Home | EndoTODAY | EndoATLAS

Beginner | ESA | Schedule | OPD

Seminars | Atlas | Recent | Links

EndoTODAY ³»½Ã°æ ±³½Ç


[À§Àú¼±¿ëÁ¾°ú À§Àú¼±¿ëÁ¾Áõ. Fundic gland polyp and fundic gland polyposis] - ðû

[¹Ù»Û ºÐµéÀ» À§ÇÑ ¿ä¾à]

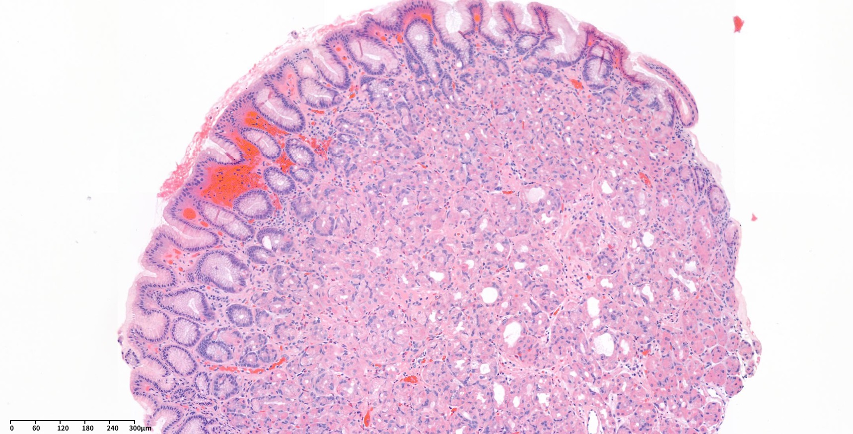
À§Àú¼±¿ëÁ¾(fundic gland polyp)Àº À§»êºÐºñÁ¡¸· (oxyntic mucosa)¿¡¼­ ¹ß»ýÇÏ´Â ÀÛ°í ºÎµå·´°í Åõ¸íÇÑ ¹«°æ¼º ȤÀº ªÀº À¯°æ¼º ¿ëÁ¾ÀÌ´Ù. Ç︮ÄÚ¹ÚÅÍ °¨¿°ÀÌ ¾ø´Â ȯÀÚ¿¡¼­ ÀÚÁÖ ¹ß°ßµÇ¸ç, PPI³ª PCAB »ç¿ë ȯÀÚ¿¡¼­µµ ¹ß»ýÇÒ ¼ö ÀÖ´Ù. ´Üµ¶, ´Ù¹ß¼º, ¿ëÁ¾Áõ ¸ðµÎ °¡´ÉÇÏ´Ù. °¡Á·¼º¼±Á¾¼º¿ëÁ¾Áõ (familial adenomatous polyposis, FAP) ȯÀÚÀÇ 80-90%¿¡¼­ À§Àú¼± ¿ëÁ¾(Áõ)ÀÌ ¹ß°ßµÇ¸ç ÀÌÇü¼ºÀÌ µ¿¹ÝµÉ ¼ö ÀÖ´Ù. µû¶ó¼­ 40¼¼ ¹Ì¸¸ÀÇ È¯ÀÚ¿¡¼­ ´Ù¼öÀÇ À§Àú¼±¿ëÁ¾ÀÌ Àְųª Á¶Á÷°Ë»ç¿¡¼­ ÀÌÇü¼º(dysplasia)À» º¸À̸é FAP °¡´É¼ºÀ» °í·ÁÇÏ¿© ´ëÀå³»½Ã°æ °Ë»ç¸¦ ±ÇÇÏ´Â °ÍÀÌ ÁÁ´Ù.

À§Àú¼±¿ëÁ¾À» óÀ½ ¹ß°ßÇÑ °æ¿ì ÀüÇüÀûÀÎ ³»½Ã°æ ¼Ò°ßÀ» º¸À̸é Á¶Á÷°Ë»ç¸¦ ½ÃÇàÇÏÁö ¾ÊÀ» ¼ö ÀÖ´Ù. ´Ù¼öÀÇ ¿ëÁ¾ÀÌ º¸ÀÌ¸é ´ëÇ¥ÀûÀÎ ¿ëÁ¾¿¡¼­ Á¶Á÷°Ë»ç¸¦ ½ÃÇàÇÏ¿© º´¸®ÇÐÀû È®ÁøÀ» ÇÏ´Â °ÍÀÌ ÁÁ´Ù. À§Àú¼±¿ëÁ¾Àº Á¶Á÷ÇÐÀûÀ¸·Î À§Àú»ùÀÇ Áõ½Ä°ú ¼Ò³¶Çü¼ºÀÌ¸ç ¿°Áõ¼¼Æ÷ÀÇ Ä§À±Àº °ÅÀÇ ¾ø´Ù. FAP ȯÀÚ¿¡¼­ ¹ß»ýÇÑ À§Àú¼±¿ëÁ¾Áõ¿¡¼­´Â ÀÌÇü¼º(dysplasia)ÀÌ 25%±îÁö ¹ß°ßµÉ ¼ö ÀÖÁö¸¸, FAP°¡ ¾Æ´Ñ ȯÀÚÀÇ À§Àú¼±¿ëÁ¾¿¡¼­ ÀÌÇü¼ºÀº ¸Å¿ì µå¹°´Ù (1% ¹Ì¸¸). Å©±â°¡ 1-2 cm ÀÌ»óÀÎ °æ¿ì, ¸ð¾çÀÌ ´Ù¸¥ ¿ëÁ¾°ú ´Ù¸¥ °æ¿ì, ¹Ì¶õÀ̳ª ±Ë¾çÀÌ µ¿¹ÝµÈ °æ¿ì, ÀüÁ¤ºÎ¿¡¼­ ¹ß»ýÇÑ °æ¿ì¿¡´Â ¿ëÁ¾ÀýÁ¦¼úÀ» ½ÃÇàÇÏ´Â °ÍÀÌ ÁÁ´Ù. PPI³ª PCAB »ç¿ëÀÚ¿¡¼­ ¹ß°ßµÈ À§Àú¼±¿ëÁ¾¿¡¼­ ÀÌÇü¼ºÀÌ ¹ß»ýÇÑ °æ¿ì´Â °ÅÀÇ ¾øÀ¸¹Ç·Î ÀÓ»óÀû ÀÇÀÇ´Â ÀûÁö¸¸ PPI³ª PCABÀ» ²÷°Å³ª ¿ë·®À» ÁÙÀÌ·Á´Â ³ë·ÂÀÌ ÇÊ¿äÇÏ´Ù.


