Home | EndoTODAY | EndoATLAS

Beginner | ESA | Schedule | OPD

Seminars | Atlas | Recent | Links

EndoTODAY ³»½Ã°æ ±³½Ç


[Helicobacter À§¿°] - ðû

Helicobacter °­ÀÇ µ¿¿µ»ó (2021)

Spotty redness

Spotty rednessÀÇ HQ290 near focus ¼Ò°ß

Atrophic and metaplastic gastritis with Helicobacter infection Áõ·Ê ³»½Ã°æ µ¿¿µ»ó 2:09

À§±Ë¾ç Áõ·Ê ³»½Ã°æ µ¿¿µ»ó 3:50

Hp gastritis

Hp gastritis (active gastritis)

Lymphoid follicle

1. Position statement

2. Introduction- Ç︮ÄÚ¹ÚÅÍ À½¼º À§, Ç︮ÄÚ¹ÚÅÍ ¾ç¼º À§

3. Ç︮ÄÚ¹ÚÅÍ À§¿° ³»½Ã°æ ¼Ò°ß - Á¦±ÕÄ¡·á ÈÄ È£Àü

4. Ç︮ÄÚ¹ÚÅÍ À§¿°¿¡ ´ëÇÑ À̼±¿µ ±³¼ö´Ô°ú ±è±¤ÇÏ ±³¼ö´ÔÀÇ °­ÀÇ

5. Serum pepsinogen test ¿Í À§Ã༺ À§¿°

6. ¾Öµ¶ÀÚÀÌÀÚ µ¿¹®À̽ðí blog 'Áö¹æÀÇ»çÀÇ ¼¼·ÃµÈ ³»°ú Ŭ¸®´Ð' ¿î¿µÀÚÀ̽Š´ëÀÚÀÎ º´¿ø ³»°ú ³ëµ¿È¿ ¼±»ý´ÔÀÇ 'Ç︮ÄÚ¹ÚÅÍ Áø´Ü°ú Ä¡·á'

7. Lectures

8. FAQ

9. References

PDF 1.8M. °Ç±¹´ë À̼±¿µ ±³¼ö´ÔÀÇ À§¿° quiz ¹®Á¦¿Í ÇØ¼³ (2021-9-13)


1. Position statement on Helicobacter gastritis (2018-1-23)

À§¾Ï ¹ß»ý·ü °¨¼Ò¸¦ À§ÇÏ¿© Ç︮ÄÚ¹ÚÅÍ °¨¿°ÀÌ È®ÀÎµÈ È¯ÀÚ¿¡¼­´Â Á¦±ÕÄ¡·á¸¦ ½ÃÇàÇÏ´Â °ÍÀÌ ÁÁ½À´Ï´Ù.

À§Ã¼»óºÎ¿Í ºÐ¹®ºÎ Á¡¸·¿¡¼­ Á¡»ó ¹ÝÁ¡, ¹Ì¸¸¼º ¹ßÀû (diffuse redness)°ú °°Àº Ư¡Àû ¼Ò°ßÀ» º¸ÀΠȯÀÚ´Â 'Ç︮ÄÚ¹ÚÅÍ À§¿° (Helicobacter gastritis)'À̶ó´Â ³»½Ã°æ Áø´ÜÀ» ºÙÀÌ°í ¸î °³ÀÇ Á¶Á÷°Ë»ç¸¦ ÇÒ ¼ö ÀÖÀ» °Í °°½À´Ï´Ù. ¸¸¾à Ç︮ÄÚ¹ÚÅÍ ±ÕÀÌ È®ÀεǸé Á¦±ÕÄ¡·á¸¦ ½ÃÇàÇÕ´Ï´Ù. 2018³â 1¿ù 1ÀϺÎÅÍ '100/100 ±Þ¿©(¾à°ª Àü¾× ȯÀÚ ºÎ´ã)'·Î Ä¡·áÇÒ ¼ö ÀÖ½À´Ï´Ù.

