Beginner | ESA | Schedule | OPD
Seminars | Atlas | Recent | Links
 [À§¿ëÁ¾. Gastric polyps]  - ðû
 [À§¿ëÁ¾. Gastric polyps]  - ðû
1. Definition
3. °úÇü¼º ¿ëÁ¾Áõ ȤÀº ±¤¹üÀ§ÇÑ º¯È
4. Inflammatory fibrinoid polyp ¿°Áõ¼º ¼¶À¯¾ç ¿ëÁ¾
5. Gastric hamartomatous polyps in polyposis and non-polyposis
6. Fundic gland polyp in PPI users
7. Other polyps
8. Adenoma/carcinoma arising from hyperplastic polyp µî
10. FAQ - NGSÀ» ÀÌ¿ëÇÑ polyposis panel
11. References
¿ëÁ¾Àº ³»°À» ÇâÇÏ¿© µ¹ÃâµÈ º´º¯À» ÃÑĪÇÏÁö¸¸ ÈçÈ÷ Á¼Àº Àǹ̷Π»ç¿ëÇÏ¿© ¾ç¼º »óÇǼº Á¾¾ç¸¸À» ÀǹÌÇÕ´Ï´Ù. °£È¤ metaplastic gastritis¿¡¼ º¸ÀÌ´Â ³³ÀÛÇÏ°í ¾à°£ À¶±âµÈ metaplastic noduleÀ» ¿ëÁ¾À̶ó°í ºÎ¸£´Â °æ¿ì°¡ Àִµ¥ ÀÌ´Â ¹Ù¶÷Á÷ÇÏÁö ¾Ê½À´Ï´Ù. Àç°Ë¿¡¼ º¸ÀÏ ¼öµµ ÀÖ°í º¸ÀÌÁö ¾ÊÀ» ¼öµµ ÀÖ´Â °æ¹ÌÇÑ ¼Ò°ßÀ» ¿ëÁ¾À̶ó°í ºÎ¸£Áö ¸¿½Ã´Ù.
¿ëÁ¾ÀÇ ºÐ·ù´Â ÀüÅëÀûÀ¸·Î Yamada ºÐ·ù¹ýÀÌ ÀÌ¿ëµÇ¾ú½À´Ï´Ù. À¶±âÀÇ ±â½ÃºÎ°¡ µÐ°¢ÀÌ°í ¿Ï¸¸Çϸé Yamada-IÇü, À¶±âÀÇ ±â½ÃºÎ°¡ ¿¹°¢À¸·Î °æ°è°¡ ¿Ï¸¸ÇÏÁö¸¸ Àß·èÇÏÁö ¾ÊÀ¸¸é Yamada-IIÇü, À¶±âÀÇ ±â½ÃºÎ°¡ Àß·èÇÏÁö¸¸ ¸ñ(neck)ÀÌ ¾øÀ¸¸é Yamada-IIIÇü, À¯°æ¼º(pedunculated)À̸é Yamada- IVÇüÀ¸·Î ºÐ·ùµË´Ï´Ù.
ÃÖ±Ù¿¡´Â sessile, semi-pedunculated, pedunculated ·Î ³ª´©°í ÀÖ½À´Ï´Ù.
Á¶Á÷ÇÐÀûÀ¸·Î´Â ¼±Á¾¼º ¿ëÁ¾(adenomatous polyp)°ú ºñ¼±Á¾¼º ¿ëÁ¾À¸·Î ³ª´©Áö¸¸, º¸Åë ¿ëÁ¾À̶ó°í ÇÏ¸é ºñ¼±Á¾¼º ¿ëÁ¾À» ¸»ÇÕ´Ï´Ù. °ú°Å¿¡´Â °úÇü¼º ¿ëÁ¾ÀÌ °¡Àå ÈçÇߴµ¥ ÃÖ±Ù¿¡´Â À§Àú¼±¿ëÁ¾(fundic gland polyp)ÀÌ °¡Àå ÈçÇÑ °Í °°½À´Ï´Ù.
¿ëÁ¾Áõ (polyposis)ÀÇ Á¤ÀÇ´Â ¸íÈ®ÇÏÁö ¾Ê½À´Ï´Ù. ÇÑ Àå±â¿¡ ´Ù¼öÀÇ ¿ëÁ¾ÀÌ ÀÖÀ» ¶§ ¿ëÁ¾ÁõÀ̶ó°í ºÎ¸¦ ¼ö ÀÖÀ¸³ª ¸î °³ ÀÌ»óÀ̶ó´Â ±âÁØÀº ¾ø½À´Ï´Ù. 10-20°³ À̻󿡼 ¿ëÁ¾ÁõÀ̶ó°í ºÎ¸£´Â °æÇâÀÔ´Ï´Ù. ¾Æ·¡´Â À̼±¿µ ±³¼ö´Ô²²¼ Á¤¸®ÇÑ ³»¿ëÀÔ´Ï´Ù.
2024-24. Hyperplastic polyp
°úÇü¼º ¿ëÁ¾Àº À§Á¡¸· »óÇǰ¡ °úµµÇÏ°Ô Áõ½ÄÇÑ °á°úÀÔ´Ï´Ù.
¿©·¯°³ÀÇ °úÇü¼º ¿ëÁ¾ÀÌ µ¿½Ã¿¡ ¹ß»ýÇÏ´Â °æÇâÀ̰í 2 cmÀÌÇϰ¡ ¸¹°í ºÓÀº »ö±òÀ» ¶ì¸ç ÀÛÀ» ¶§´Â sessileÇÏÁö¸¸ Ä¿Áö¸é À¯°æ¼ºÀÌ µË´Ï´Ù. ¾ÏÀ¸·Î ÁøÇàÇÏ´Â °æ¿ì´Â °ÅÀÇ ¾ø½À´Ï´Ù. °úÇü¼º ¿ëÁ¾Àº ÀÛÀ¸¸é Ä¡·á°¡ ÇÊ¿ä¾ø½À´Ï´Ù.
Á¶Á÷ÇÐÀû Ư¡Àº ¾Æ·¡¿Í °°ÀÌ ¿ä¾àµË´Ï´Ù. pathologyoutlines.com
¼±¸ °¡À̵å¶óÀÎÀº 2 cm À̻󿡼 ³»½Ã°æ ÀýÁ¦¸¦ Çϵµ·Ï ±ÇÇϰí ÀÖ½À´Ï´Ù. ¿ì¸®³ª¶ó¿¡¼´Â À̺¸´Ù À۾Ƶµ Ä¡·á¸¦ ±ÇÇÏ´Â Àǻ簡 ¸¹½À´Ï´Ù. Ä¡·á ÈÄ ´Ù¸¥ °÷¿¡¼ Àç¹ßÇÏ´Â ¿¹°¡ ¸¹À¸¹Ç·Î »çÀü¿¡ Àß ¼³¸íÇØ¾ß ÇÕ´Ï´Ù.
2³â µ¿¾È Å©±â°¡ Áõ°¡ÇÏ¿´´ø °úÇü¼º ¿ëÁ¾
ÀüÁ¤ºÎ¿¡ 2°³, cardia¿¡ 1°³. ´Ù¹ß¼º °úÇü¼º ¿ëÁ¾
¸Å¿ì Å« Yamada type III °úÇü¼º¿ëÁ¾
Yamada type IV °úÇü¼º¿ëÁ¾
°¡Áö°¡ ¶Ñ·ÇÇÏ¿´°í °¡Áö ³¡¿¡ °¨ÀÌ ¿¸° Çü»óÀÇ °úÇü¼º ¿ëÁ¾. ÀýÁ¦¼ú Á÷ÈÄ ÃâÇ÷ÀÌ ÀÖ¾î ÁöÇ÷¼úÀ» ÇÏ¿´½À´Ï´Ù.
Helicobacter-associated hyperplastic polyp
°úÇü¼º ¿ëÁ¾ÀÌ transient ÇÏ°Ô pyloric ringÀ» ÅëÇÏ¿© ½ÊÀÌÁöÀåÀ¸·Î herniation µÇ¾î ÀÖ¾ú½À´Ï´Ù. ÈíÀÔÇÏ¿© ´ç±ä ÈÄ ½Ã¼úÇÏ¿´½À´Ï´Ù.
¿ëÁ¾ÀÌ ¾î´À Á¤µµ ÀÌ»ó Å©¸é ÀýÁ¦¼úÀ» ±ÇÇÕ´Ï´Ù. ÀÌÀ¯ Áß Çϳª´Â ÃâÇ÷ÇÒ ¼ö Àֱ⠶§¹®ÀÔ´Ï´Ù. ¾Æ·¡´Â melena·Î ³»¿øÇÑ È¯ÀÚÀÔ´Ï´Ù. ¿ëÁ¾¿¡¼ ÃâÇ÷ÇÑ °æ¿ì¿´½À´Ï´Ù. ¿ëÁ¾ÀýÁ¦¼ú·Î Ä¡·áÇÏ¿´½À´Ï´Ù.