FAP°¡ ¾Æ´Ñ ȯÀÚÀÇ fundic gland polyposis

Fundic gland polyp

¼ÒÈ­±âÇÐȸ ±³À°ÀÚ·á (¹Îº´ÈÆ ±³¼ö´Ô, 2014)

Histopathology 2021

1. Introduction

2. FAP ȯÀÚÀÇ À§Àú¼± ¿ëÁ¾

3. FAP°¡ ¾Æ´Ñ ȯÀÚÀÇ isolated fundic gland polyp(s)

4. FAP°¡ ¾Æ´Ñ ȯÀÚÀÇ fundic gland polyposis

5. PPI/PCAB »ç¿ëÇϴ ȯÀÚÀÇ À§Àú¼±¿ëÁ¾(Áõ)

6. ÀÌÁØÇà ¿Ü·¡¼³¸í¼­ Áß À§Àú¼± ¿ëÁ¾ ºÎºÐ

7. Fundic gland polyp¿¡¼­ ¾ÏÀÌ ¹ß»ýÇÒ ¼ö Àִ°¡?

8. Fundic gland type adenocarcinoma

9. FAQs

10. References


1. Introduction

ÇÑ ±³°ú¼­¿¡ ½Ç¸° fundic gland polyp¿¡ ´ëÇÑ ¼³¸íÀÔ´Ï´Ù.

¸î Áõ·ÊÀÇ º´¸® ¼Ò°ßÀÔ´Ï´Ù.

Fundic gland polyp¿¡¼­ ´ëÀå³»½Ã°æÀ» ½ÃÇàÇÑ ¿¬±¸°¡ ÀÖ¾ú´Âµ¥ negative data¿´½À´Ï´Ù.

APC gene mutation study¸¦ ÇØ º¸¸é ´õ ÁÁ°ÚÁö¸¸ ºñ¿ë¹®Á¦·Î ºÒ°¡´ÉÇÕ´Ï´Ù. »ç½Ç ²À ÇÊ¿äÇÑ °Íµµ ¾Æ´Õ´Ï´Ù.

Fundic gland polyp(osis)Àº Helicobacter pylori °¨¿°ÀÌ ¾ø´Â »ç¶÷¿¡¼­ ¹ß»ýÇÕ´Ï´Ù. Helicobacter °¨¿°ÀÚ¿¡¼­´Â °ÅÀÇ ¹ß»ýÇÏÁö ¾Ê½À´Ï´Ù. Áï Helicobacter °¨¿°°ú À½ÀÇ »ó°ü°ü°è°¡ ÀÖ½À´Ï´Ù. Helicobacter Á¦±Õ ÈÄ ¹ß»ýÇϱ⵵ ÇÕ´Ï´Ù. ¿øÀÎÀº ¸ð¸¨´Ï´Ù.

¿ëÁ¾Áõ (polyposis)ÀÇ Á¤ÀÇ´Â ¸íÈ®ÇÏÁö ¾Ê½À´Ï´Ù. ÇÑ Àå±â¿¡ ´Ù¼öÀÇ ¿ëÁ¾ÀÌ ÀÖÀ» ¶§ ¿ëÁ¾ÁõÀ̶ó°í ºÎ¸¦ ¼ö ÀÖÀ¸³ª ¸î °³ ÀÌ»óÀ̶ó´Â ±âÁØÀº ¾ø½À´Ï´Ù. 10-20°³ À̻󿡼­ ¿ëÁ¾ÁõÀ̶ó°í ºÎ¸£´Â °æÇâÀÔ´Ï´Ù. ¾Æ·¡´Â À̼±¿µ ±³¼ö´Ô²²¼­ Á¤¸®ÇÑ ³»¿ëÀÔ´Ï´Ù.


2. FAP ȯÀÚÀÇ À§Àú¼± ¿ëÁ¾

À§Àú¼± ¿ëÁ¾Àº familial adenomatous polyposis (FAP) ȯÀÚÀÇ 90%¿¡¼­ ¹ß°ßµË´Ï´Ù. FAP ȯÀÚ°¡ ¾Æ´Ñ ÀϹÝÀο¡¼­ ¿ì¿¬È÷ ¹ß°ßµÇ´Â ¼Ò¼öÀÇ »ê¹ßÀû À§Àú¼± ¿ëÁ¾Àº Àü¾Ï¼º º´¼Ò°¡ ¾Æ´Ï¹Ç·Î ¾Æ¹«·± Ä¡·áµµ ÇÊ¿äÇÏÁö ¾Ê½À´Ï´Ù. ±×¿¡ ¹ÝÇÏ¿© FAP ȯÀÚÀÇ À§Àú¼± ¿ëÁ¾Àº 30-40% Á¤µµ¿¡¼­ ÀÌÇü¼ºÀ» º¸Àδٴ À̾߱Ⱑ ÀÖ½À´Ï´Ù. Áï FAP ȯÀÚÀÇ À§Àú¼± ¿ëÁ¾Àº º´¸®ÇÐÀûÀÎ °üÁ¡¿¡¼­ »ê¹ßÀûÀÎ À§Àú¼± ¿ëÁ¾°ú Â÷À̰¡ ÀÖ´Ù´Â °ßÇØÀä.... »ç½Ç Àú´Â ÇÑ ¹øµµ º» ÀûÀÌ ¾ø½À´Ï´Ù. FAP ȯÀÚ¿¡¼­ À§Àú¼± ¿ëÁ¾ÀÇ ÀÌÇü¼ºÀÌ ¼±ÇàµÈ »óÅ¿¡¼­ ÀÌÂ÷ÀûÀ¸·Î APC º¯À̰¡ ¹ß»ý½Ã¿¡´Â ¸Å¿ì µå¹°Áö¸¸ Àü¾Ï¼º º´¼Ò°¡ µÉ °¡´É¼ºµµ °¡Áö°í ÀÖ½À´Ï´Ù. ±×·¯³ª ±× ºóµµ´Â ¸Å¿ì ³·±â ¶§¹®¿¡ FAP¿¡¼­ ¹ß°ßµÇ´Â À§Àú¼± ¿ëÁ¾¿¡ ´ëÇØ¼­´Â Ưº°ÇÑ Ä¡·á¸¦ ÇÏÁö ¾Ê°í °æ°ú°üÂû¸¸ ±ÇÇϰí ÀÖ½À´Ï´Ù.

