÇ÷·Î ³»¿øÇÑ GIST

6. ù Áø´Ü½Ã ÀüÀ̰¡ ÀÖ¾ú´ø GIST

7. °æ°ú°üÂû Áß ±Ë¾çÀÌ ¹ß»ýÇÏ¿© ¼ö¼úÇÑ Áõ·Ê

8. °æ°ú°üÂû Áß ÃâÇ÷·Î ¼ö¼úÇÑ GIST

9. ÇÊÀÚ°¡ °æÇèÇÑ °¡Àå Å« GIST

10. ¼ö¼úÀ» ±ÇÀ¯¹Þ¾ÒÀ¸³ª °ÅºÎÇϰí Áö³»´Ù°¡ °£ÀüÀÌ »óÅ·ΠÀÇ·ÚµÈ È¯ÀÚ

11. More cases of gastric GIST

12. ¼ÒÀå GIST Áõ·Ê

13. ´ëÀå GIST Áõ·Ê

14. ´Ù¸¥ Àå±â GIST Áõ·Ê

15. Code

16. FAQ

17. References


1. SMT¿Í GIST - ¹«¾ùÀÌ °°°í ¹«¾ùÀÌ ´Ù¸¥°¡?

GIST´Â ÇϳªÀÇ Áø´Ü¸íÀÔ´Ï´Ù. GISTµµ heterogeneousÇÏ¿© Kit (+) GIST, Kit (-) GIST°¡ ¼¯¿© ÀÖÀ¸¸ç ´Ù¾çÇÑ À¯ÀüÀû ¾ÆÇüºÐ·ù°¡ °¡´ÉÇÕ´Ï´Ù. ±×·¡µµ GIST´Â GISTÀÔ´Ï´Ù. ÇϳªÀÇ Á¶Á÷ÇÐÀû Áø´Ü¸íÀÔ´Ï´Ù.

SMT´Â ¾ÆÁ÷ Áø´ÜÀÌ ºÙÁö ¾ÊÀº ¾î¶°ÇÑ findingÀÔ´Ï´Ù. GISTÀÏ ¼öµµ ÀÖÁö¸¸ ¾Æ´Ò ¼öµµ ÀÖ½À´Ï´Ù. SMT´Â Á¶Á÷ÇÐÀû Áø´Ü¸íÀÌ ¾Æ´Õ´Ï´Ù. SMT¿¡ ´ëÇÑ Áø´ÜÀ» ã¾Æ³ª°¡¸é ÀϺΰ¡ GISTÀÌÁö¸¸, ƯÁ¤ ½ÃÁ¡¿¡¼­ GISTÀÎ SMT¿Í GIST°¡ ¾Æ´Ñ SMT¸¦ Á¤È®È÷ ±¸ºÐÇÒ ¼ö ¾ø½À´Ï´Ù. 2016³â Gastric CancerÁö 1¿ùÈ£ÀÇ ±×¸²Àº ÀÌ·± »óȲÀ» Àß º¸¿©ÁÝ´Ï´Ù. Áï ²ÀÁö°¡ µÑÀÔ´Ï´Ù.

¿©±â¼­ ù ²ÀÁö°¡ Áß¿äÇÕ´Ï´Ù. Undiagnosed SET(SMT)¿Í histological GIST¶ó´Â µÎ ²ÀÁö Áß Àû´çÇÑ °÷¿¡¼­ ½ÃÀÛÇØ¾ß ÇÕ´Ï´Ù. ¹«Áõ»ó ¼ºÀÎÀÇ °ËÁø ³»½Ã°æ¿¡¼­ ¸¸³ª´Â ´ëºÎºÐÀÇ SMT´Â undiagnosed SMTÀÏ »Ó, histological GIST´Â ¾Æ´Õ´Ï´Ù. ¹«Áõ»ó ¼ºÀÎÀÇ 2 cm ¹Ì¸¸ undiagnossed SMT¿¡ ´ëÇÑ Ç¥ÁØ Á¢±Ù¹ýÀº high risk features (ulceration, irregular border, increase in size)°¡ ¾ø´Â ÇÑ CT, EUS, EUS-FNA¸¦ ÇÏ´Â °ÍÀÌ ¾Æ´Ï°í ³»½Ã°æ ÃßÀû°üÂûÀÔ´Ï´Ù. 1-2 cm ¹Ì¸¸ÀÇ SMT¿¡ ´ëÇÏ¿© ¸ðµÎ EUS¸¦ ±ÇÇÏ´Â ÇöÀçÀÇ °üÇàÀº ²ÀÁö¸¦ Ʋ¸®°Ô ¼±ÅÃÇÑ °á°úÀÏ »ÓÀÔ´Ï´Ù.


2. GIST º´¸®Áø´Ü

Áõ·Ê 1

c-kit

Áõ·Ê 2

Gastrointestinal stromal tumor of high risk of malignant potential by proposed modification for adjuvant therapy (2008) (see note);
1) tumor size: 5.2x5.0 cm
2) mitosis: 6/50 HPF (high powered fields)
3) histological type: spindle
4) necrosis: absent
5) cellularity: intermediate
6) cellular atypia: mild
7) invasion into mucosa: absent
8) resection margin involvement: absent
9) No metastasis in two regional lymph nodes (0/2: "Lymph node", 0/2)

[Histological classification]

Pathology Outlines

3 morphologic types: spindle (70%), epithelioid (20%), mixed (10%)

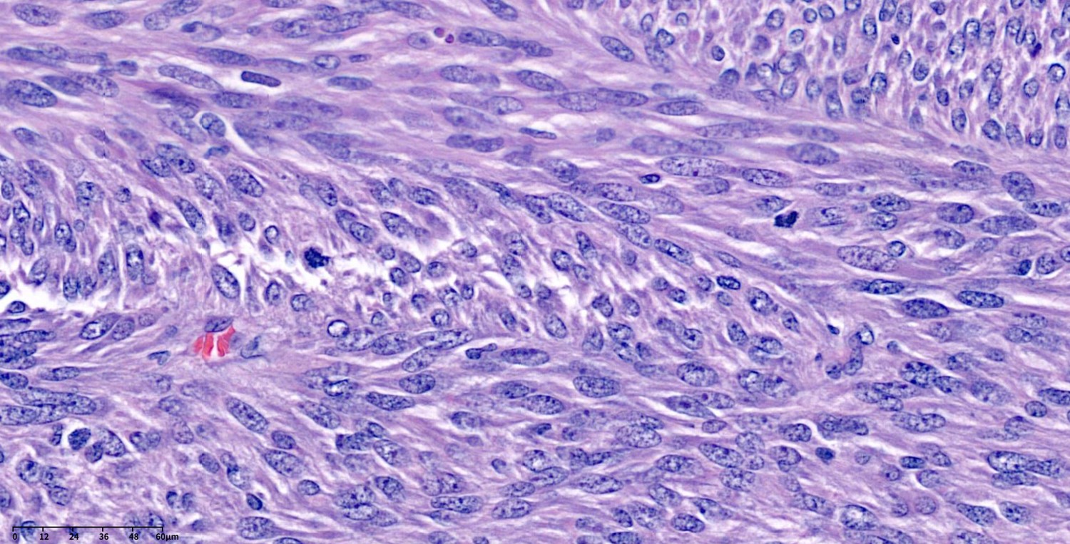
(1) Spindle: Bland spindle cells with faintly eosinophilic cytoplasm in a syncytial pattern; elongated nuclei with inconspicuous nucleoli; artifactual paranuclear vacuoles common in stomach GIST.
- Subtypes: sclerosing, palisaded, vacuolated, diffuse hypercellular, sarcomatoid features with significant nuclear atypia and mitotic activity

(2) Epithelioid: Round cells with clear to eosinophilic cytoplasm in sheets or nests; increased tendency for pleomorphism versus spindle type
- Subtypes: sclerosing, discohesive, hypercellular, sarcomatous with significant atypia and mitotic activity

Epitheliod GIST

À§ ȯÀÚÀÇ º´¸®. Epithelioid GIST with mitosis (circle)

(3) Mixed: Tumor is composed of cells with spindle and epithelioid morphology

(4) SDH deficient: epithelioid or mixed epithelioid / spindle cell morphology, multinodular pattern, minimal nuclear pleomorphism, occasional atypical mitoses

(5) Dedifferentiated: anaplastic appearance with an unusual phenotype (may lose expression of KIT or may aberrantly express other markers such as cytokeratin)


Histologic features and patterns of gastrointestinal stromal tumor (GIST). (Arch Pathol Lab Med 2011)
A, Spindle cell GIST composed of fascicles of uniform, bland cells with pale, eosinophilic cytoplasm.
B, Spindle cell GIST with myxoid change.
C, Another GIST with foci of osseous metaplasia.
D, Spindle cell GIST with prominent paranuclear vacuoles.
E, Spindle cell GIST with nuclear palisading that is reminiscent of Antoni A areas encountered in a schwannoma.
F, Spindle cell GIST arising in the small bowel, displaying numerous bundles of deeply eosinophilic ¡®¡®skeinoid fibers.¡¯¡¯
G, Epithelioid GIST arising in the stomach, composed of cells with abundant, eosinophilic cytoplasm and distinct cell borders.
H, Dedifferentiated GIST composed of atypical epithelioid and spindle cells

Korean J Pathol 2012

Risk assessment: not applied to SDH-deficient GIST, GISTs in patients with syndrome, following neoadjuvant therapy, metastatic setting

Mitosis should be determined in the most mitotically active area of the tumor, and should be reported per 5 mm2.

Molecular test in biopsy specimen: adequate.


[Molecular classification]

Genetics: KIT 76.0%, SDH deficient 13.9% (SDHA 5.4%, SDHB 2.5%, SDHC 3.9%, SDHC 1.9%, SDHD 0.2%), PDFGRA 10.0%, etc Schaefer. ASCO educational book 2022

GIST immunohistochemistry: c-kit (CD117): 95%, DOG1 (discovered on GIST): 98% positivity


[PDGFRA D842V variant]

Neoadjuvant Glivec »ç¿ëÇÏ¿´À¸³ª ¹ÝÀÀÀÌ ÁÁÁö ¾Ê¾Æ¼­ ¼ö¼úÀ» ½ÃÇàÇÏ¿´°í Á¤¹Ð°Ë»ç °á°ú PDGFRA D842V·Î È®ÀεǾúÀ½.