°úÇü¼º ¿ëÁ¾ ȯÀÚ°¡ Ç︮ÄÚ¹ÚÅÍ °¨¿°ÁõÀÌ ÀÖÀ¸¸é À̸¦ Ä¡·áÇϱ⵵ ÇÕ´Ï´Ù. ¿ëÁ¾ÀÌ ÀÛ¾ÆÁø´Ù´Â ¼³ÀÌ Àֱ⠶§¹®ÀÔ´Ï´Ù. ±×·±µ¥ Àú´Â À̸¦ Àß ¹ÏÁö ¾Ê½À´Ï´Ù. °£È¤ ÀúÀý·Î ÀÛ¾ÆÁö´Â »ç¶÷µµ Àֱ⠶§¹®ÀÔ´Ï´Ù. ¾Æ·¡ ȯÀÚ´Â Ç︮ÄÚ¹ÚÅÍ À½¼ºÀ̾ú°í Ưº°ÇÑ Ä¡·á¸¦ ÇÏÁö ¾Ê¾Ò´Âµ¥ ÃßÀû ³»½Ã°æ¿¡¼ ÀúÀý·Î ¿ëÁ¾ÀÌ ÀÛ¾ÆÁø ¿¹ÀÔ´Ï´Ù.
Ưº°ÇÑ Ä¡·á ¾øÀÌ ÀúÀý·Î ÀÛ¾ÆÁø °úÇü¼º ¿ëÁ¾
Á¶Á÷¼Ò°ßÀÌ ÀüÇüÀûÀÌ °úÇü¼º ¿ëÁ¾°ú´Â ´Þ¶ó¼ º´¸®°á°ú°¡ hypertrophic gastric mucosa·Î¸¸ º¸°íµÇ´Â °æ¿ìµµ ÀÖ½À´Ï´Ù.
°úÇü¼º ¿ëÁ¾ÀÌ ÀúÀý·Î ¶³¾îÁö´Â ¼ö°¡ ÀÖ½À´Ï´Ù. ¿ÏÀüÈ÷ ¾ø¾îÁö´Â ¼öµµ ÀÖ°í ÀϺΰ¡ ³²´Â ¼öµµ ÀÖ½À´Ï´Ù. AutoamputationÀ̶ó°í ºÎ¸¨´Ï´Ù.
¸Å¿ì Å« ¿ëÁ¾À¸·Î ÀÇ·ÚµÇ¾î ³»½Ã°æÀýÁ¦¼úÀ» ÇÏ·Á°í ÇÏ¿´À¸³ª ÀÌ¹Ì ÀúÀý·Î ¿ëÁ¾ÀÇ ´ëºÎºÐÀÌ »ç¶óÁø »óÅ¿´½À´Ï´Ù.
Fundus ÁÖº¯ÀÇ ³ÐÀº area°¡ hyperplatic change¸¦ º¸À̰í ÀϺΠ¿ëÁ¾ÀÌ ÀÖ¾ú½À´Ï´Ù. Á¶Á÷°Ë»ç·Î hyperplastic polypÀ¸·Î È®ÀÎÇÏ¿´½À´Ï´Ù. Ưº°ÇÑ Ä¡·á ¾øÀÌ °æ°ú°üÂû ÇÏ¿´´Âµ¥ 1³â ÈÄ ±¹¼ÒÀûÀ¸·Î Æ¢¾î³ª¿Í ÀÖ´ø ¿ëÁ¾Àº »ç¶óÁø ¸ð¾çÀÔ´Ï´Ù. ÀúÀý·Î ¶³¾îÁ³À» ¼öµµ ÀÖ°í Á¶Á÷°Ë»ç ÇÑ ºÎÀ§¿Í °¡±î¿ö ¶³¾îÁ³À» ¼öµµ ÀÖÀ» °Í °°½À´Ï´Ù.
AutoamputationµÇ¸é¼ ÃâÇ÷ÀÌ ¹ß»ýÇÒ ¼ö ÀÖ½À´Ï´Ù. ±×·¯³ª À̸¦ Áõ¸íÇϱâ´Â ½±Áö ¾ÊÀ» °ÍÀÔ´Ï´Ù. Áö±Ý±îÁö ¹®Çå¿¡ º¸°íµÈ °ÍÀº ´Ü Çѹø»ÓÀ̶ó°í »ý°¢µË´Ï´Ù (Nakajima T. Endoscopy 2003;35(12):1069-1071). ÃâÇ÷ȯÀÚ¿¡¼ ³»½Ã°æÀ» ÇØ º¸¾Ò´õ´Ï ¿ëÁ¾ÀÌ ¶³¾îÁ®ÀÖ°í ±× ÀÚ¸®¿¡¼ ÃâÇ÷ÇÑ ÈçÀûÀÌ ÀÖ¾ú´Ù´Â °ÍÀÔ´Ï´Ù. ¾ï¼¼°Ô ¿îÀÌ ÁÁÁö ¾ÊÀ¸¸é Áõ¸íÇÏ±â ¾î·Æ½À´Ï´Ù.
¾Æ·¡ ȯÀÚµµ ¿ëÁ¾ Çϳª(ÀüÁ¤ºÎ ¼Ò¸¸¿¡¼ Àüº®ÂÊÀÇ °¡Àå Å« °Í)°¡ ÀúÀý·Î ¾ø¾îÁø °æ¿ìÀÔ´Ï´Ù. Peduculated polypÀº ÀúÀý·Î ¾ø¾îÁú ¼ö ÀÖ½À´Ï´Ù.
°úÇü¼º¿ëÁ¾ÀÇ Á¶Á÷°Ë»ç ÈÄ ÃâÇ÷ÀÌ ¹ß»ýÇÒ ¼ö ÀÖ½À´Ï´Ù. HypervascularÇϹǷÎ. Á¶Á÷°Ë»ç ÈÄ ÃâÇ÷ÀÌ ¸¹À¸¸é Áï½Ã EMR polypectomy¸¦ ½ÃµµÇÒ ¼ö ÀÖ½À´Ï´Ù.
 3. °úÇü¼º ¿ëÁ¾Áõ ȤÀº ±¤¹üÀ§ÇÑ º¯È
 3. °úÇü¼º ¿ëÁ¾Áõ ȤÀº ±¤¹üÀ§ÇÑ º¯È
[°úÇü¼º ¿ëÁ¾ + ³ÐÀº °úÇü¼º ¿ëÁ¾ À¯»ç Á¡¸·º¯È]
µé¹® Á÷ÇϺο¡ ¸î °³ÀÇ ¿ëÁ¾ÀÌ ÀÖ¾î µé¹®À» °¨½Î°í ÀÖ´Â ¾ç»óÀÔ´Ï´Ù. À§Ã¼ºÎ ¼Ò¸¸ÀÇ Á¡¸·ÀÌ ³ÐÀº ºÎÀ§¿¡ °ÉÃÄ ¾à°£ µÎ²®°í ¹ßÀûµÇ¾î ÀÖ½À´Ï´Ù. ±ÞÁ¢ÇÏ¿© °üÂûÇÏ¸é ¹ßÀûºÎ Ç¥¸éÀº °úÇü¼º¿ëÁ¾ÀÇ Ç¥¸é°ú µ¿ÀÏÇØ º¸ÀÔ´Ï´Ù. °ú°ÅºÎÅÍ ¼öÂ÷·Ê Á¶Á÷°Ë»ç¸¦ ÇÏ¿´À¸³ª Ç×»ó ¸ðµÎ hyperplastic polypÀ̾ú½À´Ï´Ù. Helicobacter pylori À½¼ºÀÔ´Ï´Ù. Á¤È®ÇÑ ¿øÀÎÀ» ¾Ë±â ¾î·Æ½À´Ï´Ù. °æ°ú°üÂû ÁßÀÔ´Ï´Ù.