FAP ȯÀÚÀÇ À§Àú¼± ¿ëÁ¾Áõ

FAP ȯÀÚ¿¡¼­ fundic gland polyposis´Â ´ëºÎºÐ ¸Å¿ì ¸¹°Å³ª ¾ø°Å³ª µÑ Áß ÇϳªÀÔ´Ï´Ù. ¸î °³¸¸ ÀÖ´Â °æ¿ì´Â ÈçÇÏÁö ¾ÊÀº °Í °°½À´Ï´Ù. ÀÌ È¯ÀÚ´Â fundic gland polypÀÇ ¼öµµ ÀÛ°í ³ôÀ̵µ ³·¾Æ¼­ ¾ð²ý º¸¸é fundic gland polyposis°¡ ¾ø´Ù°í ¿ÀÀÎÇϱ⠽¬¿î °æ¿ìÀÔ´Ï´Ù.

FAP·Î total colectomy¸¦ ¹ÞÀ¸½Å ºÐÀÇ À§³»½Ã°æ¿¡¼­ À§ÀúºÎ¿Í À§Ã¼ºÎ¿¡ ´Ù¹ß¼º ¿ëÁ¾ÀÌ ¹ß°ßµÇ¾ú½À´Ï´Ù. ÀüÇüÀûÀÎ fundic gland polyposisÀÔ´Ï´Ù. Á¶Á÷°Ë»ç¿¡¼­ fundic gland polypÀ¸·Î ÆÇµ¶µÇ´Â °ÍÀÌ ´ç¿¬ÇϰÚÁö¸¸ °£È¤ hyperplastic polypÀ¸·Î ÆÇµ¶µÇ±âµµ ÇÕ´Ï´Ù. º´¸®ÆÇµ¶ °á°ú¿Í ¹«°üÇÏ°Ô ÀÌ·± °æ¿ì´Â fundic gland polyposis°¡ ¿Ç½À´Ï´Ù.


3. FAP°¡ ¾Æ´Ñ ȯÀÚÀÇ isolated fundic gland polyp(s)

°ÅÀÇ ÀÓ»óÀû ÀÇÀǰ¡ ¾ø½À´Ï´Ù. isolated fundic gland polypÀº Helicobacter°¡ ¾ø°í À§Ã༺ À§¿°ÀÌ ¾ø´Â ±×¾ß¸»·Î Àþ°í ±ú²ýÇÑ À§¿¡¼­ »ý±é´Ï´Ù. µû¶ó¼­ ¿ëÁ¾ÀÌ ÀÖ´Ù°í °ÆÁ¤ÇÒ ÀÏÀº ¾Æ´Ï°í ¿ÀÈ÷·Á °Ç°­ÇÑ À§ÀÇ »ó¡ ºñ½ÁÇÏ´Ù°í º¸¾Æµµ ¹«¹æÇÕ´Ï´Ù. Çѵΰ³¸é Á¦°ÅÇØµµ ÁÁÁö¸¸ °æ°ú°üÂûÀ» ÇØµµ º° ¹®Á¦´Â ¾ø½À´Ï´Ù.

flat type

Referred as SMT and the forceps biopsy was nonspecific. Polypectomy was done and the final pathology was fundic gland polyp.


Polypectomy using inject and cut technique was done. After snare resection, small hyperemic areas were seen (left lower picture). Options include (1) simple observation, (2) Coagrasper monopolr electrocauterization with Coagrasper, and (3) bipolar electrocoagulation. But, I did monopolar electrocauterization with snare tip (lower middle picture). It is much easier and quick than using another device. In the early stage of endoscopic treatment of EGC, snare tip was used for ESD. Final pathology was fundic gland polyp.

Flat-type fundic gland polyp of the fundus

Fundus, high bodyÀÇ ¼ö mmÀÇ round ȤÀº ¾à°£ ovoidÇÑ flat elevated lesionÀ̸鼭 ¹Ù±ùÂÊÀ¸·Î °¡´Ã°í ÇÏ¾á ½Ç·Î µÑ·¯½ÎÀÎ ¸ð½ÀÀº ÀüÇüÀûÀÎ fundic gland polypÀÔ´Ï´Ù. ÀÌó·³ ÀüÇüÀûÀÎ fundic gland polypÀº Á¶Á÷°Ë»çµµ ÇÊ¿äÇÏÁö ¾ÊÀ» °Í °°½À´Ï´Ù. RectumÀÇ hyperplastic polypÀ» ÈçÈ÷ Á¶Á÷°Ë»ç ÇÏÁö ¾Ê´Â °Í°ú ºñ½ÁÇÏ°Ô »ý°¢ÇÏ¸é ¾î¶³±î¿ä? ¾Æ·¡ »çÁø ÂüÁ¶

Flat-type fundic gland polyp of the fundus

Á߳⠳²¼º¿¡¼­ ¿ì¿¬È÷ ¹ß°ßµÈ ÀüÇüÀûÀÎ fundic gland polyp ÃßÁ¤ º´¼Ò µÎ °³. Á¶Á÷°Ë»çµµ ÇÏÁö ¾Ê°í ÁÁÀº »çÁø°ú ±â·Ï¸¸ ³²°å½À´Ï´Ù.

Sliding hiatal hernia ȯÀÚÀÇ hernia sac ³»ÀÇ ÀÛÀº fundic gland polyp
À§ ȯÀÚÀÇ Á¶Á÷°Ë»ç

¼Ò¼öÀÇ fundic gland polypÀº Á¦°ÅÇÒ Çʿ䰡 ¾ø½À´Ï´Ù. ±×·¯³ª °£È¤ ȯÀÚÀÇ ¿äû¿¡ µû¶ó EMR polypectomy¸¦ ½ÃÇàÇϱ⵵ ÇÕ´Ï´Ù.