[SDH-deficient GIST]

Only arise in the stomach

60% harbor inactivating mutations (nearly always germline), 40% harbor SDHC promoter methylation

Multinodular/plexiform architecture, Epitheloid > mixed morphology (C-kit, DOG1)

Not that rare: 8% of gastric GISTs

Lymph node metastases common

Often clinically indolent in the metastatic setting

Risk assessment criteria do not predict behavior

Imatinib not effective


À§ Á¡¸·ÇÏÁ¾¾çÀÇ ³»½Ã°æ Á¶Á÷°Ë»ç¿¡¼­ GIST·Î È®ÀÎµÈ ¿¹´Â ¸¹Áö ¾Ê½À´Ï´Ù. µå¹°°Ô ¶Ñ·ÇÇÑ ÇÔ¸ôºÎ°¡ ÀÖ´Â °æ¿ì´Â ³»½Ã°æ Á¶Á÷°Ë»ç·Î È®ÀεDZ⵵ ÇÕ´Ï´Ù.


Stomach, wedge resection: Gastrointestinal stromal tumor of low risk of malignant potential by proposed modification for adjuvant therapy (2008) (see note);
1) tumor size: 5.5x4 cm
2) mitosis: 4/50 HPF (high powered fields)
3) histological type: spindle
4) necrosis: absent
5) cellularity: high
6) cellular atypia: mild
7) invasion into mucosa: absent
8) resection margin involvement: absent
Note: low risk by NIH (2002) and low risk (3.6%) of progressive disease by Miettinen (2006).


[GISTÀÇ malignant risk ºÐ·ù]

GISTÀÇ malignant risk¿¡ ´ëÇÑ ºÐ·ù¹ýÀÌ ¸¹¾Æ¼­ ÇÑ È¯ÀÚ°¡ ¼­·Î ´Ù¸¥ risk·Î ºÐ·ùµÇ±âµµ ÇÕ´Ï´Ù. Çò°¥¸®±â ±×Áö ¾ø½À´Ï´Ù. °Ô´Ù°¡ °è¼Ó ¹Ù²ò´Ï´Ù.

Á¶Á÷ÇÐÀûÀ¸·Î mitosis´Â ¸Å¿ì Áß¿äÇÑ risk factorÀÔ´Ï´Ù.

Mitosis in GIST


Stomach, body, wedge resection: Gastrointestinal stromal tumor of intermediate risk of malignant potential by proposed modification for adjuvant therapy (2008) (see note);
1) tumor size: 2.8x2.5 cm
2) mitosis: 7/50 HPF (high powered fields)
3) histological type: spindle
4) necrosis: absent
5) cellularity: intermediate
6) cellular atypia: moderate
7) invasion into mucosa: absent
8) resection margin involvement: absent
Note: Intermediate risk by NIH (2002) and moderate risk (16%) of progressive disease by Miettinen (2006).


[2014³â »õ·Î¿î Áø´Ü ±âÁØ]

2014³â 7¿ùÈ£ Intestinal Research¿¡ ½Ç¸° ¼­¿ï´ë ÀÓÁ¾ÇÊ ±³¼ö´Ô ÆÀÀÇ ³í¹® Prediction of Tumor Recurrence in Patients with Non-Gastric Gastrointestinal Stromal Tumors Following Resection according to the Modified National Institutes of Health CriteriaÀ» Èï¹Ì·Ó°Ô Àоú½À´Ï´Ù. GISTÀÇ º´¸®±âÁØÀ» °ú°ÅÀÇ °Í°ú »õ·Î¿î °Í(modified NIH criteria)À» ºñ±³ÇÑ ³»¿ëÀ̾ú½À´Ï´Ù. »õ·Î¿î ±âÁØÀ» »ç¿ëÇÏ¿´À» ¶§ recur¸¦ ´õ Àß ¿¹ÃøÇÒ ¼ö ÀÖ¾ú´Ù°í ÇÕ´Ï´Ù.


Risk Stratification of Primary Gastrointestinal Stromal Tumors (GISTs) under the National Institutes of Health (NIH) Criteria and Modified NIH Criteria


Risk stratification according to the National Institutes of Health (NIH) and modified NIH criteria. Twenty-two patients with intermediate risk under the original NIH criteria were reclassified into the high-risk category by the modified NIH criteria. Among the 22 reclassified patients, 6 patients experienced tumor recurrence. GISTs, gastrointestinal stromal tumors.

ÀÌ ³í¹®¿¡ ´ëÇÑ »ï¼º¼­¿ïº´¿ø À嵿°æ ±³¼ö´ÔÀÇ editorialµµ ÁÁ¾Ò½À´Ï´Ù. Modified NIH criteria¿¡ µû¶ó high risk·Î ºÐ·ùµÈ ȯÀÚ¿¡°Ô adjuvant imatinibÀÌ ÇÊ¿äÇÏ´Ù´Â ³»¿ëÀ̾ú½À´Ï´Ù. °ú°Å ±âÁØ¿¡ µû¶ó intermediate risk·Î ºÐ·ùµÇ¾úÀ¸³ª ½Å±âÁØ¿¡ µû¶ó high risk·Î ¹Ù²ï ȯÀÚ¿¡°Ô µµ¿òÀÌ µÉ °Í °°½À´Ï´Ù.


3. Mini-GIST ȤÀº mini-SMT

ÀÛÀº undiagnosed SMT Áß °¡Àå ³ª»Û Á¾·ù°¡ mini-GISTÀÏ °ÍÀÔ´Ï´Ù. ±×·¯³ª mini-GIST ¶ÇÇÑ ¸Å¿ì ÈçÇÏ°í ´ëºÎºÐ indolentÇÏ°í ²À Ä¡·áÇØ¾ß ÇÏ´ÂÁö ¸íÈ®ÇÏÁö ¾Ê½À´Ï´Ù.

´Ù¸¸ ¸¹Àº ÀúÀÚµéÀÌ mini-SMT ȤÀº mini-GIST¸¦ ³íÇϸ鼭 high-risk features¿¡ irregular border³ª ulceration°ú ÇÔ²² EUS¸¦ ÇØ¾ß¸¸ ¾Ë ¼ö ÀÖ´Â internal heterogeneity¸¦ ¾ð±ÞÇϰí Àֱ⠶§¹®¿¡ EUS°¡ °úÀ× Ã³¹æµÇ°í ÀÖÀ» »ÓÀÔ´Ï´Ù. EUS¿¡¼­ °üÂûµÇ´Â internal heterogeneity´Â Å« GIST¿¡¼­´Â ³ª¸§ Àǹ̰¡ ÀÖÁö¸¸, mini-GIST ȤÀº mini-SMT¿¡¼­ °üÂûµÇ´Â internal heterogeneityÀÇ ÀÓ»óÀû ÀÇÀÇ´Â ¸íÈ®ÇÏÁö ¾Ê´Ù°í º¸´Â °ÍÀÌ ¸Â½À´Ï´Ù.

Undiagnosed SMT¿¡ ´ëÇÑ º°µµÀÇ °¡À̵å¶óÀÎÀº ¾ø½À´Ï´Ù. GIST °¡À̵å¶óÀÎÀÇ ÀϺημ­ ¾ð±ÞµÇ°í ÀÖÀ» »ÓÀÔ´Ï´Ù. ³»½Ã°æ Àü¹®°¡ÀÇ Âü¿©°¡ ºÎÁ·ÇÑ »óÅ·Π¾º¿©Á³´Ù´Â ¸»¾¸ÀÔ´Ï´Ù. EGD¿Í EUS¸¦ È¥µ¿Çϰųª ¸íÈ®È÷ ±¸ºÐÇÏÁö ¾Ê°í ¾º¿©Áø °¡À̵å¶óÀÎÀÌ ¸¹Àº °ÍÀº ±× ¶§¹®ÀÔ´Ï´Ù. ÁÖÀǰ¡ ÇÊ¿äÇÕ´Ï´Ù. ¿¹¸¦ µé¸é, 2016³â Gastric Cancer Á¾¼³¿¡ ½Ç¸° ´ÙÀ½ ¹®ÀåÀº TableÀÇ ³»¿ë°ú ÀÏÄ¡ÇÏÁö ¾Ê½À´Ï´Ù. MisleadingÇÒ °¡´É¼ºÀÌ ³ôÀº Ʋ¸° ¹®ÀåÀÔ´Ï´Ù. "The standard diagnosis, treatment, and follow-up of GIST When small esophageal or gastric nodules (SMTs smaller than 2 cm) having no high-risk features are detected, they can usually be followed by periodic endoscopic ultrasonography (EUS) until the tumors increase in size or become symptomatic." ¸¶Ä¡ 5 mm SMT¿¡ ´ëÇØ¼­µµ EUS¸¦ ÇØ¾ß ÇÏ´Â °Íó·³ ÀÐÈ÷Áö ¾Ê½À´Ï±î? EGD¿Í EUS¸¦ ±¸ºÐÇÏÁö ¾Ê¾Ò´Ù´Ï Á¤¸» Ȳ´çÇÑ ÀÏÀÔ´Ï´Ù. 2 cm ¹Ì¸¸ÀÌ°í °íÀ§Çè ÀÎÀÚ°¡ ¾ø´Â ½Äµµ/À§ SMT´Â (EUS°¡ ¾Æ´Ï¶ó) EGD·Î ÃßÀû°üÂû ÇÒ ¼ö ÀÖ½À´Ï´Ù. EUS´Â Çʼö°¡ ¾Æ´Ï¶ó ¼±ÅÃÀÔ´Ï´Ù. ÇâÈÄ GIST °¡À̵å¶óÀÎ ÀÛ¾÷¿¡´Â ³»½Ã°æ Àü¹®°¡°¡ Âü¿©ÇØ¾ß ÇÕ´Ï´Ù.

°æ°ú°üÂû Áß ¶Ñ·ÇÇÑ ¸ð¾ç º¯È­°¡ ÀÖÀ» ¶§¿¡´Â ¼ö¼úÀ» ±ÇÇÏ´Â °ÍÀÌ ÁÁ½À´Ï´Ù.


4. GIST Ä¡·á

2 cm ÀÌ»óÀÇ GISTÀÇ Ç¥ÁØ Ä¡·á´Â ¼ö¼úÀû ÀýÁ¦ÀÔ´Ï´Ù. ³»½Ã°æ ÀýÁ¦¼úµµ ÀϺΠ½ÃµµµÇ°í ÀÖÀ¸³ª ¿Ü°úÀÇ»çµéÀº ¾ÆÁ÷ positive marginsÀ̳ª tumor spillage¸¦ °ÆÁ¤Çϰí ÀÖ½À´Ï´Ù. Àú´Â ºñ±³Àû 3-4 cm Á¤µµÀÇ ÀÛÀº GIST´Â Á¶½É½º·´°Ô ³»½Ã°æÄ¡·á¸¦ ÇØ º¼ ¼ö ÀÖ°Ú´Ù°í »ý°¢ÇÕ´Ï´Ù.