 4. Inflammatory fibrinoid polyp (IFP) ¿°Áõ¼º ¼¶À¯¾ç ¿ëÁ¾
 4. Inflammatory fibrinoid polyp (IFP) ¿°Áõ¼º ¼¶À¯¾ç ¿ëÁ¾
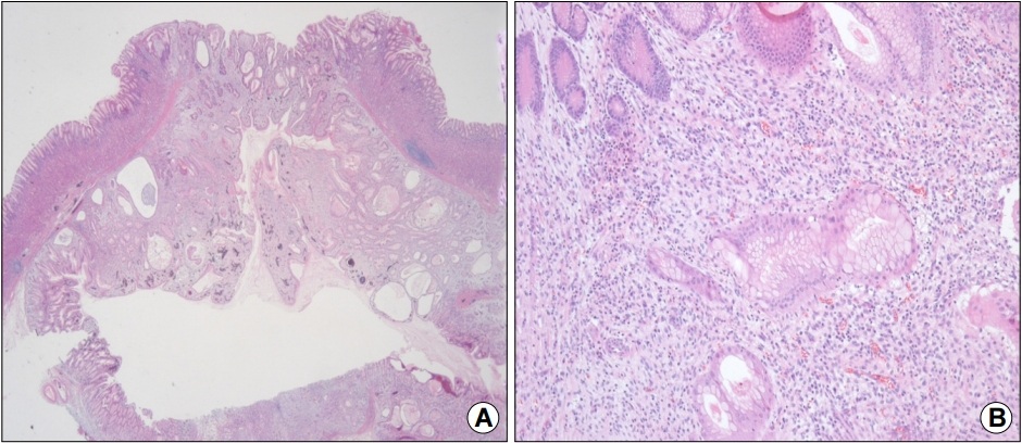
Inflammatory fibrinoid polyp (IFP) ¿°Áõ¼º ¼¶À¯¾ç ¿ëÁ¾Àº ¾ç¼º Á¾¾çÀÔ´Ï´Ù. ¾Ç¼ºÈ º¸°í´Â º¸Áö ¸øÇß½À´Ï´Ù. µû¶ó¼ ³»½Ã°æ ÀýÁ¦¼úÀ̳ª ¼ö¼úÀÌ ²À ÇÊ¿äÇÑÁö ¸íÈ®ÇÏÁö ¾Ê½À´Ï´Ù. ³»½Ã°æ ÀýÁ¦¼úÀº ½±Áö ¾Ê½À´Ï´Ù. ¶Ñ·ÇÇÑ À¶±âÇüÀ̰í À§º®¿¡ ±í°Ô ħÅõÇÏÁö ¾ÊÀº IFP´Â ÀÏ¹Ý EMR°ú ȤÀº ESD¿Í ºñ½ÁÇÏ°Ô ÀýÁ¦ÇÒ ¼ö ÀÖ½À´Ï´Ù. À§º®¿¡ ±í°Ô ħÅõÇÑ IFP´Â ³»½Ã°æ Ä¡·á°¡ ½±Áö ¾ÊÀ» ¼ö ÀÖÀ¸¹Ç·Î º¹°°æ ½û±â ÀýÁ¦¼úÀÌ ÇÊ¿äÇÒ ¼ö ÀÖ½À´Ï´Ù. IFP ¿°Áõ¼º ¼¶À¯¾ç ¿ëÁ¾À̶ó´Â À̸§ÀÌ ½Ã»çÇÏ´Â ¹Ù¿Í °°ÀÌ ¼¶À¯È°¡ ½ÉÇÑ Á¾¾çÀ̹ǷΠÁ¦¹ý ´Ü´ÜÇÏ¿© ³»½Ã°æ ÀýÁ¦¼ú ÈÄ ¼ö°ÅÇϱⰡ ¾î·Á¿ï ¼ö ÀÖ½À´Ï´Ù. ÀÌ ¸ðµç Á¡À» °í·ÁÇÏ¿© IFP·Î ÃßÁ¤µÇ´Â ¿ëÁ¾À» Ä¡·áÇÏÁö ¾Ê°í °æ°ú°üÂû ÇÏ´Â °Íµµ °¡´ÉÇÏ´Ù°í »ý°¢ÇÕ´Ï´Ù. »ç½Ç ¾ÏÀÎ ¿ëÁ¾ (EGC type 1)À̳ª, Àü¾Ï¼º º´¼ÒÀÎ ¿ëÁ¾ (¼±Á¾¼º ¿ëÁ¾) ȤÀº ÃâÇ÷°ú °°Àº ÇÕº´ÁõÀ» µ¿¹ÝÇÑ ¿ëÁ¾À̳ª Á¡¸·ÇÏÁ¾¾çÀº Ä¡·á°¡ ÇÊ¿äÇÏÁö¸¸ ±×·¸Áö ¾ÊÀº ¿ëÁ¾À̳ª Á¡¸·ÇÏÁ¾¾çÀº À§ÇèÀ» ¹«¸¨¾²°í Ä¡·áÇϱ⺸´Ù´Â Á¤±âÀûÀÎ °üÂûÀÌ È¯ÀÚ¿¡°Ô ´õ À¯¸®ÇÑ °æ¿ìµµ ÀÖ½À´Ï´Ù. Àú´Â IFPÀ¸·Î ÃßÁ¤µÇ´Â ȯÀÚ¿¡¼ Ä¡·á°¡ ½¬¿î º´¼Ò´Â ³»½Ã°æ ÀýÁ¦¼úÀ» Çϱ⵵ ÇÏÁö¸¸ ±í°Ô ¹ÚÈù IFP¿¡ ´ëÇÏ¿© ³»½Ã°æ ÀýÁ¦¼úÀ» ¹«¸®ÇÏ¿© ½ÃÇàÇÏ´Â °ÍÀº ±×´ÙÁö ¹Ù¶÷Á÷ÇÏÁö ¾Ê´Ù°í »ý°¢Çϰí ÀÖ½À´Ï´Ù. (2024³â 2¿ù)
ÀüÇüÀûÀÎ Áõ·Ê 1 - EndoTODAY quiz·Î ÃâÁ¦ÇÏ¿´½À´Ï´Ù. ÇÑ fellow ¼±»ý´Ô²²¼ "Á¤»óÀûÀÎ tubule ±¸Á¶°¡ ÀüÇô ¾ø°í ¿°Áõ ¼¼Æ÷µé, ƯÈ÷ eosinophilµéÀÌ ¸¹ÀÌ º¸ÀÔ´Ï´Ù. Áß¾Ó¿¡ Ç÷°üÀÌ º¸À̴µ¥ ±× ÁÖº¯À¸·Î fibrinoid Ä§ÂøÀÌ º¸ÀÔ´Ï´Ù. Áø´ÜÀº inflammatory fibroid polyp ÀÎ °Í °°½À´Ï´Ù."¶ó´Â ´äÀ» Áּ̽À´Ï´Ù. Excellent!
ÀüÇüÀûÀÎ Áõ·Ê 2
Inflammatory fibrinoid polypÀº gastric submucosal granuloma with eosinophilic infiltration, eosinophilic granuloma, hemangiopericytoma, fibroma, inflammatory pseudotumor µî ´Ù¾çÇÑ À̸§À¸·Î ºÒ·È´ø Á¾¾çÀÔ´Ï´Ù. Á¶Á÷ÇÐÀûÀ¸·Î ¼¶À¯Á¶Á÷, Ç÷°ü, È£»ê±¸¸¦ Æ÷ÇÔÇÑ ¸¹Àº ¿°Áõ¼¼Æ÷µé·Î ±¸¼ºµÇ¾î ÀÖ°í ±¹¼ÒÀûÀÎ ºñ½Å»ý¼º ¼ºÀåÀ» ÇÏ´Â ÁúȯÀÔ´Ï´Ù.
º´¸® ¼Ò°ßÀº ¾Æ·¡¿Í °°½À´Ï´Ù (pathology-on-line).
ÁÖ·Î À§¿¡ ¹ß»ýÇÏÁö¸¸ µå¹°°Ô ¼ÒÀå, ´ëÀå, ½Äµµ¿¡¼µµ ¹ß»ýÇÒ ¼ö ÀÖ½À´Ï´Ù. ¾Ç¼ºº¯È´Â º¸°íµÈ ¹Ù ¾ø½À´Ï´Ù. À§³»½Ã°æ¿¡¼´Â ÁÖ·Î pedunculated polypÀÇ ÇüŰ¡ ¸¹Àºµ¥ SMT¿Í ºñ½ÁÇÏ°Ô º¸ÀÌ´Â °æ¿ìµµ ÀÖ½À´Ï´Ù. ÀÌ Áõ·Ê´Â SMTó·³ º¸¿´´ø °æ¿ìÀ̰í wedge resectionÀ¸·Î È®ÁøÇÒ ¼ö ÀÖ¾ú½À´Ï´Ù. ¼ö¼úÀü impressionÀº GIST¿´½À´Ï´Ù.
¿ëÁ¾Çü inflammatory fibrinoid polyp
¿ëÁ¾Çü inflammatory fibrinoid polyp
45¼¼ ³²ÀÚ (2018). Á¡¸·ÇÏÁ¾¾çÇü inflammatory fibrinoid polyp. Actin (-) S-100 (-) CD34 (+)
2016³â 109ȸ ³»½Ã°æÁý´ãȸ¿¡¼ ³ª¼ö¿µ ±³¼ö´Ô²²¼ ÀüÁ¤ºÎ »óÇÇÇÏ Á¾¾ç ¾ç»óÀÇ inflammatory fibrinoid polyp 2¿¹¸¦ ¼Ò°³ÇÏ¿´½À´Ï´Ù. c-kit À½¼º, s-100 À½¼º, CD34 ¾ç¼ºÀÌ ºñ±³Àû ƯÀÌÇÑ ¼Ò°ßÀ̶ó°í ÇÕ´Ï´Ù.
Gastric fundus¿¡¼µµ ¹ß»ýÇÒ ¼ö ÀÖ½À´Ï´Ù.
¿øÀÇ ÀüÁ¤ºÎ¿¡¼ ¹ß»ýÇÏ¿© ½ÊÀÌÁöÀå ÂÊÀ¸·Î herniationÀ» º¸ÀÎ Áõ·ÊÀÔ´Ï´Ù.
½ÊÀÌÁöÀå¿¡¼µµ ¹ß»ýÇÒ ¼ö ÀÖ½À´Ï´Ù.
 5. Gastric hamartomatous polyps in polyposis and non-polyposis
 5. Gastric hamartomatous polyps in polyposis and non-polyposis
1) In polyposis
Cowden syndrome¿¡¼ hamartomatous polyposis°¡ ¹ß»ýÇÕ´Ï´Ù.