1:25


4. FAP°¡ ¾Æ´Ñ ȯÀÚÀÇ fundic gland polyposis

Fundic gland polyposis´Â FAPÀÇ Æ¯Â¡ÀûÀÎ ¼Ò°ßÀÌÁö¸¸ ¾î¶² ȯÀÚ¿¡¼­´Â FAP°¡ ¾Æ´Ñµ¥µµ fundic gland polyposis¸¦ º¸ÀÌ´Â °æ¿ì°¡ ÀÖ½À´Ï´Ù. Á÷Àå°æ ȤÀº ´ëÀå³»½Ã°æÀ» ÇØ¼­ FAP°¡ ¾Æ´ÔÀ» È®ÀÎÇÏ¸é µË´Ï´Ù.

FAP°¡ ¾Æ´Ñ ºÐÀÇ fundic gland polyposis¿¡¼­´Â »ç½Ç Ưº°È÷ ÇÒ ÀÏÀÌ ¾ø½À´Ï´Ù. ³»½Ã°æÀýÁ¦¼ú ´ë»óÀº ¾Æ´Õ´Ï´Ù. Å« °Í ¸î °³ Á¦°ÅÇÑ´Ù°í ÁÁÀ» ÀÏÀÌ ¾ø½À´Ï´Ù. Reassurance°¡ ´äÀ̶ó°í »ý°¢ÇÕ´Ï´Ù.

M/37 (2017)

M/45 (2015)

2014³â ¾Öµ¶ÀÚ Áú¹® Áõ·Ê


5. PPI/PCAB¸¦ »ç¿ëÇϴ ȯÀÚÀÇ À§Àú¼±¿ëÁ¾(Áõ). Fundic gland polyp in PPI users

PPI »ç¿ë ÈÄ fundic gland polypÀÌ ¹ß»ýÇÑ ¿¹¸¦ Á¾Á¾ ¸¸³³´Ï´Ù.

±× ºóµµ´Â Àß ¾Ë·ÁÁ® ÀÖÁö ¾Ê½À´Ï´Ù. PPI¿Í °ü·ÃµÈ fundic gland polypÀÇ ÀÓ»óÀû ÀÇÀÇ´Â °ÅÀÇ ¾ø½À´Ï´Ù. ÇÑ °¡Áö È®½ÇÇÑ °ÍÀº precancerous lesionÀº ¾Æ´Ï¶ó´Â °ÍÀÔ´Ï´Ù. º°´Ù¸¥ ÀÓ»óÀû ÀÇÀǰ¡ ¾ø´Ù°í »ý°¢Çصµ ¹«¹æÇÕ´Ï´Ù. ÀÛ°í Çѵΰ³¸é Á¶Á÷°Ë»ç·Î Á¦°ÅÇÒ ¼öµµ ÀÖ°í Á¶±Ý ´õ Å©¸é ¿ëÁ¾ÀýÁ¦¼ú·Î ½±°Ô ÇØ°áÇÒ ¼ö ÀÖ½À´Ï´Ù¸¸ ²À Á¦°ÅÇØ¾ß ÇÏ´ÂÁö Àǹ®ÀÔ´Ï´Ù.

PPI »ç¿ëÀÚ¿¡¼­ À§Àú¼±¿ëÁ¾ÀÌ ¹ß°ßµÇ¾úÀ» ¶§ ¾î¶»°Ô ÇÏ´Â °ÍÀÌ °¡Àå ÁÁÀº°¡¿¡ ´ëÇØ¼­´Â Á¤ÇØÁø ÀǰßÀÌ ¾ø½À´Ï´Ù. PPI¸¦ ±×´ë·Î »ç¿ëÇÏ´Â Àü¹®°¡°¡ ¸¹Áö¸¸, ´Ù¸¥ PPI·Î ¹Ù²Ù±âµµ ÇÕ´Ï´Ù. H2RA·Î ¹Ù²Ù´Â °ÍÀº Áõ»óÁ¶ÀýÀÌ ºÎÁ·ÇØÁú °¡´É¼ºÀÌ Ä¿¼­ ±ÇÇÏÁö ¾Ê½À´Ï´Ù. 1³â ÈÄ ÃßÀû³»½Ã°æÀ̸é ÃæºÐÇÏ´Ù°í »ý°¢ÇÕ´Ï´Ù.

Á¶±Ý Å©¸é ½±°Ô ¿ëÁ¾ÀýÁ¦¼úÀ» ÇÒ ¼ö ÀÖ½À´Ï´Ù.

¹Ù·¿ ½Äµµ·Î Àå±â PPI »ç¿ë ÁßÀΠȯÀÚÀÇ À§Àú¼± ¿ëÁ¾

PPI Àå±â »ç¿ë ȯÀÚ¿¡¼­ ¾ÆÁÖ ¹Ì¼¼ÇÑ À§Àú¼±¿ëÁ¾µéÀÌ °üÂûµÇ±âµµ ÇÕ´Ï´Ù.

PPI¸¦ ²÷°í fundic gland polypÀÇ ¼ö°¡ °¨¼ÒÇÏ¿´´Ù´Â Áõ·Êº¸°íµµ ÀÖ½À´Ï´Ù. ¹ß»ý±âÀü¿¡ ´ëÇÑ ¼³¸íÀ» ¼Ò°³ÇÕ´Ï´Ù (±èÁø¼ö. ´ëÇѼÒÈ­±âÇÐȸÁö 2008;51:305-308).

PCAB »ç¿ë º´·ÂÀÌ ÀÖ´Â ºÐÀÇ fundusÀÇ flat and white elevated lesionsÀÔ´Ï´Ù.


6. ÀÌÁØÇà ¿Ü·¡¼³¸í¼­ Áß À§Àú¼± ¿ëÁ¾ ºÎºÐ (2017)

"À§¿¡ ÀÛÀº ¿ëÁ¾(µé)ÀÌ ÀÖÁö¸¸ Á¶Á÷°Ë»ç°¡ À§Àú¼±¿ëÁ¾(fundic gland polyp)À¸·Î ³ª¿Ô½À´Ï´Ù. ºñ±³Àû ÈçÇÏÁö¸¸ ÀÓ»óÀû ÀÇÀǰ¡ °ÅÀÇ ¾ø´Â °ÍÀÔ´Ï´Ù. ¾ÆÁÖ °£È¤ À§Àú¼±¿ëÁ¾ÀÌ ¸Å¿ì ¸¹À¸¸é¼­ ´ëÀå¿¡ ¼±Á¾ÀÌ µ¿¹ÝµÈ ¿¹°¡ ÀÖÀ¸¹Ç·Î ´ëÀå³»½Ã°æ¸¸ ±ÇÇϱ⵵ ÇÕ´Ï´Ù. 1³â ÈÄ ³»½Ã°æÀ» ÃßõÇÕ´Ï´Ù."