2017³â±îÁö´Â Ç︮ÄÚ¹ÚÅÍ À§¿°ÀÇ Á¦±ÕÄ¡·á ÀÚü°¡ ºÒ¹ýÀ̾úÀ¸¹Ç·Î 'chronic superficial gastritis of the proximal stomach (r/o Helicobacter-associated)'¶ó°í ¾ÖµÑ·¯ Ç¥ÇöÇÏ¿´Áö¸¸ (Âü°í) , ÀÌÁ¦´Â Á÷Á¢ÀûÀ¸·Î 'Ç︮ÄÚ¹ÚÅÍ À§¿°'À¸·Î Ç¥ÇöÇØµµ ÁÁÀ» °Í °°½À´Ï´Ù. ÀϺ»¿¡¼­ »ç¿ëÇÏ´Â ¿ë¾îÀÎ 'ÃâÇ÷¼º À§¿°'À̶ó´Â ³»½Ã°æ Áø´Ü¸íÀº ¾²Áö ¸» °ÍÀ» ±ÇÇÕ´Ï´Ù.


2. Introduction- Ç︮ÄÚ¹ÚÅÍ À½¼º À§, Ç︮ÄÚ¹ÚÅÍ ¾ç¼º À§

¿ì¸®³ª¶ó¿¡¼­ Ç︮ÄÚ¹ÚÅÍ À§¿°¿¡ ´ëÇÑ °ü½ÉÀÌ ³ô¾ÆÁø °ÍÀº 2016-7³â ¹«·ÆÀÔ´Ï´Ù. 2015³â EndoTODAY ÙíÓÍÅä·Ð - ¸¸¼ºÀ§¿° ³»½Ã°æÁø´Ü 003¸¦ º¸¸é ´ç½ÃÀÇ ¿ì¸® ³ª¶ó ³»½Ã°æ°èÀÇ ÇöȲÀ» º¼ ¼ö ÀÖ½À´Ï´Ù.

Ç︮ÄÚ¹ÚÅͰ¡ ¾ø´Â À§´Â À§Ã༺ º¯È­³ª È­»ý¼º º¯È­°¡ ¾ø°í, Á¡¾×ÀÌ ¸¼°í, RACÀÌ Àß º¸ÀÔ´Ï´Ù.

60´ë ³²¼º. Ç︮ÄÚ¹ÚÅÍ À½¼º. ¸¼°í ±ú²ýÇÑ À§

40´ë ¿©¼º. Ç︮ÄÚ¹ÚÅÍ À½¼º. ¸¼°í ±ú²ýÇÑ À§

20´ë ³²¼º. °Ë»ç¸¦ ¿øÇÏ¿© Á¶Á÷°Ë»ç¿Í serology¸¦ Çߴµ¥ ¸ðµÎ À½¼º

¾ÆÁÖ ¾ÆÁÖ ±ú²ýÇÑ À§Á¡¸·Àº ¾î¶»°Ô º¸Àϱî¿ä.