2) In non-polyposis
ÀüÁ¤ºÎ Èĺ®, ³¯¹®¿¡ ´ê¾Æ¼ ¹Ù´ÚÀÌ ³ÐÀº °áÀýÇü ¿ëÁ¾ÀÔ´Ï´Ù. Á¶Á÷°Ë»ç¿¡¼ hyperplastic polyp ¼Ò°ßÀ¸·Î EMRÀ» ÇÏ¿´°í hamartomatous polypÀ¸·Î ³ª¿Ô½À´Ï´Ù.
Polyposis°¡ ¾Æ´Ñ gastric hamartoma´Â ¹«Ã´ º¸±â ¾î·Æ½À´Ï´Ù. ¹ÚÀç±Ù ¼±»ý´Ô²²¼ Á¤¸®ÇÑ ¹Ù¸¦ ¼Ò°³ÇÕ´Ï´Ù.
 6. Fundic gland polyp in PPI users
 6. Fundic gland polyp in PPI users
PPI »ç¿ë ÈÄ fundic gland polypÀÌ ¹ß»ýÇÑ ¿¹´Â Á¾Á¾ ¸¸³ª°Ô µË´Ï´Ù.
PPI¸¦ ²÷°í fundic gland polypÀÇ ¼ö°¡ °¨¼ÒÇÏ¿´´Ù´Â Áõ·Êº¸°íµµ ÀÖ½À´Ï´Ù. ¹ß»ý±âÀü¿¡ ´ëÇØ¼µµ Ãæ½ÇÈ÷ ¼³¸íµÇ¾î ÀÖ¾ú½À´Ï´Ù (±èÁø¼ö. ´ëÇѼÒȱâÇÐȸÁö 2008;51:305-308).
PPI¿Í °ü·ÃµÈ fundic gland polypÀÇ ÀÓ»óÀû ÀÇÀÇ´Â °ÅÀÇ ¾ø´Ù°í »ý°¢µË´Ï´Ù. ÀÛ°í Çѵΰ³¸é Á¶Á÷°Ë»ç·Î Á¦°ÅÇÒ ¼öµµ ÀÖ°í Á¶±Ý ´õ Å©¸é ¿ëÁ¾ÀýÁ¦¼ú·Î ½±°Ô ÇØ°áÇÒ ¼ö ÀÖ½À´Ï´Ù¸¸ ²À Á¦°ÅÇØ¾ß ÇÏ´ÂÁö Àǹ®ÀÔ´Ï´Ù.
Sessile hyperplatic polyp (1 year interval)
Fundic gland polyp, sporadic. ÀÚ¼¼È÷ º¸±â
Fundic gland polyp, sporadic
GERD·Î Àå±â°£ PPI standard dose¸¦ ¸ÅÀÏ º¹¿ëÇϰí ÀÖ´ø ºÐ¿¡¼ ¿ì¿¬È÷ ¹ß°ßµÈ polyp. Á¶Á÷°Ë»ç¸¦ ÇÏ¿´°í ±× °úÁ¤¿¡¼ polypÀº Á¦°ÅµÇ¾ú½À´Ï´Ù. º´¸®°á°ú´Â fundic gland polypÀ̾ú½À´Ï´Ù. PPI user¿¡¼ fundic gland polypÀÌ Á¾Á¾ ¹ß°ßµÇÁö¸¸ ±× ºóµµ´Â Àß ¾Ë·ÁÁ® ÀÖÁö ¾Ê½À´Ï´Ù. ÇÑ °¡Áö È®½ÇÇÑ °ÍÀº precancerous lesionÀº ¾Æ´Ï¶ó´Â °ÍÀÔ´Ï´Ù. º°´Ù¸¥ ÀÓ»óÀû ÀÇÀǰ¡ ¾ø´Ù°í »ý°¢Çصµ ¹«¹æÇÕ´Ï´Ù.
Fundic gland polyposis in FAP. À§Àú¼± ¿ëÁ¾Àº FAP ȯÀÚÀÇ 90%¿¡¼ ¹ß°ßµË´Ï´Ù. FAP ȯÀÚ°¡ ¾Æ´Ñ ÀϹÝÀο¡¼ ¿ì¿¬È÷ ¹ß°ßµÇ´Â ¼Ò¼öÀÇ »ê¹ßÀû À§Àú¼± ¿ëÁ¾Àº Àü¾Ï¼º º´¼Ò°¡ ¾Æ´Ï¹Ç·Î ¾Æ¹«·± Ä¡·áµµ ÇÊ¿äÇÏÁö ¾Ê½À´Ï´Ù. ±×¿¡ ¹ÝÇÏ¿© FAP ȯÀÚÀÇ À§Àú¼± ¿ëÁ¾Àº 40% Á¤µµ¿¡¼ ÀÌÇü¼ºÀ» º¸ÀÔ´Ï´Ù. Áï FAP ȯÀÚÀÇ À§Àú¼± ¿ëÁ¾Àº º´¸®ÇÐÀûÀÎ °üÁ¡¿¡¼ »ê¹ßÀûÀÎ À§Àú¼± ¿ëÁ¾°ú Â÷À̰¡ ÀÖ½À´Ï´Ù. FAP ȯÀÚ¿¡¼ À§Àú¼± ¿ëÁ¾ÀÇ ÀÌÇü¼ºÀÌ ¼±ÇàµÈ »óÅ¿¡¼ ÀÌÂ÷ÀûÀ¸·Î APC º¯À̰¡ ¹ß»ý½Ã¿¡´Â ¸Å¿ì µå¹°Áö¸¸ Àü¾Ï¼º º´¼Ò°¡ µÉ °¡´É¼ºµµ °¡Áö°í ÀÖ½À´Ï´Ù. ±×·¯³ª ±× ºóµµ´Â ¸Å¿ì ³·±â ¶§¹®¿¡ FAP¿¡¼ ¹ß°ßµÇ´Â À§Àú¼± ¿ëÁ¾¿¡ ´ëÇØ¼´Â Ưº°ÇÑ Ä¡·á¸¦ ÇÏÁö ¾Ê°í °æ°ú°üÂû¸¸À» ±ÇÇϰí ÀÖ½À´Ï´Ù.
FAP·Î total colectomy¸¦ ¹ÞÀ¸½Å ºÐÀÇ À§³»½Ã°æ¿¡¼ À§ÀúºÎ¿Í À§Ã¼ºÎ¿¡ ´Ù¹ß¼º ¿ëÁ¾ÀÌ ¹ß°ßµÇ¾ú½À´Ï´Ù. ÀüÇüÀûÀÎ fundic gland polyposisÀÔ´Ï´Ù. Á¶Á÷°Ë»ç¿¡¼ fundic gland polypÀ¸·Î ÆÇµ¶µÇ´Â °ÍÀÌ ´ç¿¬ÇϰÚÁö¸¸ °£È¤ hyperplastic polypÀ¸·Î ÆÇµ¶µÇ±âµµ ÇÕ´Ï´Ù. º´¸®ÆÇµ¶ °á°ú¿Í ¹«°üÇÏ°Ô ÀÌ·± °æ¿ì´Â fundic gland polyposis°¡ ¿Ç½À´Ï´Ù.
Retention polyp
Retention polyp
Hamartomatous polyp
Lympoid polyp
Herniated gastric mucosa in the submucosa
Hamartomatous inverted polyp (À§ Áõ·Ê 38)
Wedge resection: Inverted hyperplastic polyp with focal inflammatory myofibroblastic tumor-like stroma (1.3x1cm)
Hyperplastic polyp with focal high grade dysplasia
Serrated adenoma
EGC type 1
Gastritis cystica profunda (Âü°í: ESD·Î Á¦°ÅÇÑ gastritis cystica profunda 2022 »óºÎÀ§Àå°üÇÐȸÁö)
Perineurinoma (= benign fibroblastic polyp)
À§¿ëÁ¾ÀýÁ¦¼úÀ» ÇÏ·Á´Âµ¥ ȯÀÚ°¡ ±¦È÷ ÃéÀåÀÌ °ÆÁ¤µÈ´Ù°í CTµµ ÇÔ²² ó¹æÇØ ´Þ¶ó°í ¿äûÇϼ̽À´Ï´Ù. ±×·¡¼ À§¿ëÁ¾ÀýÁ¦¼ú ÈÄ CT¸¦ Âï¾ú´Âµ¥¿ä... ¿ì¿¬È÷ ¿ëÁ¾ÀýÁ¦¼ú ÀÚ¸® ÁÖº¯À¸·Î ÀÛÀº extraluminal air°¡ ÀÖ¾ú½À´Ï´Ù. ¿°Áõ ¼Ò°ßÀº ¾ø¾ú°í, ȯÀÚ¿¡°Ô ÀüÈ·Î È®ÀÎÇÏ¿´´Âµ¥ Áõ»óµµ ¾ø´Ù°í ÇÕ´Ï´Ù. ºñ´Ü ¿ëÁ¾ÀýÁ¦¼ú »Ó¸¸ ¾Æ´Ï°í Á¶Á÷°Ë»ç Á÷ÈÄ¿¡ CT¸¦ Âï¾îµµ °£È¤ extraluminal air°¡ ÀÖ´Ù°í ³ª¿À´Â °æ¿ì°¡ ÀÖ½À´Ï´Ù. ÀÓ»óÀû ÀÇÀÇ´Â ¾ø´Ù°í ÆÇ´ÜµË´Ï´Ù.