7. Fundic gland polyp¿¡¼­ ¾ÏÀÌ ¹ß»ýÇÒ ¼ö Àִ°¡?

2017³â IDEN¿¡ ¼Ò°³µÈ °ÍÀÌ À־ ¾Æ·¡¿¡ ¿Å±é´Ï´Ù. ´ë´ÜÇÑ º´¼Ò´Â ¾Æ´Ï¾ú½À´Ï´Ù.

Osaka ¾Ï¼¾ÅÍ Æ÷½ºÅÍÀÇ Ã¹¹øÂ° Áõ·ÊÀÔ´Ï´Ù. Fundic gland polyp¿¡¼­ ¾ÏÀÌ ¹ß»ýÇÑ °æ¿ìÀÔ´Ï´Ù. µÎ ¿ëÁ¾ÀÌ º¸¿´°í anal sideÀÇ ¿ëÁ¾Àº ¾ÏÀ̾ú´Ù´Â °ÍÀÔ´Ï´Ù.

Osaka ¾Ï¼¾ÅÍ Æ÷½ºÅÍÀÇ µÎ¹øÂ° Áõ·ÊÀÔ´Ï´Ù. Fundic gland polypÀÇ À¯³­È÷ ºÓÀº ºÎÀ§´Â ¾ÏÀÏ ¼ö À־ ÀýÁ¦¸¦ Çߴµ¥, °á±¹ ¾ÏÀ¸·Î ³ª¿Ô´Ù°í ÇÕ´Ï´Ù. (Considering the diagnosis of case 1, we suspected that the reddish lesion was an adenocarcinoma occuring in a FGP and ESD was performed.)


8. Fundic gland type adenocarcinoma

¸íÈ®ÇÏ°Ô ³ª´² ¿¬±¸µÈ ¹Ù ¾øÁö¸¸ fundic gland type adenocarcinoma¿Í fundic gland¿¡¼­ ¹ß»ýÇÑ ¾Ï°ú´Â ´Ù¸£Áö ¾Ê³ª »ý°¢Çϰí ÀÖ½À´Ï´Ù. Fundic gland type adenocarcinoma´Â fundic glandÀÇ cytological abnormality´Â ÇöÀúÇÏÁö ¾ÊÀ¸³ª structural abnormality°¡ ÀÖ´Â °ÍÀ¸·Î Á¡¸·ÇÏħÀ±ÀÌ À־ ¿¹Èİ¡ ÁÁÀº ÆíÀ¸·Î ¾Ë·ÁÁ® ÀÖ½À´Ï´Ù. ´ëÇ¥ÀûÀÎ Ç︮ÄÚ¹ÚÅÍ À½¼º À§¾ÏÀÔ´Ï´Ù.

À§¹Ù´Ú»ùÇü»ù¾ÏÁ¾(adenocarcinoma of fundic-gland type)Àº À§ÀÇ ÁÖ¼¼Æ÷¿Í º®¼¼Æ÷ÀÇ ºÐÈ­¸¦ º¸ÀÌ´Â ¼¼Æ÷·Î ±¸¼ºµÇ¾î ÀÖ´Â °íºÐÈ­Çü ¼±¾ÏÀ¸·Î WHO 5ÆÇ¿¡ óÀ½ µîÀçµÇ¾ú´Ù. ÀÌ Á¾¾çÀº ÇÙÀÇ ÀÌÇü¼ºÀÌ ¶Ñ·ÇÇÏ°Ô °üÂûµÇÁö ¾Ê°í ±¸Á¶Àû ÀÌ»óÀÌ ¸íÈ®ÇÏÁö ¾ÊÀº °æ¿ì°¡ ¸¹±â ¶§¹®¿¡, ³»½Ã°æ »ý°Ë ½Ã ÀÌÇü¼º Á¤µµ°¡ ³·Àº º´º¯À¸·Î ¿ÀÀ뵃 ¼ö ÀÖ´Ù. ÀϹÝÀûÀ¸·Î ¸¸¼ºÀ§¿°À̳ª Àå»óÇÇÈ­»ýÀÌ ¾ø´Â À§¹Ù´Ú»ùÀÇ ½ÉºÎ À§Á¡¸·¿¡¼­ ¹ß»ýÇÏ¿©, º´º¯ÀÇÅ©±â°¡ ÀÛ´õ¶óµµ Á¡¸·ÇÏÃþÀ¸·Î ħÀ±ÇÏ´Â °æ¿ì°¡ µå¹°Áö ¾ÊÀº °ÍÀ¸·Î º¸°íµÇ°í ÀÖ´Ù. ÇÏÁö¸¸ ÀÌ ¾ÆÇüÀº ¼¼Æ÷ÀÇ Áõ½Ä Ȱ¼ºµµ°¡ ³·°í ¸²ÇÁÀý ÀüÀÌ ¹× Àç¹ßÀÌ ¸Å¿ì µå¹°¾î¼­, ¾çÈ£ÇÑ ¿¹Èĸ¦ °¡Áö´Â Àúµî±ÞÀÇ ¾Ç¼º Á¾¾çÀ¸·Î °£ÁֵȴÙ. (À§¾Ï º´¸® ¼Ò°ßÀÇ ÀÌÇØ ±è¹éÈñ, À̼ºÇÐ. Ç︮ÄÚ¹ÚÅÍÇÐȸÁö Á¾¼³, 2023)

[Áõ·Ê 1] À§¾Ï 807

Follow up endoscopy for a 50 years old male with a polyp (previous biopsy: hyperplastic polyp) was done and the forceps biopsy was atypical proliferation of fundic glands, suggestive of tubular adenocaricnoma, well differentiated, fundic gland type. ESD was done under the impression of r/o EGC.