2 cm ¹Ì¸¸ÀÇ GIST´Â ÀýÁ¦¼ú ȤÀº °æ°ú°üÂûÀ» ¼±ÅÃÇÒ ¼ö ÀÖ½À´Ï´Ù. »ç½Ç 2 cm ¹Ì¸¸ÀÇ undiagnosed SMT¿¡¼­´Â Á¶Á÷ÇÐÀû Áø´ÜÀÌ ²À ÇÊ¿äÇÑ °ÍÀº ¾Æ´Õ´Ï´Ù. 2 cm ¹Ì¸¸¿¡¼­ Á¶Á÷Áø´ÜÀ» ÇÏÁö ¾Ê´Â öÇÐÀ» °¡Áø ÀÇ»ç´Â 2 cm ¹Ì¸¸ GIST¸¦ ¸¸³¯ ÀÏÁ¶Â÷ ¾ø½À´Ï´Ù.

¾Æ·¡´Â unresectable, metastatic ȤÀº recurrent GIST¿¡ ´ëÇÑ Ä¡·á algorithmÀÔ´Ï´Ù.

³Ê¹« Å« GIST´Â neoadjuvant imatinibÀ» ¾²±âµµ ÇÕ´Ï´Ù. (Kong Gastric Cancer 2023)

¼ö¼ú ÈÄ high riskÀ̸é aduvant imatinibÀ» 3³â°£ »ç¿ëÇÕ´Ï´Ù. 5³â»ç¿ëÇÏ¸é µµ¿òÀÌ µÇ´Â°¡´Â ¸íȮġ ¾Ê¾Æ¼­ ÇöÀç Àӻ󿬱¸°¡ ÁøÇà ÁßÀÔ´Ï´Ù (NCT02413736)

»õ·Î¿î ¾àµéÀÌ ³ª¿À°í ÀÖ½À´Ï´Ù.

Tagetted treatment´Â ¸Å¿ì ¸¹ÀÌ °³¹ßµÇ°í ÀÖ½À´Ï´Ù.

2025-12-6. ¿¬°Çµ¿ À§¾Ï forum. ±¸È«È¸ ±³¼ö °­ÀÇ Áß


5. »óºÎÀ§Àå°ü ÃâÇ÷·Î ³»¿øÇÑ GIST

Melena
Stomach, subtotal gastrectomy:
Gastrointestinal stromal tumor of high risk of malignant potential by NIH criteria:
1) tumor size: 6.5x6.0 cm
2) mitosis: 6 /50 HPF (high powered fields)
3) histological type: spindle
4) necrosis: absent
5) cellularity: intermediate
6) cellular atypia: mild
7) invasion into mucosa: present
8) myxoid change: present
9) resection margin involvement: absent
10) no metastasis in 4 regional lymph nodes

Melena
Stomach, cardia, wedge resection:
Gastrointestinal stromal tumor of high risk of malignant potential by NIH (2002) and moderate risk(16 %) of progressive disease by Miettinen(2006) ;
1) tumor size: 3.5x2.5x2.4 cm
2) mitosis: 88/50 HPF (high powered fields)
3) histological type: mixed spindle and epithelioid
4) necrosis: present
5) cellularity: high
6) cellular atypia: moderate
7) invasion into mucosa: present
8) resection margin involvement: absent

Melena·Î ¿À¼Ì´Âµ¥ SMT °°Àºµ¥ ÃâÇ÷ ºÎÀ§°¡ ¾ø´Ù°í ÀǷڵǾúÀ½. ÀÚ¼¼È÷ º¸´Ï ±Ë¾çÀÌ ÀÖ¾úÀ½.
Stomach, body, wedge resection:
Gastrointestinal stromal tumor of high risk of malignant potential by proposed modification for adjuvant therapy (2008) (see note);
1) tumor size: 5.5x3.5 cm
2) mitosis: 40/50 HPF (high powered fields)
3) histological type: spindle
4) necrosis: absent
5) cellularity: high
6) cellular atypia: moderate
7) invasion into mucosa: absent
8) resection margin involvement: absent
Note: high risk by NIH (2002) and high risk (55%) of progressive disease by Miettinen (2006).
[Addendum]
Ki-67 : Positive in 10% of tumor cells
DOG-1 : Positive in tumor cells
C-KIT (CD 117) : Positive in tumor cells


6. ù Áø´Ü½Ã ÀüÀ̰¡ ÀÖ¾ú´ø GIST

GIST with hepatic metastasis. FundusÀÇ ºÒ±ÔÄ¢ÇÑ ±Ë¾ç ºÎºÐ(µÎ¹øÂ°, ¼¼¹øÂ° »çÁø)¸¸À¸·Î ÆÇ´ÜÇϸé AGC, lymphoma, GIST µîÀ» ¸ðµÎ °í·ÁÇÒ ¼ö ÀÖ°ÚÀ¸³ª, ºÒ±ÔÄ¢ÇÑ ±Ë¾çºÎ ÁÖº¯ÀÇ ³ÐÀº SMT ºÎºÐ(ù¹øÂ° »çÁø)À» °í·ÁÇϸé AGCÀÇ °¡´É¼ºÀº ¸Å¿ì ¶³¾îÁö´Â °æ¿ìÀÓÀ» ¾Ë ¼ö ÀÖ½À´Ï´Ù. C-kit (CD117) ¾ç¼º GIST¿´½À´Ï´Ù.

Hepatic metastasis

Hepatic metastasis

³»½Ã°æ¿¡¼­ ¿©·¯ SMT°¡ ÀÖ´Â °Íó·³ º¸¿´À¸³ª CT¿¡¼­´Â proximal stomach °ÅÀÇ Àüü¸¦ °¨½Î´Â GIST ¿´À¸¸ç, MRI¿¡¼­´Â ¸î °³ÀÇ metastastasis°¡ ÀÖ¾ú½À´Ï´Ù.


Á¶Á÷°Ë»ç: Gastrointestinal stromal tumor, high risk of malignant behavior;
1) mitosis: 11/16 HPF
2) histological type: mixed
3) necrosis: absent
4) cellularity: high
5) myxoid change: present
óÀ½ºÎÅÍ °£ ÀüÀ̰¡ À־ imatinibÀ» Åõ¿©ÇÏ¿´½À´Ï´Ù.


Liver biopsy: Gastrointestinal stromal tumor
C-KIT (CD 117) : Diffusely positive in tumor cells
Ki-67 : Positive in up to 8% of tumor cells
DOG-1 : Focally positive in tumor cells
Gleevec Åõ¿© ÈÄ È£Èí°ï¶õ ¹ß»ý. CT¿¡¼­ drug-induced BOOP ¼Ò°ßÀ¸·Î ÀÏ´Ü Gleevec Áß´ÜÇÏ¿´½À´Ï´Ù. GleevecÀÇ µå¹® ÇÕº´ÁõÀ̶ó°í ÇÕ´Ï´Ù.

(2017, 49¼¼ ¿©¼º) ¿ì¿¬ÇÑ ÃÊÀ½ÆÄ¿¡¼­ °£Á¾±«°¡ ¹ß°ßµÇ¾ú½À´Ï´Ù. ³»½Ã°æ¿¡¼­´Â ƯÀ̼ҰßÀÌ ¾ø¾ú½À´Ï´Ù. CT¿¡¼­ ÀÌ¹Ì º¹°­¿¡ ¿©·¯ metastatic nodule µéÀÌ °üÂûµÇ¾ú½À´Ï´Ù. EUS-guided biopsy¸¦ ÇÏ¿´°í GIST·Î È®ÀεǾú½À´Ï´Ù. Gleevec Ä¡·á¸¦ ÇÏ¿´½À´Ï´Ù. Exophytic growth¸¦ º¸ÀÎ gastric GIST·Î ù Áø´Ü½Ã °£ ħÀ±°ú º¹°­ ÀüÀ̰¡ ÀÖ¾ú´ø Áõ·Ê·Î °á·ÐÁö¾ú½À´Ï´Ù.

³»½Ã°æ ½ÃÇà Àǻ簡 À§¿¡ clotµéÀÌ Àִµ¥ Á¶Á÷°Ë»ç¸¦ ÇØµµ ÁÁÀ»Áö realtimeÀ¸·Î ¹®Àǰ¡ ¿Í¼­ Á¶Á÷°Ë»ç¸¦ Çϵµ·Ï ±ÇÇÏ¿´°í c-kit positive GIST·Î È®ÀεǾúÀ½.


7. °æ°ú°üÂû Áß ±Ë¾çÀÌ ¹ß»ýÇÏ¿© ¼ö¼úÇÑ Áõ·Ê

3³â °æ°ú°üÂû Áß Å©±â°¡ Áõ°¡ÇÏ¿´°í ÀÛ°í ¾èÀº ±Ë¾çÀÌ ¹ß»ýÇÏ¿© ¼ö¼ú
Stomach, fundus, wedge resection: Gastrointestinal stromal tumor of intermediate risk of malignant potential by proposed modification for adjuvant therapy (2008) (see note);
1) tumor size: 3.8x3.0 cm
2) mitosis: 9/50 HPF (high powered fields)
3) histological type: spindle
4) necrosis: absent
5) cellularity: intermediate
6) cellular atypia: moderate
7) invasion into mucosa: absent
8) resection margin involvement: absent
Note: intermediate risk by NIH (2002) and moderate risk (16%) of progressive disease by Miettinen (2006).