 8. Adenoma/carcinoma arising from hyperplastic polyp µî
 8. Adenoma/carcinoma arising from hyperplastic polyp µî
Hyperplastic polypÀ¸·Î »ý°¢Çϰí À§¿ëÁ¾ÀýÁ¦¼ú ÈÄ ¾ÏÀ̳ª ¼±Á¾À¸·Î ³ª¿Í ³î¶ó´Â °æ¿ì°¡ ÀÖ½À´Ï´Ù. 1cm ÀÌ»óÀÇ hyperplastic polypÀº Á¦°ÅÇÒ °ÍÀ» ±ÇÇϰí ÀÖ½À´Ï´Ù. (2021-7-16. ÀÌÁØÇà)
adenoma with HGD arising from hyperplastic polyp (2015)
À§°¢ºÎ °úÇü¼º ¿ëÁ¾À¸·Î 2³â¸¶´Ù ÃßÀû°üÂûÇÏ´ø Áß ÃÖ±Ù Á¶Á÷°Ë»ç¿¡¼ adenoma°¡ ³ª¿Í ÀÇ·ÚµÈ ºÐÀÔ´Ï´Ù.
Stomach, ESD:
Tubular adenoma with high grade dysplasia in hyperplastic polyp
1. Location : angle, lesser curvature
2. Gross type : elevated
3. Size of adenoma : (1) longest diameter, 12 mm (2) vertical diameter, 11 mm
4. Resection margin : negative resection margins(N)

Stomach, upper body, greater curvature, "1", polypectomy :
Tubular adenocarcinoma, poorly differentiated , arising in hyperplastic polyp
1) size of carcinoma: 0.2x0.2 cm
2) lymphatic invasion: not identified
3) perineural invasion: not identified
4) negative resection margins (0.4 cm apart from deep resection margin)

Stomach, antrum, greater curvature, polypectomy:
Focal mucosal carcinoma (signet ring cell carcinoma) associated with globoid dysplasia;
1) size of carcinoma: up to 2 mm
2) negative margin

ESD: Early gastric carcinoma
1. Location : antrum, greater curvature
2. Gross type : EGC type IIa
3. Histologic type : tubular adenocarcinoma, moderately differentiated
4. Histologic type by Lauren : intestinal
5. Size of carcinoma : (1) longest diameter, 8 mm (2) vertical diameter, 6 mm
6. Depth of invasion : invades mucosa (muscularis mucosa) (pT1a)
7. Resection margin : free from carcinoma(N), safety margin : distal 8 mm, proximal 4 mm, anterior 10 mm, posterior 12 mm, deep 500 §
8. Lymphatic invasion : not identified(N)
9. Venous invasion : not identified(N)
10. Perineural invasion : not identified(N)
11. Microscopic ulcer : absent
12. Histologic heterogeneity: absent
Á¶±Ý ÀÌ»óÇÑ °æ¿ìÀÔ´Ï´Ù. ¿ÜºÎ Á¶Á÷°Ë»ç¿¡¼ W/D adenocarcinoma·Î ³ª¿Í ÀÇ·ÚµÈ °æ¿ì·Î ESD¸¦ Çߴµ¥ ÃÖÁ¾ º´¸®°á°ú´Â hyperplatic polypÀÌ°í ¾ÏÀ¸·Î µÈ ºÎÀ§´Â ¾ø´Ù°í ³ª¿Ô½À´Ï´Ù. ¾Ï Áø´ÜÀ» ¾ø´ø ÀÏ·Î ÇÏ°í »êÁ¤ Ư·Ê¸¦ Ãë¼ÒÇÏ¿´½À´Ï´Ù.
Hyperplastic polypÀ¸·Î »ý°¢ÇÏ¿© one stage polypectomy ÈÄ ¾ÏÀÌ ³ª¿Í ÀǷڵǾú½À´Ï´Ù.
Stomach, polypectomy : ADENOCARCINOMA, WELL DIFFERENTIATED, arising in hyperplastic polyp;
1. Location : antrum, posterior wall
2. Gross type : EGC type IIa
3. Histologic type : tubular adenocarcinoma, well differentiated
4. Histologic type by Lauren : intestinal
5. Size of carcinoma : (1) longest diameter, 5 mm (2) vertical diameter, 4 mm
6. Depth of invasion : invades mucosa (lamina propria, muscularis mucosa) (pT1a)
7. Resection margin : free from carcinoma(N) safety margin
8. Lymphatic invasion : not identified(N)
9. Venous invasion : not identified(N)
10. Perineural invasion : not identified(N)
11. Microscopic ulcer : absent
12. Histologic heterogeneity: absent
Polypectomy pathology: tubular adenoma in the backtround of hyperplastic polyp
À§¿ëÁ¾ÀýÁ¦¼úÀ» À§ÇÏ¿© ÀÇ·ÚµÈ È¯ÀÚÀÔ´Ï´Ù. ´Ù½Ã °üÂûÇÏ´Ï ¿ëÁ¾ÀÇ base°¡ pyloric ring¿¡ À§Ä¡ÇÏ¿´´Âµ¥ ½ÊÀÌÁöÀåÂÊÀ¸·Î ¾à°£ Ä¡¿ìÄ£ ´À³¦À̾ú½À´Ï´Ù. ½ÊÀÌÁöÀå¿ëÁ¾À¸·Î ÆÇ´ÜµÇ¾ú°í ¿ëÁ¾ÀýÁ¦¼úÀ» ÇÏ¿´°í Brunner gland hamartoma·Î Áø´ÜµÇ¾ú½À´Ï´Ù.
[More duodenal polyps]
[2016-6-10. ¾Öµ¶ÀÚ Áú¹®]
±³¼ö´Ô ¾È³çÇϽʴϱî? ¿£µµÅõµ¥ÀÌ ¾Öµ¶ÀÚÀÔ´Ï´Ù.
°³ÀÎÀÇ¿ø¿¡¼ ´ëÀå ¿ëÁ¾ÀýÁ¦¼úÀº ¸¹ÀÌ ½ÃÇàµÇ´Â ¹Ý¸é, À§ ¿ëÁ¾ÀýÁ¦¼úÀº °³ÀÎÀÇ¿ø¿¡¼ Àß ½ÃÇàÇÏÁö ¾Ê°í, ´ëºÎºÐ ´ëÇк´¿øÀ¸·Î Àü¿øÇÏ´Â °ÍÀ¸·Î ¾Ë°í ÀÖ½À´Ï´Ù. ±× ÀÌÀ¯¸¦ Á¦°¡ ÁÖº¯ ÁöÀεéÀÇ ÀǰßÀ» ±¸Çغ¸°í ¶Ç »ý°¢ÇØ º» °á°ú·Î´Â (1) À§°¡ ´ëÀ庸´Ù arterial blood supply ¸¦ ¿©·¯ °÷¿¡¼ ¸¹ÀÌ ¹Þ±â ¶§¹®¿¡ artery pumping µî bleeding risk °¡ ´õ Å©°í, (2) À§³»½Ã°æÇÒ ¶§´Â ±¸¿ªÁú, Æ®·³ µîÀ» ÇÒ °æ¿ì ½Ã¼úÇÒ ¶§ À§ÇèÇÒ ¼ö ÀÖ°í, (3) À§»êÀÌ ÀÖÀ¸¹Ç·Î ½Ã¼ú ÈÄ iatrogenic ulcer °¡ »ý°Ü ÅëÁõÀÌ »ý±æ ¼ö ÀÖ¾î¼,(4) ´ëÀå¿ëÁ¾ÀýÁ¦¼úÀº ¸¹ÀÌ ÇØºÃÁö¸¸, À§¿ëÁ¾ÀýÁ¦¼úÀº ¸¹ÀÌ ÇØº¸Áö ¾Ê¾Æ¼ ¸·¿¬È÷ °ÌÀÌ ³ª¼ ÀÏ °Í °°Àºµ¥¿ä...... ±³¼ö´Ô²²´Â µÎ °¡Áö ¹®ÀǸ¦ µå¸³´Ï´Ù.
(1) ¸¸¾à ´ëÀå¿ëÁ¾ÀýÁ¦¼úÀÌ ¼÷´ÞµÈ ÀÇ»ç¶ó¸é, À§ ¿ëÁ¾ÀýÁ¦¼úÀ» °³ÀÎÀÇ¿ø¿¡¼ ÇØµµ µÈ´Ù°í »ý°¢ÇϽôÂÁö¿ä?
(2) °³ÀÎÀÇ¿ø¿¡¼ ´ëÀå¿ëÁ¾ÀýÁ¦¼úÀº ¸¹ÀÌ ÇØµµ À§¿ëÁ¾ÀýÁ¦¼úÀº Àß ÇÏÁö ¾Ê´Â ÀÌÀ¯°¡ ¹«¾ùÀÎÁö¿ä?