ESD: Early gastric carcinoma
1. Location : high body, greater curvature
2. Gross type : EGC type IIa
3. Histologic type : tubular adenocarcinoma, W/D (fundic gland type)
4. Histologic type by Lauren : intestinal
5. Size of carcinoma : (1) longest diameter, 18 mm (2) vertical diameter, 11 mm
6. Depth of invasion : invades submucosa, (depth of sm invasion : 300 §­) (pT1b)
7. Resection margin : free from carcinoma(N) safety margin : distal 5 mm, proximal 5 mm, anterior 12 mm, posterior 1 mm, deep 50 §­
8. Lymphatic invasion : not identified(N)
9. Venous invasion : not identified(N)
10. Perineural invasion : not identified(N)
11. Microscopic ulcer : absent
12. Histologic heterogeneity: absent

I suspect it may be a case of gastric cancer arising from a fundic gland polyp.

[Áõ·Ê 2]

ESD: fundic gland type adenocarcinoma, 7mm, lamina propria

[Áõ·Ê 3] À§¾Ï 924


[FAQs]

[2014-10-1. ¾Öµ¶ÀÚ Áú¹®]

¾È³çÇϽʴϱî? ÀÌÀü¿¡ À§Ã༺ À§¿°¿¡ ´ëÇÑ ÀÚ·á Àß º¸¾Ò½À´Ï´Ù. Á¦°¡ Á» °úÇÑ ¼Ò°ßÀ¸·Î ÆÇµ¶Çϰí ÀÖ¾ú´Ù°í ´À²¼½À´Ï´Ù. °¨»çÇÕ´Ï´Ù.

°Ç°­°ËÁø ³»½Ã°æ¿¡¼­ ÀüÁ¤ºÎ´Â Á¤»óÀε¥ À§Ã¼ºÎ¿¡, ƯÈ÷ ´ë¸¸ºÎ¿¡ 100°³ ÀÌ»óÀÇ ÀÛÀº ¿ëÁ¾ÀÌ ÀÖ¾ú°í, Á¶Á÷°Ë»ç¿¡¼­ fundic gland polypÀ¸·Î ³ª¿Ô½À´Ï´Ù. ¾î¶»°Ô ÇØ¾ß ÇÒÁö¿ä?

[2014-10-1. ÀÌÁØÇà ´äº¯]

ÁÁÀº Áú¹®ÀÔ´Ï´Ù. Fundic gland polypÀÌ ¸î °³ÀÌ¸é ±×³É µÎ¸é µË´Ï´Ù. ±×·±µ¥ ¼ö½Ê°³ ÀÌ»óÀÇ fundic gland polyposis¿¡¼­´Â Ȥ½Ã FAPÀÏ ¼ö ÀÖÀ¸¹Ç·Î ´ëÀå³»½Ã°æÀ» ±ÇÇϰí ÀÖ½À´Ï´Ù. °ú°Å¿¡´Â Á÷Àå°æÀ» ±ÇÇϱ⵵ Çߴµ¥ ¿äÁòÀº Á÷Àå°æÀº °ÅÀÇ ÇÏÁö ¾ÊÀ¸¹Ç·Î ±×³É ´ëÀå³»½Ã°æÀ» ±ÇÇÕ´Ï´Ù. FAP°¡ ¾Æ´Ï¸é µÎ°í º¸´Â ¼ö ¹Û¿¡ ¾ø½À´Ï´Ù. APC gene mutation study¸¦ ÇØ º¸¸é ´õ ÁÁ°ÚÁö¸¸ ºñ¿ë¹®Á¦·Î ºÒ°¡´ÉÇÕ´Ï´Ù. »ç½Ç ²À ÇÊ¿äÇÑ °Íµµ ¾Æ´Õ´Ï´Ù.


[2021-8-4. ¾Öµ¶ÀÚ Áú¹®]

±³¼ö´Ô ¾È³çÇϽʴϱî? ¿£µµÅõµ¥ÀÌ ¾Öµ¶ÀÚÀÔ´Ï´Ù.

ÀÌ Á¤µµ ¸¹Àº fundic gland polypÀ̸é, °¡Á·¼º¼±Á¾¼º¿ëÁ¾Áõ ¼±º°°Ë»ç À§ÇÏ¿©, ´ëÀå³»½Ã°æÀ» ±Ç°íÇÏ´Â°Ô ¸Â´ÂÁö¿ä? ¾Æ´Ï¸é, ÈξÀ ´õ ¸¹Àº À§¿ëÁ¾ÀÌ ÀÖ¾î¾ß ±Ç°í ´ë»óÀÌ µÇ´ÂÁö¿ä? °¨»çÇÕ´Ï´Ù.

[2021-8-4. ÀÌÁØÇà ´äº¯]

¾È³çÇϼ¼¿ä.

À§Àú¼± ¿ëÁ¾Àº FAP ȯÀÚÀÇ 90%¿¡¼­ ¹ß°ßµË´Ï´Ù. FAP ȯÀÚ°¡ ¾Æ´Ñ ÀϹÝÀο¡¼­ ¿ì¿¬È÷ ¹ß°ßµÇ´Â ¼Ò¼öÀÇ »ê¹ßÀû À§Àú¼± ¿ëÁ¾Àº Àü¾Ï¼º º´¼Ò°¡ ¾Æ´Ï¹Ç·Î ¾Æ¹«·± Ä¡·áµµ ÇÊ¿äÇÏÁö ¾Ê½À´Ï´Ù. ±×¿¡ ¹ÝÇÏ¿© FAP ȯÀÚÀÇ À§Àú¼± ¿ëÁ¾Àº 30-40% Á¤µµ¿¡¼­ ÀÌÇü¼ºÀ» º¸Àδٴ À̾߱Ⱑ ÀÖ½À´Ï´Ù. Àú´Â º» ÀûÀº ¾ø½À´Ï´Ù. Áï FAP ȯÀÚÀÇ À§Àú¼± ¿ëÁ¾Àº º´¸®ÇÐÀûÀÎ °üÁ¡¿¡¼­ »ê¹ßÀûÀÎ À§Àú¼± ¿ëÁ¾°ú Â÷À̰¡ ÀÖ½À´Ï´Ù. FAP ȯÀÚ¿¡¼­ À§Àú¼± ¿ëÁ¾ÀÇ ÀÌÇü¼ºÀÌ ¼±ÇàµÈ »óÅ¿¡¼­ ÀÌÂ÷ÀûÀ¸·Î APC º¯À̰¡ ¹ß»ý½Ã¿¡´Â ¸Å¿ì µå¹°Áö¸¸ Àü¾Ï¼º º´¼Ò°¡ µÉ °¡´É¼ºµµ °¡Áö°í ÀÖ½À´Ï´Ù. ±×·¯³ª ±× ºóµµ´Â ¸Å¿ì ³·±â ¶§¹®¿¡ FAP¿¡¼­ ¹ß°ßµÇ´Â À§Àú¼± ¿ëÁ¾¿¡ ´ëÇØ¼­´Â Ưº°ÇÑ Ä¡·á¸¦ ÇÏÁö ¾Ê°í °æ°ú°üÂû¸¸ ±ÇÇϰí ÀÖ½À´Ï´Ù.