°æ°ú°üÂû Áß ±Ë¾ç
Gastrointestinal tumor of high risk of aggresive behavior:
1) tumor size : 2.7x2x1.5 cm
2) mitosis: 26/50 HPF
3) histologic type : spindle
4) necrosis : present
5) cellularity : high
6) invasion into mucosa : present
7) resection margin involvement : absent
8) histologic subtype: cellular spindle cell type

°æ°ú°üÂû Áß ±Ë¾ç
Stomach, mid body, posterior, wedge resection:
Gastrointestinal stromal tumor of low risk of malignant potential by NIH (2002) and very low risk (1.9 %) of progressive disease by Miettinen (2006):
1) tumor size: 3.5x3x2 cm
2) mitosis: 2/50 HPF (high powered fields)
3) histological type: spindle
4) necrosis: absent
5) cellularity: high
6) cellular atypia: mild
7) invasion into mucosa: absent
8) resection margin involvement: absent

óÀ½ ³»½Ã°æ ´ç½Ã¿¡´Â ÃâÇ÷ÀÌ ¾ø¾ú´Âµ¥ ¼ö¼ú ±â´Ù¸®´Â ¸çÄ¥ »çÀÌ¿¡ melena¸¦ º¸¿© ¼­µÑ·¯ ¼ö¼úÇÔ
Stomach, body, posterior wall, wedge resection:
Gastrointestinal stromal tumor of high risk of malignant potential:
1) tumor size: 4.2x3.8x3.3 cm
2) mitosis: 10/50 HPF (high powered fields)
3) histological type: spindle
4) necrosis: absent
5) cellularity: intermediate
6) cellular atypia: mild
7) invasion into mucosa: absent
8) resection margin involvement: absent


8. °æ°ú°üÂû Áß ÃâÇ÷·Î ¼ö¼úÇÑ GIST

ÃßÀû°üÂû Áß melena
Stomach, high body, wedge resection:
Gastrointestinal stromal tumor of low risk of malignant potential by proposed modification for adjuvant therapy (2008), low by NIH and very low risk (1.9 %) of progressive disease by Miettinen (2006) :
1) tumor size: 2.2x2 cm
2) mitosis: 4 /50 HPF (high powered fields)
3) histological type: spindle
4) necrosis: absent
5) cellularity: intermediate
6) cellular atypia: moderate
7) invasion into mucosa: present
8) resection margin involvement: absent

ÃßÀû°üÂû Áß melena
Stomach, fundus, wedge resection:
Gastrointestinal stromal tumor of low risk of malignant potential by NIH (2002) and very low risk (1.9 %) of progressive disease by Miettinen (2006):
1) tumor size: 2.1x1.9x1.7 cm
2) mitosis: 1/50 HPF (high powered fields)
3) histological type: spindle
4) necrosis: absent
5) cellularity: low
6) cellular atypia: mild
7) invasion into mucosa: absent
8) resection margin involvement: absent


9. ÇÊÀÚ°¡ °æÇèÇÑ °¡Àå Å« GIST

2´Þ ÀüºÎÅÍ ½ÃÀÛµÈ º¹ºÎ ÆØ¸¸À¸·Î ³»¿øÇÏ¿´½À´Ï´Ù. º¹ºÎ CT¿¡¼­´Â 30x24cm·Î ÃøÁ¤µÇ¾úÁö¸¸ »ç½Ç ´õ Ä¿º¸¿´½À´Ï´Ù.

Á¤È®ÇÑ Áø´ÜÀ» À§ÇÏ¿© sono-guided biopsy¸¦ ÇÏ¿´½À´Ï´Ù. GIST (high risk of malignant potential)·Î ³ª¿Ô°í ´ç½Ã mitosis´Â 4/17 HPFs, Á¶Á÷ÇüÀº mixed spindle and epitheloid¿´½À´Ï´Ù.

GleevecÀ¸·Î 16°³¿ù Ä¡·áÇÏ¿´°í º´¼Ò°¡ ÇöÀúÈ÷ ÀÛ¾ÆÁ³½À´Ï´Ù.

Surgical wedge resectionÀ» ÇÏ¿´½À´Ï´Ù. Á¾¾çÀÇ Å©±â´Â 15x9x9cm¿´°í, neat total necrosis·Î ÀÎÇÏ¿© mitosis´Â ÃøÁ¤ÇÒ ¼ö ¾ø¾ú½À´Ï´Ù.

¾à 1³â ÈÄ ÃßÀû³»½Ã°æ¿¡¼­ À§¾Ï 1°³, ¼±Á¾ 1°³°¡ ¹ß°ßµÇ¾î ESD¸¦ ÇÏ¿´½À´Ï´Ù.

Surgical wedge resection ÈÄ 5³â°£ adjuvant imatinib »ç¿ëÇÏ¿´½À´Ï´Ù. ÀÌÈÄ °æ°ú°üÂû Áß °á±¹ Àç¹ßÇϼ̽À´Ï´Ù.


À§ ȯÀÚ Á¤µµ·Î Å©Áö ¾Ê¾Æµµ locally advanced disease´Â ¹Ù·Î surgical resectionÀÌ ¾î·Æ±â ¶§¹®¿¡ ÀÏ´Ü Gleevec Ä¡·áºÎÅÍ ½ÃÀÛÇÕ´Ï´Ù. ¹ÝÀÀÀÌ ÁÁÀ¸¸é ¼ö¼úÀ» Çϱ⵵ ÇÕ´Ï´Ù.


10. ¼ö¼úÀ» ±ÇÀ¯¹Þ¾ÒÀ¸³ª °ÅºÎÇϰí Áö³»´Ù°¡ °£ÀüÀÌ »óÅ·ΠÀÇ·ÚµÈ È¯ÀÚ

¿©·¯ º´¿ø¿¡¼­ ¼ö¼úÀ» ±ÇÀ¯¹Þ°í º» º´¿ø ¿Ü°ú¸¦ ã¾Ò´Ù°¡, ȯÀÚ°¡ ¼ö¼úÇÏÁö ¾Ê´Â °ÍÀ¸·Î ¸¶À½À» ¹Ù²Ù¾î ¼ÒÈ­±â³»°ú¸¦ ãÀº ºÐÀÔ´Ï´Ù. ´ç¿¬È÷ ¼ö¼úÀ» ±ÇÇßÀ¸³ª ÀÌÈÄ follow-up loss µÇ¾ú½À´Ï´Ù.

3³â ÈÄ ÀüÀÌµÈ »óÅ·Π´Ù½Ã ³»¿øÇϼ̽À´Ï´Ù. ¾ÈŸ±î¿î ÀÏÀÔ´Ï´Ù.

EUS guided biopsy·Î c-kit positive malignant GIST¸¦ Áø´ÜÇÏ¿´½À´Ï´Ù.


11. More cases of gastric GIST

¿ì¿¬È÷ ¹ß°ßµÈ ÀÛÀº gastric SMT´Â ´ëºÎºÐÀº Ä¿ÁöÁö ¾ÊÁö¸¸ ¹æ½ÉÀº ±Ý¹°ÀÔ´Ï´Ù. ºÐ¸í Ä¿Áö´Â °æ¿ìµµ Àֱ⠶§¹®ÀÔ´Ï´Ù. ¾Æ·¡ Áõ·Ê´Â ´ëÀå¾Ï ȯÀÚ¿¡¼­ ¿ì¿¬È÷ ¹ß°ßµÈ À§ SMT¿´½À´Ï´Ù. ÃßÀû°üÂûÀ» ±ÇÇÏ¿´À¸³ª follow up loss µÇ¾ú½À´Ï´Ù. 6³â¸¸¿¡ ¿À¼Ì´Âµ¥ Á¦¹ý Ä¿Áø »óÅ¿´½À´Ï´Ù. CT °Ë»ç ÈÄ ¼ö¼úÀ» ÇÏ¿´½À´Ï´Ù.

(2012. F/61)
Stomach, wedge resection: Gastrointestinal stromal tumor of high risk of malignant potential by proposed modification for adjuvant therapy (2008) (see note);
1) tumor size: 6.5x4 cm
2) mitosis: 6/50 HPF (high powered fields)
3) histological type: mixed spindle and epithelioid
4) necrosis: absent
5) cellularity: intermediate
6) cellular atypia: moderate
7) invasion into mucosa: absent
8) resection margin involvement: absent
Note: High risk by NIH (2002) and High risk (55%) of progressive disease by Miettinen (2006).
. DOG-1 : Positive in tumor cells
. Ki-67 : Positive in about 10% of tumor cells
. C-KIT (CD 117) : Positive in tumor cells

´ÙÀ½Àº 10³â »çÀÌ¿¡ Å©±â Áõ°¡°¡ ÀÖ¾î ¼ö¼úÇÏ¿´´ø ȯÀÚÀÔ´Ï´Ù. ÀÇ·Ú Àü Ưº°ÇÑ º´·ÂÀ» °¡Áö°í ÀÖ¾ú½À´Ï´Ù. ³»½Ã°æ Á¶Á÷°Ë»ç ÈÄ Áý¿¡¼­ ÀÌÆ² µ¿¾È °ËÀº º¯ÀÌ ÀÖ¾ú´Âµ¥ ȯÀÚ²²¼­´Â ÃâÇ÷ÀÎ ÁÙ ¸ð¸£°í ¾îÁö·´´Ù´Â ÀÌÀ¯·Î Àα٠´ëÇк´¿ø ½Å°æ°ú¸¦ ¹æ¹®ÇÏ¿© ¸Ó¸® MRI¸¦ Âï°í ÀÌ»óÀÌ ¾ø´Ù´Â À̾߱⸦ µé¾ú´Ù°í ÇÕ´Ï´Ù. 119¿¡ µÎ ¹ø ½Ç·Á°¬´Âµ¥ ¾Æ¹«µµ ³»½Ã°æ °Ë»ç Çß´ÂÁö, Ç÷º¯Àº ¾ø¾ú´ÂÁö ¹°¾îº¸Áö ¾Ê¾Ò´Ù°í ÇÕ´Ï´Ù. ½Å°æ°ú ¼±»ý´Ôµé²² ºÎŹÇÕ´Ï´Ù. º´·Â ûÃ븦 Àß ÇØÁֽñ⠹ٶø´Ï´Ù.


Stomach, wedge resection: Gastrointestinal stromal tumor of intermediate risk of malignant potential by proposed modification for adjuvant therapy (2008) (see note);
1) tumor size: 2.5x1.5 cm
2) mitosis: 7/50 HPF (high powered fields)
3) histological type: spindle
4) necrosis: absent
5) cellularity: high
6) cellular atypia: moderate
7) invasion into mucosa: absent
8) resection margin involvement: absent
Ki-67 : Positive in up to about 3% of tumor cells
C-KIT (CD 117) : Positive in tumor cells
DOG-1 : Positive in tumor cells
* Note: Intermediate risk by NIH (2002) and moderate risk (16%) of progressive disease by Miettinen (2006).


´Ù¾çÇÑ Áõ·ÊÀÔ´Ï´Ù.