[2016-6-19. ÀÌÁØÇà ´äº¯]
ù¹øÂ° Áú¹®¿¡ ´ëÇÑ ´äº¯Àº ´ç¿¬È÷ YesÀÔ´Ï´Ù. ´ëÀå¿ëÁ¾ÀýÁ¦¼úÀÌ À§¿ëÁ¾ÀýÁ¦¼úº¸´Ù ¾î·Æ½À´Ï´Ù. ´ëÀå¿ëÁ¾ÀýÁ¦¼úÀ» Àß ÇϽô ºÐ¿¡°Ô À§¿ëÁ¾ÀýÁ¦¼úÀº ½¬¿î ÀÏÀÔ´Ï´Ù. ´À³¦ÀÌ Á¶±Ý ´Ù¸£Áö¸¸ Çѵιø ÇØº¸¸é ±Ý¹æ Â÷À̸¦ ¾Ë°Ô µË´Ï´Ù. µû¶ó¼ µÎ¹øÂ° Áú¹®¿¡ ´ëÇÏ¿© ´äÇϰڽÀ´Ï´Ù.
1. À§ ¿ëÁ¾Àº ´ëºÎºÐ Á¦°ÅÇÒ Çʿ䰡 ¾ø½À´Ï´Ù. ÀÛÀº sessile hyperplatic polypÀÌ ´ë´Ù¼öÀÔ´Ï´Ù. Àú´Â º¸Åë 2 cm Á¤µµ µÇ¾úÀ» ¶§ ¿ëÁ¾ÀýÁ¦¼úÀ» ±ÇÇÕ´Ï´Ù. Pedunculated polypÀ̳ª semi-pedunculated polypÀÇ °æ¿ì´Â ±×º¸´Ù ÀÛ´õ¶óµµ ȯÀÚ°¡ °·ÂÈ÷ ¿øÇÏ¸é ½Ã¼úÇϱ⵵ ÇÕ´Ï´Ù (¸»¸®´Â °Íº¸´Ù ½Ã¼ú ÇØ¹ö¸®´Â ÆíÀÌ °£´ÜÇϴϱî). ±×·¯³ª sessile polypÀº ¿©°£Çؼ´Â °Çµå¸®Áö ¾Ê½À´Ï´Ù. ¿ëÁ¾ÀýÁ¦¼úÀÌ ÇÊ¿äÇÏÁöµµ ¾Ê°í ¹«¸®Çؼ ½ÃµµÇϸé Á¦¹ý ÃâÇ÷ÀÌ ¸¹½À´Ï´Ù. Á¶Á÷°Ë»ç 1-2°³¸é Á·ÇÕ´Ï´Ù.
2. À§¿ëÁ¾ÀýÁ¦¼ú Àü Á¶Á÷°Ë»ç¸¦ ÇÏ´Â °ÍÀÌ ÁÁ½À´Ï´Ù. Áï Çѹø¿¡ ¸øÇÕ´Ï´Ù. Á¶Á÷°Ë»ç¸¦ ÇÏ°í ±× °á°ú¸¦ È®ÀÎÇÑ ÈÄ ½Ã¼úÇØ¾ß Çϱ⠶§¹®¿¡ °³¾÷°¡ ¾÷¹« flow·Î º¼ ¶§ ¹«Ã´ ºÒÆíÇÑ ÀÏÀÔ´Ï´Ù. ¹Ý¸é ´ëÀå¿ëÁ¾ÀýÁ¦¼úÀº Çѹø¿¡ ³¡³ª¹Ç·Î »ó´ëÀûÀ¸·Î °£´ÜÇÕ´Ï´Ù. Á¶Á÷°Ë»ç°¡ ÇÊ¿äÇÑ ÀÌÀ¯´Â ÀÏÀü¿¡ ¼³¸íµå¸° ¹Ù ÀÖ½À´Ï´Ù. Á¶¿ëÇØ º¸¿©µµ °£È¤ ¾ÏÀÏ ¼ö Àֱ⠶§¹®ÀÔ´Ï´Ù. ¾Æ·¡¿¡ ´Ù½Ã ¿Å±é´Ï´Ù (Ãâó: EndoTODAY Á¶Á÷°Ë»ç).
Ä¡·á³»½Ã°æ Àü¿¡µµ Á¶Á÷°Ë»ç´Â ÇÊ¿äÇÕ´Ï´Ù. Á¶Á÷°Ë»ç¸¦ ÇÏÁö ¾Ê°í ¹Ù·Î Ä¡·á¿¡ µé¾î°¬À» ¶§ ¾î¶°ÇÑ °á°ú°¡ ³ª¿Ã ¼ö ÀÖ´ÂÁö¸¦ Áõ·Ê¸¦ ÅëÇÏ¿© ¸»¾¸µå¸®°Ú½À´Ï´Ù. À§¿ëÁ¾ÀýÁ¦¼ú ÈÄ ÀÇ·ÚµÈ È¯ÀÚÀÔ´Ï´Ù. ÀüÁ¤ºÎÀÇ Yamada type III ¿ëÁ¾¿¡ ´ëÇÏ¿© ¿ëÁ¾ÀýÁ¦¼úÀÌ ½ÃÇàµÇ¾ú½À´Ï´Ù. »çÀü¿¡ Á¶Á÷°Ë»ç°¡ ½ÃÇàµÇÁö´Â ¾Ê¾Ò´ø °Í °°½À´Ï´Ù.
±×·±µ¥ ¿ëÁ¾ÀýÁ¦¼ú º´¸®°á°ú°¡ ¿¹»ó¹ÛÀ¸·Î ³ª¿Ô½À´Ï´Ù. Á¦ 1Çü Á¶±âÀ§¾ÏÀ̾ú°í multiple lateral margin positive¿´½À´Ï´Ù.
¿ÏÀüÀýÁ¦°¡ µÇÁö ¸øÇÑ »óȲÀ̾ú°í ÀÏÁÖÀÏ ÈÄ ÃßÀû ³»½Ã°æ Á¶Á÷°Ë»ç¿¡¼ residual cancer°¡ È®ÀεǾî Å« º´¿øÀ¸·Î ÀǷڵǾú½À´Ï´Ù. Á¶Á÷°Ë»ç¸¦ ÅëÇÑ Á¶Á÷Áø´ÜÀ» ÇÏÁö ¾Ê°í Ä¡·á¸¦ ÇÏ¿´À» ¶§¿¡´Â Á¾Á¾ ÀÌ¿Í °°Àº ¾ÈŸ±î¿î °á°ú°¡ ¹ß»ýÇÕ´Ï´Ù. ÀÌ Á¤µµÀÇ ¿ëÁ¾Àº Á¶Á÷°Ë»ç·Î È®ÀÎÇÑ ÈÄ Ä¡·á¿¡ µé¾î°¡´Â °ÍÀÌ ¸Â´Ù°í »ý°¢ÇÕ´Ï´Ù. ºü¸¥ Ä¡·áº¸´Ù´Â ¹Ù¸¥ Ä¡·á°¡ ´õ Áß¿äÇϱ⠶§¹®ÀÔ´Ï´Ù.
¸¸¾à Á¶Á÷°Ë»ç¸¦ ÅëÇÏ¿© »çÀü¿¡ ¾ÏÀ̶ó´Â »ç½ÇÀ» ¾Ë¾Ò´õ¶ó¸é ¾î¶°ÇÑ Â÷À̰¡ ÀÖ¾úÀ»±î¿ä? ÀÌ Áõ·Ê´Â ÀüÁ¤ºÎ ¼Ò¸¸ÀÇ °úÇü¼º ¿ëÁ¾À» ÀǽÉÇÏ¿´Àºµ¥ Á¶Á÷°Ë»ç¿¡¼ ºÐȰ¡ ÁÁÀº À§¼±¾ÏÀ¸·Î ³ª¿Ô½À´Ï´Ù.
À§¾Ï ³»½Ã°æÄ¡·áÀÇ ÀϹÝÀûÀÎ ¿øÄ¢À» ÁöÄѼ ÃæºÐÇÑ resection marginÀ» È®º¸Çϸç one piece resectionÀ» ÇÏ¿´½À´Ï´Ù. ÃÖÁ¾ º´¸®°á°ú¿¡¼ ¿ÏÀüÀýÁ¦·Î È®ÀεǾú½À´Ï´Ù. Á¶Á÷°Ë»ç°¡ ÀÖ¾ú´ÂÁö ¾ø¾ú´ÂÁö¿¡ µû¶ó¼ ÀÌó·³ Å« Â÷À̰¡ ¹ß»ýÇÒ ¼ö ÀÖ½À´Ï´Ù. Áö±Ý±îÁö Á¶Á÷°Ë»çÀÇ Á߿伺¿¡ ´ëÇÏ¿© ¸»¾¸À» µå·È½À´Ï´Ù.