FAP ȯÀÚ¿¡¼­´Â Àû´çÇÑ ¼ýÀÚÀÇ fundic gland polypÀÌ ¹ß»ýÇÏ´Â °æ¿ì´Â ¸¹Áö ¾Ê½À´Ï´Ù. º¸Åë ¾ÆÁÖ ¸¹°Å³ª ¾Æ´Ï¸é ¾ø°Å³ªÀÔ´Ï´Ù.

F/45. History of total colectomy. Duodenal adenomas and gastric fundic gland polyposis

FAP

FAP

FAP

FAP

º¸³» ÁֽŠÁõ·Ê Á¤µµÀÇ ¼ýÀÚ´Â ´ëºÎºÐ sporadic fundic gland polypÀÏ °ÍÀ¸·Î »ý°¢ÇÕ´Ï´Ù. FAP°¡ ¾Æ´Ñ ºÐ¿¡¼­µµ Helicobacter°¡ ¾ø´Â °æ¿ì ¾ó¸¶µçÁö ±× Á¤µµÀÇ polyposis°¡ ¹ß»ýÇÒ ¼ö ÀÖ½À´Ï´Ù. °£È¤ PPI »ç¿ëÀÚ¿¡¼­ polyposis°¡ º¸À̸é Á¶½É½º·´°Ô PPI¸¦ ²÷¾îº¸½Ã±â ¹Ù¶ø´Ï´Ù.

M/37 (2017) Non-FAP

M/45 (2015) Non-FAP

º¸³» ÁֽŠÁõ·Ê Á¤µµÀÇ °æ¿ì ´ëÀå³»½Ã°æ °Ë»ç¸¦ ±ÇÇÒ ÀÇÇÐÀûÀÎ ÀÌÀ¯´Â ¾ø½À´Ï´Ù. ´Ù¸¸ ¿ì¸®³ª¶ó¿¡¼­´Â 40´ë ȯÀÚ¶ó¸é ´ëÀå³»½Ã°æ °Ë»ç¸¦ ÇØ º¸´Â °Íµµ ³ª»ÚÁö ¾ÊÀ» °Í °°½À´Ï´Ù. ¾îÂ¥ÇÇ ´Ùµé 50¼¼¸¸ ´ëÀå³»½Ã°æ °ËÁøÀ» ÇÏ´Â »óȲÀÌ°í ´ëÀå°ËÁø³»½Ã°æÀ» 5¼¼ ÀÏÂï ½ÃÀÛÇÏÀÚ´Â ÁÖÀåµµ ¸¹±â ¶§¹®ÀÔ´Ï´Ù.

¿äÄÁµ¥ ÀÌ·¸½À´Ï´Ù. ÀÇÇÐÀûÀ¸·Î´Â ÇÊ¿äÇÏÁö ¾Ê½À´Ï´Ù. ±×·¯³ª ´ëÇѹα¹¿¡¼­´Â 40´ë ȯÀÚ°¡ ±× Á¤µµÀÇ fundic gland polyposis¶ó¸é ´ëÀå³»½Ã°æ °Ë»ç¸¦ ±ÇÇÏ´Â °Íµµ ³ª»ÚÁö ¾Ê°Ú½À´Ï´Ù.


[2023-2-2. Web-seminar Áú¹®]

À§Àú¼± ¿ëÁ¾Àº ¾Ç¼ºÈ­ ºñÀ²ÀÌ ³·´Ù°í ¾Ë°í ÀÖ½À´Ï´Ù. °æ°ú¸¦ ÁöÄѺÁµµ ÁÁÀºÁö, Á¦°ÅÇØ¾ß ÇÒ Áö ±Ã±ÝÇÕ´Ï´Ù. ±³¼ö´ÔÀº ¾î¶»°Ô ÇϽóª¿ä?

[2023-2-2. ÀÌÁØÇà ´äº¯]

ÀϹÝÀûÀ¸·Î fundic gland polypÀº ÀýÁ¦¼ú ´ë»óÀº ¾Æ´Õ´Ï´Ù. ÀÓ»ó¿¡¼­´Â 1cm ÀÌ»óÀÇ À§Àú¼± ¿ëÁ¾ÀÌ 1-2°³À̰í ȯÀÚ°¡ Ä¡·á¸¦ ¿øÇϸé "²À ÇÊ¿äÇÏÁö´Â ¾ÊÀ¸³ª ¿øÇÏ½Ã¸é ½ÃÇàÇÒ ¼ö ÀÖ½À´Ï´Ù"¶ó°í ¼³¸íÇÏ°í ¿ëÁ¾ÀýÁ¦¼úÀ» Çϰí ÀÖ½À´Ï´Ù.

[2023-2-2. Web-seminar Áú¹®]

À§Àú¼± ¿ëÁ¾ÀÇ °æ¿ì, Å©±â°¡ 1cm ÀÌ»óÀ̸é Á¦°ÅÇÏ´Â °ÍÀÌ ÁÁ´Ù°í ¾Ë°í Àִµ¥, ±³¼ö´Ô²²¼­´Â ¾î¶»°Ô »ý°¢ÇϽôÂÁö, ±³¼ö´ÔÀÇ ³ëÇϿ찡 ÀÖ´Ù¸é ¾Ë°í ½Í½À´Ï´Ù.