Stomach, wedge resection: Gastrointestinal stromal tumor of low risk of malignant potential by NIH (2002) and very low risk (1.9 %) of progressive disease by Miettinen (2006):
1) tumor size: 3.5x2.5x2 cm
2) mitosis: 5/50 HPF (high powered fields)
3) histological type: spindle
4) necrosis: absent
5) cellularity: high
6) cellular atypia: mild
7) invasion into mucosa: absent
8) resection margin involvement: absent


¶Ñ·ÇÇÑ bridging fold¿Í ±íÀº ±Ë¾çÀ» º¸¿´´ø GIST
Gastrointestinal stromal tumor of intermediate risk of malignant potential;
1) tumor size: 3.5x3.5x2 cm
2) mitosis: 10 / 50 HPF (high powered fields)
3) histological type: spindle (hypercellular spindle type)
4) necrosis: absent
5) cellularity: high
6) cellular atypia: mild
7) invasion into mucosa: absent
8) resection margin involvement: absent
C-kit: Positive, DOG-1: Positive, CD34 : Positive, PDGFRA: Positive, Ki-67: Positive in 11% of tumor cells


Forceps biopsy·Î Áø´ÜµÇ¾ú´ø GIST
Gastrointestinal stromal tumor of low risk of aggressive behavior, stomach:
1) tumor size: 6.5x6 cm
2) mitosis: 3/50 HPF
3) histological type: mixed spindle and epithelioid
4) necrosis: absent
5) cellularity: high
6) invasion into mucosa: present
7) resection margin involvement: absent
C-kit: Positive, PKC-¥È: Strong positive, CD34: Strong positive, PDGFRA: Positive with dot-like accentuation, Ki-67: Positive (3%)


¿ì¿¬È÷ ½ÃÇàÇÑ º¹ºÎÃÊÀ½ÆÄ¿¡¼­ ¹ß°ßµÈ GIST. µ¿½Ã¿¡ ½ÃÇàÇÑ ³»½Ã°æ¿¡¼­´Â SMT°¡ ÀǽɵÇÁö ¾Ê¾Ò´Ù°í ÇÕ´Ï´Ù.
Gastrointestinal stromal tumor of moderate risk of malignant potential:
1) size: 11x9x8 cm
2) mitosis : 2/50 HPFs
3) histologic type: epithelioid
4) necrosis: present
5) cellularity: high
6) cellular atypia: moderate
7) invasion to mucosa: absent
8) resection margin involvement: absent
DOG-1 : Positive, C-kit : Negative, PKC-Q : Weak positive, CD34 : Focal positive, PDGFRA: Positive (dot-like), Ki-67 : Positive in 20% of tumor cells


22G Precore »ç¿ëÇÏ¿© EUS-guided FNAB ½ÃÇàÇÔ. GIST·Î ³ª¿Í ¼ö¼úÀ» ½ÃÇàÇÏ¿´½À´Ï´Ù.
Stomach, mid body, wedge resection:
Gastrointestinal stromal tumor of very low by NIH and none risk (0%) of progressive disease by Miettinen (2006) :
1) tumor size: 1.9x1.8x1 cm
2) mitosis: 1/50 HPF (high powered fields)
3) histological type: spindle
4) necrosis: absent
5) cellularity: intermediate
6) cellular atypia: mild
7) invasion into mucosa: absent
8) resection margin involvement: absent


µé¹®ºÎ GIST
Stomach, esophagogastric junction, mass excision:
Gastrointestinal stromal tumor of high risk of malignant potential:
1) tumor size: 5.1x3.5 cm
2) mitosis: 38/50 HPF (high powered fields)
3) histological type: spindle (palisading-vacuolated)
4) necrosis: absent
5) cellularity: high
6) cellular atypia: moderate
7) invasion into mucosa: absent
8) resection margin involvement: absent


µé¹®ºÎ À§¾Ï°ú ±¸ºÐÀÌ ¾î·Á¿ü´ø GIST
Stomach and esophagus, proximal subtotal gastrectomy :
Gastrointestinal stromal tumor of high risk of malignant potential :
1) tumor size: 5.5x3.5 cm
2) mitosis: 61/50 HPF (high powered fields)
3) histological type: mixed spindle and epithelioid
4) necrosis: present
5) cellularity: high
6) cellular atypia: marked
7) invasion into mucosa: present
8) resection margin involvement: absent
9) no metastasis in 2 perigastric lymph node (0/2: perigastric LN, 0/2)


Non-healing ulcer·Î ÀǷڵǾú´ø Å« GISTÀÔ´Ï´Ù.
Stomach, subtotal gastrectomy:
Gastrointestinal stromal tumor of high risk of malignant potential by NIH consensus guideline:
1) tumor size: 12x11 cm
2) mitosis: 1/50 HPF (high powered fields)
3) histological type: spindle
4) necrosis: present
5) cellularity: intermediate
6) cellular atypia: moderate
7) invasion into mucosa: absent
8) resection margin involvement: absent
9) No metastasis in 42 regional lymph nodes


Å©±â°¡ Áõ°¡ÇÏ´Â Á¡¸·ÇÏÁ¾¾çÀ¸·Î ÀÇ·ÚµÊ. CT¿¡¼­ À§ º´¼ÒÀÎÁö, ÃéÀå º´¼ÒÀÎÁö, lesser omentumÀÇ º´¼ÒÀÎÁö ¾Ö¸ÅÇÏ¿´À½. EUS-guided biopsy¸¦ ÇÒÁö ¸»Áö¿¡ ´ëÇÏ¿© °í¹ÎÇϰí ȯÀÚ¿Í »óÀÇÇÏ¿© °á±¹ ¹Ù·Î laparoscopic wedge resectionÀ» ÇÏ¿´°í GIST·Î È®ÀεÊ.


Gastrointestinal stromal tumor
High risk of malignant potential by NIH (2002) and moderate risk (16 %) of progressive disease by Miettinen (2006) :
1) tumor size: 3.5x2.7 cm
2) mitosis: 14/50 HPF (high powered fields)
3) histological type: spindle
4) necrosis: absent
5) cellularity: intermediate
6) cellular atypia: mild
7) invasion into mucosa: absent
8) resection margin involvement: absent


ºù»êÀÇ Àϰ¢ ¾ç»óÀÇ SMT --> fundus, wedge resection
Gastrointestinal stromal tumor of low risk of malignant potential by proposed modification for adjuvant therapy (2008) and very low risk (1.9 %) of progressive disease by Miettinen (2006):
1) tumor size: 4x3x3 cm
2) mitosis: 3/50 HPF (high powered fields)
3) histological type: spindle
4) necrosis: absent
5) cellularity: intermediate
6) cellular atypia: mild
7) invasion into mucosa: absent
8) resection margin involvement: absent


Stomach, fundus, wedge resection:
Gastrointestinal stromal tumor of low by NIH and very low risk (1.9%) of progressive disease by Miettinen (2006) :
1) tumor size: 3.3x2.5 cm
2) mitosis: 2/50 HPF (high powered fields)
3) histological type: spindle
4) necrosis: absent
5) cellularity: intermediate
6) cellular atypia: mild
7) invasion into mucosa: absent
8) resection margin involvement: absent


Stomach, lesser curvature of lower body, wedge resection:
Gastrointestinal stromal tumor of low by NIH and very low risk (1.9 %) of progressive disease by Miettinen (2006) :
1) tumor size: 2.6x2.3 cm
2) mitosis: 1/50 HPF (high powered fields)
3) histological type: spindle
4) necrosis: absent
5) cellularity: intermediate
6) cellular atypia: mild
7) invasion into mucosa: absent
8) resection margin involvement: absent


Gastrointestinal stromal tumor of high risk by NIH and high risk (55 %) of progressive disease by Miettinen (2006) :
1) tumor size: 6.8x6.6x6.2 cm
2) location: high body, posterior wall of stomach
3) mitosis: 11/50 HPF (high powered fields)
4) histological type: spindle
5) necrosis: present
6) cellularity: high
7) cellular atypia: moderate
8) invasion into mucosa: absent
9) resection margin involvement: absent
10) tumor adhesion but no invasion into pancreas
11) 7 reactive lymph nodes



Stomach, low body, wedge resection:
Gastrointestinal stromal tumor of low risk of malignant potential by proposed modification for adjuvant therapy (2008), low by NIH and very low risk (1.9 %) of progressive disease by Miettinen (2006) :
1) tumor size: 2.2x1.6x1.4 cm
2) mitosis: up to 1/50 HPF (high powered fields)
3) histological type: epithelioid
4) necrosis: absent
5) cellularity: intermediate
6) cellular atypia: moderate
7) invasion into mucosa: absent
8) resection margin involvement: absent


Exophytic growth¸¦ º¸ÀÎ GIST´Â ³»½Ã°æ Áø´ÜÀÌ ¾î·Æ½À´Ï´Ù.
Stomach, lower body, wedge resection:
Gastrointestinal stromal tumor of low risk of malignant potential by proposed modification for adjuvant therapy (2008) (see note);
1) tumor size: 3.5x3 cm
2) mitosis: up to 2/50 HPF (high powered fields)
3) histological type: epithelioid
4) necrosis: absent
5) cellularity: intermediate
6) cellular atypia: moderate
7) invasion into mucosa: absent
8) resection margin involvement: present
Note: Low risk by NIH (2002) and very low risk (1.9 %) of progressive disease by Miettinen (2006).


Exophytic growth¸¦ º¸ÀÎ GIST´Â ³»½Ã°æ Áø´ÜÀÌ ¾î·Æ½À´Ï´Ù.
Stomach, wedge resection: Gastrointestinal stromal tumor of low risk of malignant potential by proposed modification for adjuvant therapy (2008) (see note);
1) tumor size: 2.6x2 cm
2) mitosis: 1/50 HPF (high powered fields)
3) histological type: spindle
4) necrosis: absent
5) cellularity: intermediate
6) cellular atypia: mild
7) invasion into mucosa: absent
8) resection margin involvement: absent
Note: Low risk by NIH (2002) and very low risk (1.9 %) of progressive disease by Miettinen (2006).


Exophytic growth¸¦ º¸ÀÎ GIST´Â ³»½Ã°æ Áø´ÜÀÌ ¾î·Æ½À´Ï´Ù.
Stomach, lower antrum, wedge resection:
. Gastrointestinal stromal tumor of low risk of malignant potential by proposed modification for adjuvant therapy (2008) (see note);
1) tumor size: 2.8x1.9 cm
2) mitosis: 1/50 HPF (high powered fields)
3) histological type: epithelioid
4) necrosis: absent
5) cellularity: intermediate
6) cellular atypia: mild
7) invasion into mucosa: cannot be evaluated
8) resection margin involvement: absent
Note: Low risk by NIH (2002) and very low risk (1.9%) of progressive disease by Miettinen (2006).