3. Á¦¹ý ÇÕº´ÁõÀÌ ¸¹½À´Ï´Ù. ÃâÇ÷ ¸»ÀÔ´Ï´Ù. ÀýÁ¦¼ú Á÷ÈÄ ¹Ù·Î ÁöÇ÷¼úÀ» ÇØ¾ß ÇÏ´Â °æ¿ìµµ ÀÖ°í Áö¿¬ ÃâÇ÷µµ ÀÖ½À´Ï´Ù. À̸¦ ¿¹¹æÇϱâ À§ÇÏ¿© ȤÀº ¾Æ¹« °Íµµ ¾È Çß´Ù´Â ºñ³À» ÇÇÇϱâ À§ÇÏ¿© PPI ȤÀº H2RA¸¦ Åõ¿©ÇÕ´Ï´Ù (´ëÀå¿¡¼´Â Åõ¾àÀÌ ÇÊ¿äÇÏÁö ¾Ê½À´Ï´Ù). ¶Ç ´Ù¸¥ Ãø¸éµµ ÀÖ½À´Ï´Ù. ÃâÇ÷ÀÌ ¹ß»ýÇϸé ȯÀÚ¿¡°Ô ¹ÌÄ¡´Â Á¤½ÅÀû Ãæ°ÝÀÌ ÀüÇô ´Ù¸¨´Ï´Ù. ÇǶËÀ» ½Î´Â °Í°ú ÇǸ¦ ÅäÇÏ´Â °ÍÀº ÀüÇô ´Ù¸¥ °æÇèÀÔ´Ï´Ù.
4. ¼ö°¡°¡ ÇüÆí¾ø½À´Ï´Ù. »ç½Ç ÀÌ°Ô °¡Àå Áß¿äÇÑ ÀÌÀ¯ÀÏ ¼ö ÀÖ½À´Ï´Ù. ¾Æ½Ã´Ù½ÃÇÇ ¼ö ³â Àü ´ëÀå¿ëÁ¾ÀýÁ¦¼ú ¼ö°¡°¡ »óÇâÁ¶Á¤µÇ¾ú½À´Ï´Ù (¹°·Ð ±×·Î ÀÎÇÑ ºÎÀÛ¿ëµµ ¸¹¾Ò½À´Ï´Ù). À§´Â ¾Æ´Õ´Ï´Ù. À§¿ëÁ¾ÀýÁ¦¼úÀº ¾ÆÁ÷ 500¿øÂ¥¸® Â¥Àå¸éÀÔ´Ï´Ù.
[2016-6-24. ¾Öµ¶ÀÚ Áú¹®]
Colon ¿¡¼ pedunculated polyp À» polypectomy ¸¦ ÇÒ ¶§, base±îÁö ¿ÏÀüÈ÷ ÀýÁ¦ÇÏÁö ¸»°í, stalk À» ³²°Ü µÎ¾î¾ß, bleeding ÇÒ¶§, clip À¸·Î Ä¡·áÇÒ ¼ö µµ ÀÖÀ¸¹Ç·Î, stalk À» 2ºÐÀÇ 1 ¶Ç´Â 3ºÐÀÇ 2 Á¤µµ ³²°ÜµÎ¶ó´Â ¸»¾¸À» ¾î¶² ±³¼ö´ÔÀÇ ÇÐȸ °ÀÇ¿¡¼ µé¾ú¾ú½À´Ï´Ù.
Á¦ °æÇèÀ¸·Îµµ stalk À» ³²°Ü µÐä·Î polypectomy¸¦ ÇßÀ»¶§, º´¸® report ¿¡¼´Â adenoma, resection margin free ·Î ³ª¿Ô´ø ÀûÀÌ ¸î¹ø ÀÖ½À´Ï´Ù.
Stalk ÀÌ ³²¾Æ À־ resection margin free ÀÎ °ÍÀ» º¸´Ï, stalk Àº dysplasia °¡ ¾ø´Â normal tissue ÀÎÁö ±Ã±ÝÇÏ¿© ¹®Àǵ帳´Ï´Ù.
[2016-7-9. ÀÌÁØÇà ´äº¯]
Pedunculated polypÀº óÀ½ºÎÅÍ pedunculated polypÀÌ ¾Æ´Õ´Ï´Ù. óÀ½Àº sessile polypÀ¸·Î ½ÃÀÛÇÕ´Ï´Ù. Á¡Â÷ polypÀÌ Ä¿Áö¸é À§Àå°ü ¿¬µ¿¿îµ¿ÀÇ ¿µÇâÀ» ¹Þ¾Æ Á¡Â÷ ´Ã¾î³ª°Ô µË´Ï´Ù. ¿ëÁ¾ ¾Æ·¡ºÎºÐÀÇ Á¡¸·ÀÌ Á¶±Ý¾¿ ´Ã¾î³ª °á°ú peduculated polypÀÌ µÇ´Â °ÍÀÌÁö¿ä. Peduculated polypÀÇ head ºÎºÐÀº °úÇü¼º¿ëÁ¾, ¼±Á¾, ¾Ï µîÀÌÁö¸¸ neck ºÎºÐÀº ´Ã¾î³ Á¤»ó Á¶Á÷ÀÔ´Ï´Ù. ¸¶Ä¡ ȤºÎ¸® ¿µ°¨ÀÇ È¤Ã³·³ Âß ´Ã¾îÁø °á°ú peduculated polypÀÌ µÇ´Â °ÍÀÔ´Ï´Ù.
¸Å³â °üÂûÇÏ¿´°í Á¶±Ý¾¿ ¸ð¾çÀÌ º¯ÇÔ. Yamada type III°¡ µÇ¾î ¿ëÁ¾ÀýÁ¦¼ú ½ÃÇàÇÔ.
[2019-7-4. Information]
BL829002 Colorectal Cancer, Polyposis Panel ÀÌ ½Å¼³µÇ¾î °øÁö µå¸³´Ï´Ù.
1) ÀûÀÀÁõ
- 30°³ ÀÌ»óÀÇ polypÀÌ ¹ß°ßµÇ´Â polyposis ȯÀÚ
- BethesdaȤÀº amsterdam criteria¿¡ ÇØ´çµÇ¾î À¯Àü´ëÀå¾ÏÀÌ ÀǽɵǴ ȯÀÚ2) ¹æ¹ý: candidate À¯ÀüÀÚ¿¡ ´ëÇÑ NGS (next generation sequencing) ½Ç½Ã - °Ë»ç ¼Ò¿ä½Ã°£ 2´Þ
- Lynch: MLH1, MSH2, MSH6, PMS2, EPCAM,
- adenomatous polyposis AD : APC, POLE, POLD1, AR: MUTHY, NTHL1, MSH3
- Peutz-jegher SD: STK11
- Juvenile polyposis: SMAD4, BMPR1A,
- PTEN hamartoma tumor: PTEN
- mixed polyposis : GREM1
- serrated polyposis: RNF43,
- non-polyposis early CRC: POLE2, BRCA2, BRIP1, TP53ºñ¿ë (2023³â ÇöÀç): 1,014,403¿øÀÇ 50% (ÃÆ®¿¡ °Ë»ç »çÀ¯ ±â¼ú ÇÊ¿ä, ¿©·¯ »óȲ¿¡¼ º»Àκδã·üÀÌ ´Þ¶óÁü)
*Âü°í APC mutation 706,511¿ø / STK11 mutation 308,347¿øGI ÆÄÆ® ±³¼ö´Ôµé²²¼ polyposis ȯÀÚ°¡ ¹ß°ßµÇ´Â °æ¿ì À¯¿ëÇÏ°Ô »ç¿ëµÇ½Ç ¼ö ÀÖÀ» °ÍÀ¸·Î »ý°¢µÇ¸ç, À¯ÀüÀû ¼ºÇâÀÌ °·ÂÈ÷ ÀǽɵǴ ´ëÀå¾ÏÀÌ ¹ß°ßµÇ´Â °æ¿ì À¯¿ëÇÏ°Ô »ç¿ëµÉ ¼ö ÀÖÀ» °ÍÀ¸·Î »ý°¢µË´Ï´Ù.
[2021-12-9. ¾Öµ¶ÀÚ Áú¹®]
±³¼ö´Ô. ¾È³çÇϽʴϱî. Áö¹æ °ÇÁø ¼¾ÅÍ¿¡¼ ±Ù¹«ÇÏ´Â XXXÀ̶ó°í ÇÕ´Ï´Ù. À§¿ëÁ¾¿¡ ´ëÇÑ ±Ã±ÝÁõÀÌ ÀÖ¾î ¹®ÀÇ µå·Á º¾´Ï´Ù.
À§¿¡¼ °üÂûµÇ´Â ¿ëÁ¾Àº ²À Á¶Á÷ °Ë»ç¸¦ ÇØ¾ß ÇÏ´Â °ÍÀÎÁö¿ä? Àú´Â ¾ÏÀÌ Àǽɵǰųª ¾ÏÀÌ ¾Æ´Ï¾îµµ(¾ÏÀ» ¹èÁ¦Çϱâ À§Çؼ) ¿ëÁ¾ ÀýÁ¦¼úÀ» ÀÇ·ÚÇϱâ À§ÇÑ ¸ñÀûÀ¸·Î À§ ¿ëÁ¾¿¡ ´ëÇÑ Á¶Á÷ °Ë»ç¸¦ ÇÕ´Ï´Ù. HP³ª fundic gland polypó·³ ³Ê¹« »·ÇÏ°Ô º¸ÀÌ´Â À§ ¿ëÁ¾µéÀº ±ÙÁ¢ »çÁøÀº ³²°ÜµÎ°í Á¶Á÷ °Ë»ç´Â ÇÏÁö ¾ÊÀº ä ³ª¿À°ï ÇÕ´Ï´Ù.