[2023-2-2. ÀÌÁØÇà ´äº¯]

ÀϹÝÀûÀÎ À§¿ëÁ¾Àº 2cm À̻󿡼­´Â ¹Ýµå½Ã, 1cm À̻󿡼­´Â °¡±ÞÀû ¿ëÁ¾ÀýÁ¦¼úÀ» Çϰí ÀÖ½À´Ï´Ù. ±×·¯³ª À§Àú¼± ¿ëÁ¾Àº ¾ÏÀ¸·Î ¹ßÀüÇÒ °¡´É¼ºÀÌ ¸Å¿ì ³·¾Æ¼­ ºñ·Ï 1cmÀÌ»óÀÌ´õ¶óµµ ¿ëÁ¾ÀýÁ¦¼úÀ» ±ÇÇÒ ÇÊ¿ä´Â ¾ø´Ù°í »ý°¢ÇÕ´Ï´Ù. Çö½ÇÀûÀ¸·Î´Â 1cm ÀÌ»óÀÇ ´Ù¹ß¼º À§Àú¼± ¿ëÁ¾ÀΠȯÀÚµµ ¸¹À¸¹Ç·Î ¸ðµÎ Á¦°ÅÇϱâ´Â ¾î·Æ½À´Ï´Ù. 1-2°³À̰í ȯÀÚ°¡ Ä¡·á¸¦ ¿øÇÒ ¶§¿¡ ÇÑÇÏ¿© "²À ÇÊ¿äÇÏÁö´Â ¾ÊÀ¸³ª ¿øÇÏ½Ã¸é ½ÃÇàÇÒ ¼ö ÀÖ½À´Ï´Ù"¶ó°í ¼³¸íÇÏ°í ¿ëÁ¾ÀýÁ¦¼úÀ» Çϰí ÀÖ½À´Ï´Ù.

[2023-2-2. Web-seminar Áú¹®]

PPI Àå±â º¹¿ë½Ã À§Àú¼± ¿ëÁ¾ÀÇ ¿øÀÎÀÌ µÉ ¼ö ÀÖ´Ù°í Çϴµ¥, À§Àú¼± ¿ëÁ¾ ¹ß°ß½Ã PPI Åõ¿©¸¦ Áß´ÜÇÏ¿©¾ß Çϳª¿ä? ¾Æ´Ï¸é ´Ù¸¥ À§»êºÐºñ ¾ïÁ¦Á¦¸¦ Åõ¿©ÇÏ¿©¾ß Çϳª¿ä? ¾à¹°Ä¡·á¹ýÀÌ ±Ã±ÝÇÕ´Ï´Ù.

[2023-2-2. ÀÌÁØÇà ´äº¯]

PPI º¹¿ëÀÚ¿¡¼­ ¹ß»ýÇÏ´Â À§Àú¼± ¿ëÁ¾ÀÇ ¾Ç¼ºÈ­ ºñÀ²¿¡ ´ëÇÑ Á¤º¸´Â ºÎÁ·ÇÕ´Ï´Ù.

PPI º¹¿ëÀÚ¿¡¼­ ¿ëÁ¾ÀÌ ¹ß»ýÇϸé PPIÀÇ ÀûÀÀÁõ, ¿ë¹ý, ¿ë·®À» ´Ù½Ã Çѹø °ËÅäÇϰí ÀÖ½À´Ï´Ù. ²À ÇÊ¿äÇÏÁö ¾ÊÀ¸¸é Áß´ÜÇϰųª °¨·®Çϰí ÀÖ½À´Ï´Ù. PPIÀ» H2RA·Î ¹Ù²Ù´Â °ÍÀ» ±ÇÇÏ´Â Àü¹®°¡µµ ÀÖ½À´Ï´Ù¸¸, Àú´Â ±×·² ¹Ù¿¡´Â PPI¸¦ ¼Ò·® threshold therapy·Î ¾²½Ãµµ·Ï ÃßõÇÕ´Ï´Ù. PPI¿¡¼­ ¿ëÁ¾ÀÌ ¹ß»ýÇÏ´Â °ÍÀº class effectÀÎ °ÍÀ¸·Î ÃßÁ¤Çϰí ÀÖ½À´Ï´Ù. µû¶ó¼­ PPI¸¦ ¹Ù²Ü ÀÌÀ¯´Â ¾ø´Ù°í »ý°¢ÇÕ´Ï´Ù. ÀÌ ºÎºÐÀº ¿¬±¸¿Í Á¤º¸°¡ ºÎÁ·ÇÏ¿© ¸ðµÎ ±ØÈ÷ °³ÀÎÀûÀÎ ÀǰßÀÔ´Ï´Ù.

[2025-8-22. Áú¹®]

À۳⠳»½Ã°æ¿¡¼­ ÀÛÀº ¿ëÁ¾ÀÌ ÀÖ¾ú°í Á¶Á÷°Ë»ç¿¡¼­ fundic gland polypÀ̾ú½À´Ï´Ù. ¿ÃÇØµµ ºñ½ÁÇѵ¥ Á¶Á÷°Ë»ç¸¦ ²À ÇØ¾ß ÇÒ±î¿ä?

[2025-8-22. ´äº¯]

¿ëÁ¾Àº º°´Ù¸¥ º¯È­°¡ ¾øÀ¸¸é Á¶Á÷°Ë»ç¸¦ ÇÏÁö ¾Ê¾Æµµ ÁÁ½À´Ï´Ù. Fundic gland polypÀÇ ÀüÇüÀûÀÎ ¼Ò°ßÀ̶ó¸é óÀ½ºÎÅÍ Á¶Á÷°Ë»ç¸¦ ÇÏÁö ¾Ê±âµµ ÇÕ´Ï´Ù.


[References]

1) EndoTODAY FAP - Familial adenomatous polyposis (FAP) °¡Á·¼º¼±Á¾¼º¿ëÁ¾Áõ

2) [Á¾¼³] Upper gastrointestinal lesions in patients with FAP

0.4 M

3) EndoTODAY À§ ¿ëÁ¾

4) [EndoATLAS] ÀüÇüÀûÀÎ single fundic gland polypÀÇ ³»½Ã°æ ¼Ò°ß

5) [EndoATLAS] Duodenal adenomas and fundic gland polyposis in FAP

6) ¿ëÁ¾Áõ Æú¸³ÁõÈıº polyposis syndrome - ³»½Ã°æ¼¼¹Ì³ª °­ÀÇ·Ï. ÀÓÁ¾ÇÊ. PDF 0.7M

© ÀÏ¿ø³»½Ã°æ±³½Ç ¹Ù¸¥³»½Ã°æ¿¬±¸¼Ò ÀÌÁØÇà. EndoTODAY Endoscopy Learning Center. Lee Jun Haeng.