°³¾÷°¡ º¹ºÎ ÃÊÀ½ÆÄ¿¡¼­ °£ ¿·ÀÇ mass°¡ ¹ß°ßµÇ¾ú½À´Ï´Ù. ³»½Ã°æ°ú CT ÈÄ ¼ö¼úÀÌ ½ÃÇàµÇ¾ú°í GIST·Î ³ª¿Ô½À´Ï´Ù. º¹ºÎ ÃÊÀ½ÆÄ·Î °£°ú ¾µ°³¸¸ º¸´Â °ÍÀÌ ¾Æ´Õ´Ï´Ù. ÀÌ°Í Àú°Í º¼ °ÍÀÌ ¸¹½À´Ï´Ù.
Stomach, GIST, wedge resection: Gastrointestinal stromal tumor of low risk of malignant potential by proposed modification for adjuvant therapy (2008) (see note);
1) tumor size: 2.5x2 cm
2) mitosis: 3/50 HPF (high powered fields)
3) histological type: mixed spindle and epithelioid
4) necrosis: absent
5) cellularity: intermediate
6) cellular atypia: mild
7) invasion into mucosa: absent
8) resection margin involvement: absent


À§ SMTÀε¥ CT¿¡¼­ hypervascular ¾ç»óÀ̾ú±â ¶§¹®¿¡ GIST°¡ ¾Æ´Ò ¼öµµ ÀÖ°Ú´Ù°í »ý°¢µÇ¾ú½À´Ï´Ù. CT ÆÇµ¶µµ ´ÙÀ½°ú °°¾Ò½À´Ï´Ù. Very hypervascular mass abutting stomach. DDx. Gastric subepithelial tumor such as GIST, glomus tumor vs. primary mesenteric origin tumor such as Castleman's disease. ±×·±µ¥ ¼ö¼ú °á°ú´Â ¿ª½Ã GIST·Î ³ª¿Ô½À´Ï´Ù. GIST´Â ÂüÀ¸·Î ´Ù¾çÇÑ ¸ð½ÀÀ» º¸ÀÏ ¼ö ÀÖ½À´Ï´Ù.
Stomach, posterior wall of low body, wedge resection: Gastrointestinal stromal tumor of low risk of malignant potential
1) tumor size: 2.7x2.4 cm
2) mitosis: 3/50 HPF (high powered fields)
3) histological type: epithelioid
4) necrosis: absent
5) cellularity: intermediate
6) cellular atypia: moderate
7) invasion into mucosa: absent
8) resection margin involvement: absent
Ki-67: positive in 3% of tumor cells
DOG-1: positive in tumor cells
C-kit (CD 117): positive in tumor cells



Surgery was recommended for a large gastric SMT 9 years ago, but the patient refused it. Nine years later, the patient visited my clinic again for the surgical treatment. In CT images, the diameter was 4.8cm in 9 years ago, and 5.1cm in recent images. Surgery was done.
9³â Àü ¼ö¼úÀ» ±ÇÇߴµ¥ ȯÀÚ²²¼­ ¼ö¼úÀ» ¹ÞÁö ¾Ê°í Áö³»½Ã´Ù°¡ 9³â ¸¸¿¡ ¿ÜºÎ º´¿ø¿¡¼­ ³»½Ã°æ °Ë»ç¸¦ ¹ÞÀº ÈÄ °©Àڱ⠼ö¼úÀ» ¹Þ°Ú´Ù°í ã¾Æ¿À¼Ì½À´Ï´Ù.
CT¸¦ ´Ù½Ã Âï¾ú´Âµ¥ ´ÙÇེ·´°Ô ¾ÆÁÖ Á¶±Ý ÀÚ¶õ °ÍÀ¸·Î ³ª¿Ô½À´Ï´Ù. " Gastric fundus¿Í ¸ÂºÙ¾î ÀÖ´Â submucosal tumor·Î ÆÇ´ÜµÇ´Â º´º¯Àº 2011³â »çÁø¿¡¼­´Â 4.8 cmÀ¸·Î ÃøÁ¤µÇ°í ÇöÀç´Â 5.1 cmÀ¸·Î ¾à°£ Å©°Ô ÃøÁ¤µÊ. Àü¹ÝÀûÀÎ ¾ç»óÀº Å« º¯È­ ¾øÀ¸¸ç ascites³ª peritoneal nodule º¸ÀÌÁö ¾ÊÀ½." ¼ö¼úÀ» ÇÏ¿´½À´Ï´Ù.
Stomach, laparoscopic wedge resection: Gastrointestinal stromal tumor of intermediate risk of malignant potential by proposed modification for adjuvant therapy (2008) (see note);
1) tumor size: 5.5x4.0 cm
2) mitosis: 3/50 HPF (high powered fields)
3) histological type: spindle
4) necrosis: absent
5) cellularity: intermediate
6) cellular atypia: mild
7) invasion into mucosa: absent
8) resection margin involvement: absent
Note: intermediate risk by NIH (2002) and low risk (3.6 %) of progressive disease by Miettinen (2006).
»¡¸® ÀÚ¶ó´Â GISTµµ ÀÖ°í õõÈ÷ ÀÚ¶ó´Â GISTµµ ÀÖ½À´Ï´Ù. ¾ÆÁ÷ Á¤È®ÇÑ ¿¹ÃøÀÌ ºÒ°¡´ÉÇÑ »óÅÂÀÔ´Ï´Ù. ¿î¸íÀ̶ó°í¹Û¿¡ ÇÒ ¼ö ¾ø½À´Ï´Ù.


M/50 (2017)


12. ¼ÒÀå GIST

Duodenal GIST with bleeding

Duodenal GIST. 3.2x1.8cm

½ÊÀÌÁöÀå GIST°¡ necrosis°¡ ½ÉÇϸé Á¶Á÷°Ë»ç¿¡¼­ ³ª¿ÀÁö ¾ÊÀ» ¼ö ÀÖ½À´Ï´Ù. Melena·Î ³»¿øÇϽŠºÐÀ¸·Î µÎ ¹øÀÇ EGD Á¶Á÷°Ë»ç¿¡¼­ Á¶Á÷ÇÐÀû È®ÁøÀÌ µÇÁö ¾Ê¾Æ À§¿¡¼­ EUS-guided biopsy·Î Á¶Á÷ÇÐÀû È®ÁøÀ» ³»¸± ¼ö ÀÖ¾ú´ø duodenal GIST with hepatic metastais Áõ·ÊÀÔ´Ï´Ù. (F/60, 2018)


Duodenum, common bile duct and pancreas, PPPD: Gastrointestinal stromal tumor of low risk of malignant potential, duodenum;
1) tumor size: 2.7x2.3 cm
2) mitosis: 1/50 HPF (high powered fields)
3) histological type: spindle
4) necrosis: absent
5) cellularity: intermediate
6) cellular atypia: mild
7) invasion into mucosa: absent
8) resection margin involvement: absent
. Chronic cholecystitis with cholelithiasis and cholesterol polyps, gallbladder

ºóÇ÷·Î ³»¿øÇÑ 30´ë ¿©¼ºÀÇ ½ÊÀÌÁöÀå¿¡¼­ SMT°¡ ¹ß°ßµÇ¾ú°í ±× ÀϺΰ¡ ÇÔ¸ôµÇ¾î ÀÖ¾úÀ¸¸ç ÃâÇ÷ÀÇ ¿øÀÎÀ¸·Î ÆÇ´ÜµÇ¾ú°í ¼ö¼úÀ» ½ÃÇàÇÔ (2017)
Duodenum, 2nd portion, wedge resection: Gastrointestinal stromal tumor of low risk of malignant potential by proposed modification for adjuvant therapy (2008)
1) tumor size: 4.2x4x2.5 cm
2) mitosis: 3/50 HPF (high powered fields)
3) histological type: spindle
4) necrosis: absent
5) cellularity: intermediate
6) cellular atypia: mild
7) invasion into mucosa: present
8) resection margin involvement: absent
9) no metastasis in 2 lymph nodes


Pancreas uncinate process¿Í duodenum »çÀÌÀÇ enhancing mass°¡ 9³â »çÀÌ¿¡ Á¶±Ý¾¿ Ä¿Á®¼­ ¼ö¼ú ÈÄ duodenal GIST·Î È®Áø (2018, F/62)


Excision: Gastrointestinal stromal tumor of low risk of malignant potential by proposed modification for adjuvant therapy (2008) (see note);
1) tumor size: 3x2 cm
2) mitosis: 2/50 HPF (high powered fields)
3) histological type: spindle
4) necrosis: absent
5) cellularity: intermediate
6) cellular atypia: moderate
7) invasion into mucosa: absent
8) resection margin involvement: absent


°ÇÁø ÃÊÀ½ÆÄ¿¡¼­ ¼ÒÀå ȤÀº ÃéÀå Á¾¾çÀÌ ¹ß°ßµÇ¾ú½À´Ï´Ù ("R/O Low echoic mass lesion or collapsed bowel, inferior aspect of pancreatic tail"). CT ÈÄ jejunum GIST·Î ÆÇ´ÜµÇ¾î ¼ö¼úÀ» ¹ÞÀ¸¼Ì½À´Ï´Ù. (2015)
Small intestine, wedge resection: Gastrointestinal stromal tumor of low risk of malignant potential:
1) tumor size: 4.5x3 cm
2) mitosis: 0/50 HPF (high powered fields)
3) histological type: spindle
4) necrosis: absent
5) cellularity: intermediate
6) cellular atypia: mild
7) invasion into mucosa: absent
8) resection margin involvement: absent
C-kit, PKC-e, DOG-1, CD34: all positive
Ki-67: positive in less than 2% of tumor

7³â ÈÄ º¹ºÎ Áõ»óÀ¸·Î °Ë»ç¸¦ ¹Þ¾Æ °£ Á¾¾çÀ¸·Î ÀǷڵǾú½À´Ï´Ù. °£ Á¶Á÷°Ë»ç¸¦ ÇÏ¿´½À´Ï´Ù.
Liver, S8/7, biopsy : Gastrointestinal stromal tumor
C-KIT (CD 117) : Diffusely positive in tumor cells
DOG-1 : Diffusely positive in tumor cells
Cytokeratin (AE1/AE3) : Negative in tumor cells
Ki-67 : Positive in about 3% of tumor cells
Actin (Smooth muscle) : Focally positive in tumor cells

´Ù¸¥ °÷ÀÇ º´¼Ò°¡ ¾ø¾úÀ¸¹Ç·Î °ú°Å jejunal GISTÀÇ °£ÀüÀÌ·Î ÆÇ´ÜÇÏ¿´½À´Ï´Ù. ±Û¸®¹é Ä¡·á¸¦ À§ÇÏ¿© Á¾¾ç³»°ú·Î ÀǷڵǾú½À´Ï´Ù. ¼ÒÀå GIST´Â ¹«¼·½À´Ï´Ù. "Low risk of malignant potential"·Î ³ª¿Ô´ø ȯÀÚ¿¡¼­µµ °£ÀüÀ̸¦ º¸ÀÌ´Â °æ¿ì°¡ ÀÖÀ¸´Ï±î¿ä. Low´Â No°¡ ¾Æ´Õ´Ï´Ù.