±×·±µ¥ ÃßÈÄ¿¡ °ËÁø °á°ú¸¦ µè±â À§ÇØ Àç³»¿ø ÇÏ¿´À» ¶§ (°á°ú´Â ³»°ú ¿Ü·¡¿¡¼ µè½À´Ï´Ù) ¿ëÁ¾¿¡ ´ëÇÑ Á¶Á÷ °Ë»ç¸¦ ÇÏÁö ¾Ê¾Ò´Ù°í ȸ¦ ³»½Ã´Â ºÐµµ °è½Ã°í °í¼ÒÇÑ´Ù°í ¾öÆ÷¸¦ ³õ°í °¡½Å ºÐµµ °è¼Ì½À´Ï´Ù. ´ëÀå¿¡¼µµ S-colon ÀÌÇÏ¿¡¼ º¸ÀÌ´Â ÀÛÀº HP´Â ±»ÀÌ Á¦°ÅÇÏÁö ¾Ê´Â´Ù°í ¾Ë°í ÀÖ°í À§ ¿ëÁ¾Àº ´ëÀå ¿ëÁ¾°ú ÀÓ»óÀû Àǹ̰¡ ¸¹ÀÌ ´Ù¸£´Ù°í ¼³¸íÇϴµ¥ Á¦°¡ À߸ø ¾Ë°í ÀÖ´Â °ÍÀϱî¿ä? ±×·¸´Ù°í ÇØ¼ º¸ÀÌ´Â ¹Ì¶õÀ̳ª ¹ßÀû, ¿ëÁ¾ ¸ðµÎ¸¦ Á¶Á÷ °Ë»çÇØ¾ß ÇÏ´Â °ÍÀÎÁö ÃÖ±Ù ¸¹ÀÌ È¥¶õ½º·¯¿ö µµ¿òÀ» Ã»ÇØ º¾´Ï´Ù.
[2021-12-10. ÀÌÁØÇà ´äº¯]
ÁÁÀº Áú¹® °¨»çÇÕ´Ï´Ù. ¿ì¸®³ª¶ó¿¡¼ À§³»½Ã°æ Á¶Á÷°Ë»çÀÇ ÀûÀÀÁõÀº Á¤¸³µÇ¾î ÀÖÁö ¾Ê½À´Ï´Ù. ±× °á°ú Á¶Á÷°Ë»ç¸¦ ³Ê¹« ¸¹ÀÌ ÇϽô ºÐµµ °è½Ã°í ³Ê¹« Àû°Ô ÇϽô ºÐµµ °è½Ê´Ï´Ù. ´©°¡ ¿Ç°í ±×¸£°íÀÇ ¹®Á¦´Â ¾Æ´Ï°í Ç¥ÁØÈ°¡ µÇ¾î ÀÖÁö ¾Ê´Ù´Â ÀǹÌÀÔ´Ï´Ù. ±³À° ÈÆ·ÃÀÌ ºÎÁ·ÇÏ´Ù´Â ¸»°ú °°½À´Ï´Ù. ÀϺ»¿¡¼´Â °ÇÁø ³»½Ã°æ¿¡¼ Á¶Á÷°Ë»ç¸¦ ³Ê¹« ¸¹ÀÌ ÇÏÁö ¾Êµµ·Ï Áö¹æÁ¤ºÎ Â÷¿ø¿¡¼ ¸ð´ÏÅ͸µÀ» Çϱ⵵ ÇÕ´Ï´Ù. Á¶Á÷°Ë»ç¸¦ ¸¹ÀÌ ÇÏÁö ¾Ê°íµµ °ÇÁøÀÇ ¸ñÀûÀ» ´Þ¼ºÇϱâ... ¹¹ ±× Á¤µµ¶ó°í ÀÌÇØÇÏ½Ã¸é µË´Ï´Ù. À°¾È ¼Ò°ßÀ¸·Î guessÇÏ´Â ÈÆ·ÃÀ» ¸¹ÀÌ Çϸé, ¾ÆÁÖ ¸¹ÀÌ Çϸé Á¶Á÷°Ë»ç¸¦ ÁÙÀÏ ¼ö ÀÖ´Ù´Â ÀǹÌÀ̱⵵ ÇÕ´Ï´Ù.
À§¿¡¼ °üÂûµÇ´Â ¿ëÁ¾À» ²À Á¶Á÷ °Ë»ç¸¦ ÇØ¾ß ÇÏ´Â °ÍÀº ¾Æ´Õ´Ï´Ù. ¼±»ý´Ô ¸»Ã³·³ "¾ÏÀÌ Àǽɵǰųª ¾ÏÀÌ ¾Æ´Ï¾îµµ(¾ÏÀ» ¹èÁ¦Çϱâ À§Çؼ) ¿ëÁ¾ ÀýÁ¦¼úÀ» ÀÇ·ÚÇϱâ À§ÇÑ ¸ñÀûÀ¸·Î À§ ¿ëÁ¾¿¡ ´ëÇÑ Á¶Á÷ °Ë»ç"¸¦ ÇÏ¸é µË´Ï´Ù. ÀÛÀº hyperplastic polypÀ̳ª fundic gland polypó·³ ³Ê¹« »·ÇÏ°Ô º¸ÀÌ´Â À§ ¿ëÁ¾µéÀº ±ÙÁ¢ »çÁøÀº ³²°ÜµÎ°í Á¶Á÷ °Ë»ç´Â ÇÏÁö ¸»ÀÚ´Â °ÍÀº ÁÁÀº Á¤Ã¥ÀÔ´Ï´Ù. ´Ù¸¸ óÀ½ ¹ß°ßµÇ¾úÀ» ¶§¿¡´Â Á¶Á÷°Ë»ç¸¦ ÇÏ´Â °Íµµ °í·ÁÇϽñ⠹ٶø´Ï´Ù.
"¿ëÁ¾¿¡ ´ëÇÑ Á¶Á÷ °Ë»ç¸¦ ÇÏÁö ¾Ê¾Ò´Ù°í ȸ¦ ³»½Ã´Â ºÐ"µµ ³ª¸§ÀÇ ÀÔÀåÀÌ ÀÖ°ÚÀ¸³ª ´Ù¸¥ ÀÇ·áÁøÀÇ °ßÇØ¸¦ Á¸ÁßÇϴ ŵµ°¡ ´õ ÁÁÀ» °Í °°½À´Ï´Ù. "°í¼ÒÇÑ´Ù´Â ¾öÆ÷"´Â ¹«½ÃÇÏ¸é µË´Ï´Ù. ÀÇÇÐÀû ÆÇ´ÜÀÇ À̽´ÀÌÁö ¹ý·üÀû ´ÙÅùÀÇ ´ë»óÀº ¾Æ´Õ´Ï´Ù.
¿ì¸®³ª¶ó¿¡¼ ³»½Ã°æÀ» °¡¸£Ä¡°í ¹è¿ì´Â ¹æ½ÄÀº ¹«Ã´ ÈÄÁøÀûÀÔ´Ï´Ù. ü°èÀûÀÎ ±³À°, ÈÆ·Ã, Åä·Ð, ¿¬±¸°¡ ¾ø°í ´Ùµé Á¦¸Ú´ë·Î °Ë»çÇÏ°í ³²À» Å¿ÇÏ´Â ¼öÁØÀÔ´Ï´Ù. Çϳª¾¿ Çϳª¾¿ ¹ßÀü½ÃÄÑ¾ß ÇϰڽÀ´Ï´Ù. ±³À°,ÈÆ·ÃÀ» ÅëÇÑ ÁúÇâ»ó ³ë·ÂÀÌ Àý½ÇÇÕ´Ï´Ù.
[2025-6-24] ¸ñÀÌ ±½Àº ¿ëÁ¾ ÀýÁ¦¼ú¿¡ detachable snare¸¦ Àâ¾ÆÁØ ÈÄ ±× À§¸¦ ÀýÁ¦ÇÏ´Â ¹æ¹ýÀ» »ç¿ëÇÒ ¼ö ÀÖ½À´Ï´Ù.
1) The pathology of gastric and duodenal polyps: current concepts Histopathology 2021;78:106
3) ¿ëÁ¾ÀýÁ¦¼ú µµ±¸. ¼º°á ±³¼ö´Ô
4) ¿ëÁ¾Áõ Æú¸³ÁõÈıº polyposis syndrome - ³»½Ã°æ¼¼¹Ì³ª °ÀÇ·Ï. ÀÓÁ¾ÇÊ. PDF 0.7M
5) Hamartomatous polyposis syndrome (PDF)
6) MUTYH °ü·Ã Æú¸³Áõ MUTYH associated polyposis (2023³â 8¿ù ³»½Ã°æÇÐȸ ±³À°ÀÚ·á)
7) Gastric polyps and dysplasia Paul J Kelly and Gregory Y Lauwers. PDF
 © ÀÏ¿ø³»½Ã°æ±³½Ç ¹Ù¸¥³»½Ã°æ¿¬±¸¼Ò ÀÌÁØÇà. EndoTODAY Endoscopy Learning Center. Lee Jun Haeng.
 © ÀÏ¿ø³»½Ã°æ±³½Ç ¹Ù¸¥³»½Ã°æ¿¬±¸¼Ò ÀÌÁØÇà. EndoTODAY Endoscopy Learning Center. Lee Jun Haeng.