Home | EndoTODAY | EndoATLAS

Beginner | ESA | Schedule | OPD

Seminars | Atlas | Recent | Links

EndoTODAY ³»½Ã°æ ±³½Ç


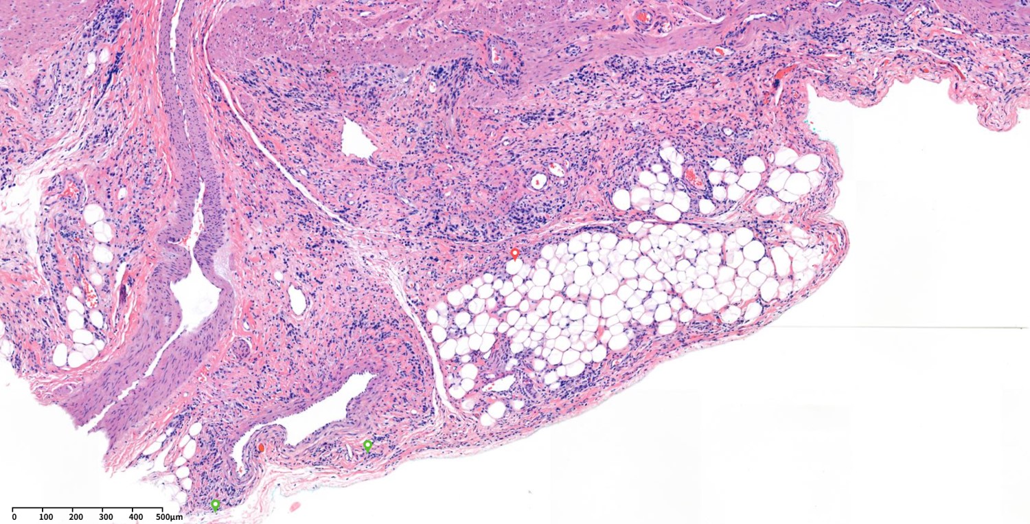
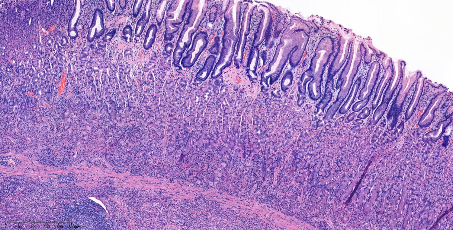
[Gastric cancer 967. Serosal invasion T4a] - ðû

Previous | Next

001 | 101 | 201 | 301 | 401 | 501 | 601 | 701 | 801 | 901 | 1000


This is a typical case with AGC with serosal invasion.

Serosal invasion is T4a.

AJCC 8th

© ÀÏ¿ø³»½Ã°æ±³½Ç ¹Ù¸¥³»½Ã°æ¿¬±¸¼Ò ÀÌÁØÇà. EndoTODAY Endoscopy Learning Center. Lee Jun Haeng (2025-9-9)