[More cases]

Gastrointestinal stromal tumor of intermediate risk of malignant potential by NIH (2002) and moderate risk (24 %) of progressive disease by Miettinen (2006) :
1) tumor size: 5.5x5.5x5 cm
2) mitosis: 0/50 HPF (high powered fields)
3) histological type: spindle
4) necrosis: absent
5) cellularity: intermediate
6) cellular atypia: mild
7) invasion into mucosa: present
8) resection margin involvement: absent
9) no metastasis in 3 regional lymph node (0/3 : "mesenteric LN", 0/3)

Jejunal GIST
Gastrointestinal stromal tumor of high risk of malignant potential by NIH (2002) and high risk (85%) of progressive disease by Miettinen (2006) :
1) tumor size: 7.8x7x5 cm
2) mitosis: 22/50 HPF (high powered fields)
3) histological type: spindle
4) necrosis: present
5) cellularity: intermediate
6) cellular atypia: mild
7) invasion into mucosa: present
8) myxoid change: present
9) resection margin involvement: absent

Jejunal GIST

small bowel malignant GIST with peritoneal seeding (exon 11 mutation +)

Ileal GIST with liver metastasis

´Ù¹ß¼º °£ÀüÀ̸¦ µ¿¹ÝÇÑ GIST¿´½À´Ï´Ù. EGD¿¡¼­ À§¿Í ½ÊÀÌÁöÀåÀÇ mucosal lesionÀº ¾ø¾úÀ¸³ª CT ¼Ò°ßÀ» ±Ù°Å·Î gastric GIST with liver metastasis·Î ÀáÁ¤ Áø´ÜÇϰí imatinibÀ» »ç¿ëÇÏ¿´½À´Ï´Ù. °£ º´¼Ò´Â ´Ù ¾ø¾îÁö°í ¿ø¹ßº´¼Ò¸¸ ³²¾Æ¼­ ¼ö¼úÀ» ÇÏ¿´´Âµ¥ º´¼ÒÀÇ À§Ä¡°¡ À§°¡ ¾Æ´Ï¶ó ½ÊÀÌÁöÀåÀ̾ú½À´Ï´Ù. óÀ½ºÎÅÍ duodenal GIST with liver metastasis¿´À» °ÍÀ¸·Î ÆÇ´ÜÇÏ¿´½À´Ï´Ù.

³­¼Ò¾Ï ÀǽÉÇÏ¿© °³º¹¼ú ½ÃÇàÇÏ¿´À¸³ª ¼ÒÀå GIST·Î ³ª¿Ô½À´Ï´Ù.

¸íÄ¡ºÎ ºÒÆí°¨À¸·Î ½ÃÇàÇÑ CT¿¡¼­ ¿ì¿¬È÷ ¹ß°ßµÇ duodenal 3rd portion hypervascular mass¿´À¸¸ç ¼Ò¾Æ ´ëÀå°æÀ» ÀÌ¿ëÇÑ push enteroscopy ÈÄ ¼ö¼ú ½ÃÇà
Duodenal wedge resection: Gastrointestinal stromal tumor of very low risk of malignant potential by proposed modification for adjuvant therapy (2008);
1) tumor size: 1.8x1.8 cm
2) mitosis: 0/50 HPF (high powered fields)
3) histological type: spindle
4) necrosis: absent
5) cellularity: intermediate
6) cellular atypia: moderate
7) invasion into mucosa: absent
8) resection margin involvement: absent
Note: Very low risk by NIH (2002) and none risk (0%) of progressive disease by Miettinen (2006).
. Ki-67 : Positive in up to about 2% of tumor cells
. C-KIT (CD 117) : Positive in tumor cells
. DOG-1 : Positive in tumor cells

UGI bleedingÀ¸·Î ¸î ¹ø ³»½Ã°æÇÏ¿© ¾î·Æ°Ô Áø´ÜµÈ ½ÊÀÌÁöÀå GIST (³²ÀÚ 55¼¼, 2021³â) GIST high risk


13. ´ëÀå GIST Áõ·Ê


Rectum, trans-anal endoscopic microsurgery:
. Gastrointestinal stromal tumor of very low risk of malignant potential by proposed modification for adjuvant therapy (2008), none risk (0 %) of progressive disease by Miettinen (2006) :
1) tumor size: 1.4x1.2x0.4 cm
2) mitosis: 3/50 HPF (high powered fields)
3) histological type: spindle
4) necrosis: absent
5) cellularity: intermediate
6) cellular atypia: mild
7) invasion into mucosa: absent
8) resection margin involvement: absent
. Pho-H-H3: Positive in less than 5% of tumor cells
. C-kit : Positive
. DOG1 : Positive
. Ki-67: Negative
. PKC-¥È: Weakly positive

Á¦ Àü°øÀº ¾Æ´ÏÁö¸¸... ÀÌ·¸°Ô ÀÛÀº GIST´Â follow up ÇÏ¸é ¾î¶²°¡ »ý°¢ÇØ º¸¾Ò½À´Ï´Ù.


14. ±âŸ Àå±â GIST

½Äµµ GIST. ¸ðµÎ ¼ö¼ú·Î ÀýÁ¦ÇÑ ÈÄ ½Äµµ GIST·Î ³ª¿Â Áõ·ÊÀÔ´Ï´Ù. ½Äµµ GIST´Â leiomyomaº¸´Ù ¸Å¿ì rareÇÕ´Ï´Ù. ÇϺνĵµ¿¡ À§Ä¡Çϰí lobulated µÇ´Â °æÇâÀÌ ÀÖ°í leiomyomaº¸´Ù soft ÇÕ´Ï´Ù. Leiomyoma´Â º¸Åë ¸Å¿ì ´Ü´ÜÇÕ´Ï´Ù.

̎ˌ GIST
Small intestine, pancreas, CBD and gallbladder, PPPD : Gastrointestinal stromal tumor of low risk of malignant potential by proposed modification for adjuvant therapy (2008), low risk (8.3%) of progressive disease by Miettinen (2006)
1) tumor size: 2.3x2x1.8cm
2) mitosis: up to 1/50HPF (high powered fields)
3) histological type: epithelioid
4) necrosis: absent
5) cellularity: low
6) cellular atypia: mild
7) invasion into mucosa: absent
8) resection margin involvement: absent
. 20 reactive lymph nodes


15. Code

¼ö¼úÇÑ À§ GISTÀÇ Äڵ忡 ´ëÇÑ ³í¶õÀÌ ÀÖ¾î ÀáÁ¤¾ÈÀ» ¸¶·ÃÇÏ¿´½À´Ï´Ù. (2017/3)

µ·ÀÚ·ç ¹× Ä®Àڷ縦 °¡Áö°í ÀÖ´Â Á¤ºÎ¿¡¼­´Â ±âÁغÎÅÍ ¸í·áÇÏ°Ô ¸¸µé¾î¾ß ÇÒ °ÍÀÔ´Ï´Ù. ȯÀÚÀÇ Áúº´¿¡ ´ëÇÏ¿© ³íÀÇÇÒ ½Ã°£µµ ºÎÁ·Çѵ¥ ÄÚµå °¡Áö°í ÀÚ²Ù ½Ã°£À» ³¶ºñÇÏ´Ù´Ï ¾ÈŸ±õ½À´Ï´Ù. ÁÖÁöÇÏ´Â ¹Ù¿Í °°ÀÌ '¾Ïµî·Ïº»ºÎ'°¡ ±âÁØÀº ¾Æ´Õ´Ï´Ù. ¾Æ¹«µµ ±âÁØÀ» ¾È ¾Ë·ÁÁÖ´Ï ¿©±â Àú±â Âñ·¯º¼ »ÓÀÔ´Ï´Ù. '¾Ïµî·Ïº»ºÎ'µµ ±× Áß ÇϳªÀÔ´Ï´Ù.


[FAQ]

[2016-11-14. 2016³â ¹ßÇ¥µÈ GIST management Á¾¼³¿¡ ´ëÇÑ ±è»ó±Õ ±³¼ö´Ô ÆíÁö]

1) 2-5 cm GIST Áß ½ÇÁ¦ malignant risk´Â very low risk¿¡¼­ intermediate±îÁö ´Ù¾çÇÕ´Ï´Ù. Very low rsk¿¡ ÇØ´çÇÏ´Â °æ¿ì°¡ ¸¹Àº »óȲ¿¡¼­ ¸ðµç ȯÀÚ¿¡°Ô ¼ö¼úÀ» ±ÇÀ¯ÇÏ´Â °ÍÀº °úÀ×Ä¡·á°¡ µÉ ¼ö ÀÖ½À´Ï´Ù. High risk feature¸¦ °®´Â ȯÀÚ¿¡ ÇÑÇØ Ä¡·á°¡ ÀÌ·ç¾îÁö´Â °ÍÀÌ ¹Ù¶÷Á÷ÇÒ °ÍÀ¸·Î º¸À̳ª, ¾ÆÁ÷±îÁö °ú¿¬ ¾î¶² °ÍÀÌ ±×·± °æ¿ìÀÎÁö¸¦ ¹Ì¸® È®ÀÎÇÏ´Â °ÍÀÌ Çö½ÇÀûÀ¸·Î ¾î·Æ´Ù´Â ÇѰ谡 ÀÖ½À´Ï´Ù¸¸ (Å©±â, ±Ë¾çÀÇ ¿©ºÎ, ³»ºÎ necrosis ¿©ºÎ µîÀÌ ½ÇÁ¦·Î Å« °ü°è°¡ ¾ø´Â °æ¿ì°¡ ¸¹½À´Ï´Ù).

