Home | EndoTODAY | EndoATLAS

Beginner | ESA | Schedule | OPD

Seminars | Atlas | Recent | Links

EndoTODAY ³»½Ã°æ ±³½Ç


[Gastric cancer 571]

Previous | Next

001 | 101 | 201 | 301 | 401 | 501 | 601 | 701 | 801 | 901 | 1000


Çϳª´Â ¾ÏÀ̰í Çϳª´Â ¾Æ´Õ´Ï´Ù. ¾î´À ÂÊÀÌ ¾ÏÀϱî¿ä?

.

.

.

.

.

.

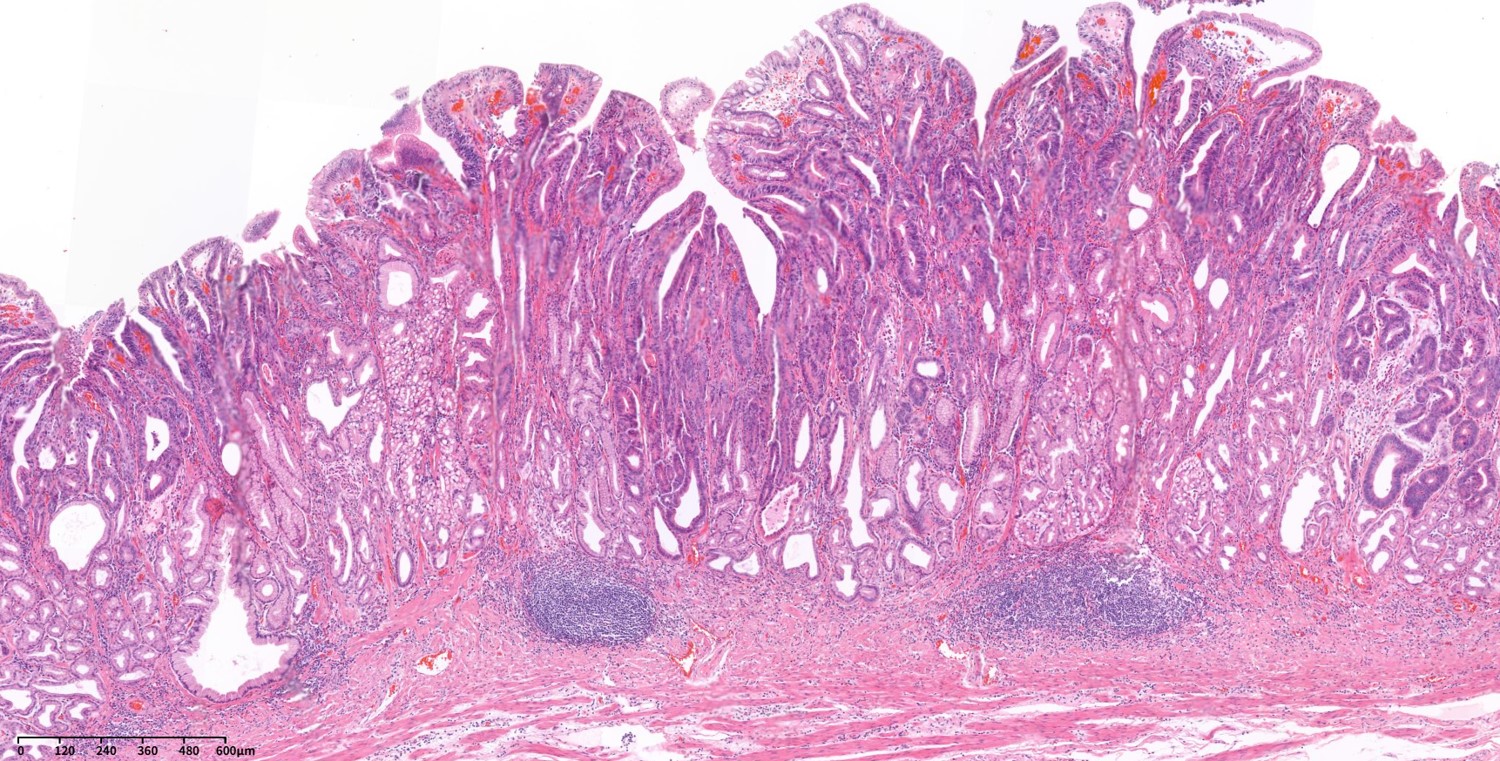
ÁÂÃøÀº ¾ÏÀ̾ú½À´Ï´Ù. ÀÇ·Ú Àü ù ³»½Ã°æ¿¡¼­´Â Á» ´õ ¾Ï °°¾Æ º¸¿´À¸³ª ÀÇ·Ú ÈÄ Àç°Ë¿¡¼­´Â ù °Ë»ç¸¸Å­ ¸íÈ®ÇÏÁö ¾Ê¾Ò½À´Ï´Ù. ¾Æ¸¶µµ À§»êºÐºñ¾ïÁ¦Á¦¸¦ µå½Å ¿µÇâ °°¾Ò½À´Ï´Ù. Á¡¸·¿¡ ±¹ÇÑµÈ 2.5cm M/D adenocarcinoma¿´½À´Ï´Ù.

mucosal cancer

¿ìÃøÀº prepyloric erosionÀ̾ú½À´Ï´Ù.

prepyloric erosions

ÀÌ ºÎÀ§´Â ¾Æ¸¶µµ ±â°èÀûÀÎ Àڱؿ¡ ÀÇÇÏ¿© erosion, shallow ulcer ¹× fold º¯È­°¡ ÀÚÁÖ °üÂûµÇ´Â ºÎÀ§ÀÔ´Ï´Ù.

* Âü°í: EndoTODAY Prepyloric esorion(s) on prepyloric fold(s)

© ÀÏ¿ø³»½Ã°æ±³½Ç ¹Ù¸¥³»½Ã°æ¿¬±¸¼Ò ÀÌÁØÇà. EndoTODAY Endoscopy Learning Center. Lee Jun Haeng.