2) 2 cm ¹Ì¸¸ÀÇ GIST´Â mitotic index¿Í °ü·Ã¾øÀÌ ¸ðµÎ very low risk¿¡ ÇØ´çÇÕ´Ï´Ù (Hornick JL. Hum Pathol 2007¿¡ µû¸£¸é ¼ÒÀåÀº ¾Æ´ÏÁö¸¸ À§ GISTÀÇ °æ¿ì Å©±â°¡ 2 cm ÀÌÇÏÀ̸é mitotic index°¡ 5/50 HPF ÀÌÇÏ¿Í ÀÌ»ó ¸ðµÎ very low risk¿¡ ÇØ´çÇÕ´Ï´Ù). ÀÌ °æ¿ì´Â ¼ö¼úÀÌ ÇÊ¿ä¾ø´Ù°í »ý°¢ÇÕ´Ï´Ù. ´Ü, very low risk´Â Áø´Ü ´ç½ÃÀÇ ½ÃÁ¡¸¸À» ¹Ý¿µÇÏ´Â °ÍÀ̹ǷΠ½Ã°£ °æ°ú¿¡ µû¸¥ º¯È­ ¿©ºÎ´Â ²À È®ÀÎÇØ¾ß ÇÕ´Ï´Ù (Å©±â º¯È­´Â ÀüüÀÇ 5% ¹Ì¸¸).

[2016-11-20. ÀÌÁØÇà ´äº¯]

ÁÁÀº ÀÇ°ß °¨»çÇÕ´Ï´Ù.

À§ GIST°¡ 2cm ÀÌÇÏ¸é °°Àº Å©±âÀÇ ¼ÒÀåÀ̳ª ´ëÀå GISTº¸´Ù À§Ç輺ÀÌ ´úÇÕ´Ï´Ù. 2 cm ÀÌÇÏÀÇ À§ SMT´Â ºñ·Ï Á¶Á÷ÇÐÀûÀ¸·Î GIST·Î È®ÀεǴõ¶óµµ ¹«Á¶°Ç ¼ö¼úÀ» ±ÇÇÏÁö ¾Ê½À´Ï´Ù. 2016³â ¹ßÇ¥µÈ GIST management Á¾¼³ÀÇ algorithm¿¡¼­ ¾Ë ¼ö ÀÖµíÀÌ ºñ·Ï Á¶Á÷ÇÐÀûÀ¸·Î GIST¶ó°í È®ÀεǴõ¶óµµ high risk feature°¡ ¾øÀ¸¸é °æ°ú°üÂûÀÌ °¡´ÉÇÕ´Ï´Ù.

2 cm ÀÌÇÏÀÇ À§ SMT ȤÀº À§ GIST¿¡ ´ëÇÑ °úÀ× °Ë»ç¿Í °úÀ× Ä¡·áÀÇ °¡´É¼ºÀ» ÁöÀûÇØ Áּż­ °¨»çÇÕ´Ï´Ù.


[2017-2-15. ¾Öµ¶ÀÚ Áú¹®]

±³¼ö´Ô²²¼­ º¸¿©ÁֽŠÁõ·Ê Áß¿¡ ¾Æ·¡ Áõ·Ê°°Àº °æ¿ì (1-3 cm »çÀÌÀÇ °æ¿ì) Àú´Â ¼ö¼úÇÒÁö °æ°ú °üÂûÇÒÁö Ç×»ó °í¹ÎÀÔ´Ï´Ù. FNAB³ª incisionÀ» ÇØ¼­ Á¶Á÷°Ë»çÇÏ´Â °ÍÀ» Àû±ØÀûÀ¸·Î ±Ç°íÇϽôÂÁö¿ä?

22G Precore »ç¿ëÇÏ¿© EUS-guided FNAB ½ÃÇàÇÔ. GIST·Î ³ª¿Í ¼ö¼úÀ» ½ÃÇàÇÏ¿´½À´Ï´Ù.

[2017-2-15. ÀÌÁØÇà ´äº¯]

Áß¿äÇÑ Áú¹®À̶ó°í »ý°¢ÇÕ´Ï´Ù. ÇöÀç ¿ì¸®³ª¶ó¿¡¼­ ÀÎÁ¤µÈ '¹«Áõ»ó ¼ºÀÎÀÇ À§ SMT¿¡ ´ëÇÑ °¡À̵å¶óÀÎ'Àº ¾ø±â ¶§¹®¿¡, ¾Æ·¡¿Í °°Àº ÀϺ» °¡À̵å¶óÀÎÀ» µû¸£´Â °æ¿ì°¡ ¸¹½À´Ï´Ù. ¹°·Ð °øÀÎµÈ Á¤´äÀº ¾Æ´Õ´Ï´Ù.

ÀϺ»Ãø Àǰ߿¡ µû¸£¸é 2cm°¡ µÇÁö ¾Ê´Â SMT¿¡¼­ Ưº°È÷ ³ª»Û ¼Ò°ßÀÌ ¾øÀ¸¸é Á¶Á÷À» ¾òÁö ¸»°í °æ°ú°üÂûÀ» ÇÏ¸é µË´Ï´Ù. ÀÌ·¸°Ô ±ÇÇÏ´Â ÀÌÀ¯ Áß Çϳª´Â Á¶Á÷À» ¾ò¾î¼­ GIST°¡ ³ª¿À¸é ¼ö¼úÀ» ÇÒ ¼ö ¹Û¿¡ ¾ø±â ¶§¹®ÀÔ´Ï´Ù. Á¶Á÷À» ¸ð¸£´Â »óÅ¿¡¼­´Â Á¶½É½º·´°Ô °æ°ú°üÂûÀ» ÇÒ ¼ö ÀÖÁö¸¸, ÀÏ´Ü GISTÀÎ °ÍÀ» ¾Ë¸é ¼ö¼úÀ» ÇÏÁö ¾ÊÀ» ¼ö ¾ø½À´Ï´Ù. ¹ýÀûÀÎ ÀÌÀ¯µµ Àֱ⠶§¹®ÀÔ´Ï´Ù. '¸ð¸£´Â °Ô ¾àÀÌ´Ù'¶ó´Â ¸»ÀÌ Àִµ¥ µü ¿©±â¿¡ ÇØ´çÇÕ´Ï´Ù.

ÅëÀÏµÈ ±¹³» °¡À̵å¶óÀÎÀÌ ¾ø±â ¶§¹®¿¡, Àü¹®°¡ »çÀÌÀÇ ÀǰßÂ÷°¡ ¹ß»ýÇÕ´Ï´Ù. Á¦¹ý »ý°¢ÀÇ Â÷À̰¡ Å®´Ï´Ù. ÇÑ º´¿ø ³»¿¡¼­µµ ÀǰßÀÌ ÅëÀϵǾî ÀÖÁö ¸øÇÕ´Ï´Ù. Áú¹®ÇϽŠÁõ·Ê´Â Á¦ ȯÀÚ´Â ¾Æ´Ï¾ú½À´Ï´Ù. EUS¿¡¼­ Àå°æ 18.9mm·Î ÃøÁ¤µÇ¾ú°í, EUS-guided·Î Á¶Á÷ÀÌ ¾ò¾îÁ³°í, GIST·Î ³ª¿Ô°í, ¼ö¼úÀÌ ÁøÇàµÇ¾ú½À´Ï´Ù. Ÿ´çÇÑ °Ë»ç¿Í Ÿ´çÇÑ ¼ö¼úÀ̾ú½À´Ï´Ù. ´Ù¸¸ ¸ðµç Àǻ簡 ´Ù ±×·¸°Ô ÇØ¾ß¸¸ ÇÏ´Â »óȲÀº ¾Æ´Ï¾ú½À´Ï´Ù.

¿ì¼± CT¸¦ Âï¾î 2cm ¹Ì¸¸À¸·Î ³ª¿À¸é ³»½Ã°æ ÃßÀû °üÂûµµ °¡´ÉÇÑ optionÀ̾ú½À´Ï´Ù. ´õ Ä¿Á³°Å³ª ¹®Á¦°¡ ÀÖÀ» ¶§¸¸ ¼ö¼úÇÏÀÚ´Â Àü·«ÀÔ´Ï´Ù. Àú´Â ±×·¸°Ô ÇßÀ» °Í °°½À´Ï´Ù.

°á±¹ Á¶±Ý Àû±ØÀûÀÎ °ßÇØµµ °¡´ÉÇÏ°í ´Ù¼Ò º¸¼öÀûÀÎ °ßÇØµµ °¡´ÉÇÑ È¯ÀÚ¿´½À´Ï´Ù. »¡¸® ÅëÀÏµÈ ±¹³» °¡À̵å¶óÀÎÀÌ ÇÊ¿äÇÕ´Ï´Ù. ±×·¯³ª ¸Å¿ì ¸Å¿ì ¸Å¿ì ¸Å¿ì ¾î·Á¿î ÀÏÀÏ °ÍÀÔ´Ï´Ù. ÀÌÀ¯´Â ¾Æ½Ã°ÚÁö¸¸ ..... (±Û·Î´Â ¾µ ¼ö ¾ø½À´Ï´Ù. Á¦ »ý°¢À» ¾Ë°í ½ÍÀ¸½Ã¸é ÇÐȸ³ª Áý´ãȸ¶§ °³ÀÎÀûÀ¸·Î ³íÀÇÇØ º¾½Ã´Ù. ¼ú ÇÑÀÜ »ç ´Þ¶ó°í ã¾Æ¿À¼Åµµ ÁÁ½À´Ï´Ù.)


[2023-5-21]

´Ù½Ãº¸±â°¡ °¡´ÉÇÑ web seminarÀÇ ÈûÀº ´ë´ÜÇÕ´Ï´Ù. 4¿ù 18ÀÏ KSGE ¼¼¹Ì³ª ÀÌÇÏ¿¹¹Î ±³¼ö´Ô °­ÀǸ¦ ¸®ºäÇÏ¿´½À´Ï´Ù.


[2025-1-19] Exophytic SET at antrum¿¡ ´ëÇÑ Áú¹®¿¡ ´äÇÕ´Ï´Ù.


[2026-3-27]


[References]

1) EndoTODAY Á¡¸·ÇÏÁ¾¾ç submucosal tumor

2) The standard diagnosis, treatment, and follow-up of GIST - 2016³â Gastric CancerÁö 1¿ùÈ£ Á¾¼³

© ÀÏ¿ø³»½Ã°æ±³½Ç ¹Ù¸¥³»½Ã°æ¿¬±¸¼Ò ÀÌÁØÇà. EndoTODAY Endoscopy Learning Center. Lee Jun Haeng