À§ Á¡¸·ÀÇ ÀÛÀº Ç÷°üÀÌ Åõ¸íÇÏ°Ô ºñÃĺ¸ÀÌ¸é °¡Àå ±ú²ýÇÑ °ÍÀ̶ó°í ÇÒ ¼ö ÀÖ°ÚÁö¿ä. ±×°Ô ¹Ù·Î RAC (regular arrangement of collecting venules)ÀÔ´Ï´Ù. RAC¿¡ ´ëÇÑ ¼³¸íÀ» ¡®»óºÎ¼ÒÈ­°ü ³»½Ã°æÁø´ÜÀÇ ¿ä·É°ú Áúȯº° ³»½Ã°æ»ó¡¯ 198 ÂÊ¿¡¼­ ¿ä¾àÇÏ¿© ¿Å°Üº¸°Ú½À´Ï´Ù. ¡°RAC´Â ¿ø°æ¿¡¼­´Â ¹Ì¼¼ÇÑ ¹ßÀûÁ¡ÀÌ ±ÔÄ¢ÀûÀ¸·Î ¹è¿­µÈ ¸ð¾çÀ¸·Î °üÂûµÈ´Ù. ±Ù°æ¿¡¼­´Â ºÒ°¡»ç¸® ÇüÅÂÀÇ ¹Ì¼¼Ç÷°üÀÌ´Ù. RAC´Â Helicobacter pylori ºñ°¨¿° À§ÀÇ Ã¼ºÎ¿¡¼­ È®ÀεǴ ¸ð¾çÀÌ´Ù. º´Àû ¼Ò°ßÀÌ ¾Æ´Ï¶ó À§¿°ÀÌ ¾ø´Â Á¤»ó À§Á¡¸·ÀÌ´Ù.¡± °°Àº Ã¥ 293 ÂÊ¿¡´Â ¡°RAC À½¼º Áõ·Ê´Â À§¾ÏÀ» ¿°µÎ¿¡ µÎ°í ³»½Ã°æ °üÂûÀ» ÇØ¾ß ÇÑ´Ù¡±¶ó°í ¾ð±ÞµÇ¾î ÀÖ½À´Ï´Ù. ÀÌ´Â RAC°¡ ¾È º¸À̸é H. pylori°¡ ÀÖ´Â °ÍÀÌ°í ±×·¸´Ù¸é À§¾ÏÀÇ °íÀ§Ç豺À̹ǷΠÀ§¸¦ ÀÚ¼¼È÷ º¸¶ó´Â ÀÇ¹Ì·Î ÇØ¼®ÇÒ ¼ö ÀÖ½À´Ï´Ù. ¹Ï°Å³ª ¸»°Å³ª ¼öÁØÀÇ ¾ð±ÞÀÌ ¾Æ´Ò ¼ö ¾ø½À´Ï´Ù. ½ÇÁ¦ ¹Ù»Û ³»½Ã°æ °Ë»ç µµÁß ¸ðµç ȯÀÚ¿¡¼­ RAC ¾ç¼º/À½¼ºÀ» µûÁø´Ù´Â °ÍÀº ºÒ°¡´ÉÇÑ ÀÏÀÔ´Ï´Ù. »ç½Ç RAC À½¼ºÀÌ À§¾ÏÀ» ¿¹ÃøÇϴµ¥ Å©°Ô µµ¿òÀÌ µÇ´Â °Íµµ ¾Æ´Õ´Ï´Ù. ÁÖÀ常 ÀÖÀ» »Ó ±Ù°Å´Â °ÅÀÇ ¾ø´Â ¼Ò¼ö ÀϺ»ÀÇ»çÀÇ Þç̸ÀÏ »ÓÀÔ´Ï´Ù. ¿äÄÁµ¥ ¡®ÀϺ»ÀεéÀÌ ¸»ÇÏ´Â RAC¶ó´Â °ÍÀÌ ÀÖ±â´Â ÀÖ´Ù. ±×¸®°í °¡´Â Ç÷°üÀ¸·Î º¸Àδ١¯ Á¤µµ¸¸ ¾Ë¾ÆµÎ¸é ÃæºÐÇÒ °Í °°½À´Ï´Ù. Ç︮ÄÚ¹ÚÅÍ¿Í ¿¬°üÁö¾î ÀÓ»óÀû ÀÇÀǸ¦ Å©°Ô ºÎ¿©ÇÒ ÇÊ¿ä´Â ¾øÀ» °ÍÀÔ´Ï´Ù. Àú´Â RAC¸¦ Àß º¸¸é ±×³É '±ú²ýÇÑ À§¸¦ ºÁ¼­ ±âºÐÀÌ ÁÁ´Ù' Á¤µµ »ý°¢ÇÏ°í ³Ñ¾î°¡°í ÀÖ½À´Ï´Ù.

2018 APDW (¼±»ý´Ô ?)


Ç︮ÄÚ¹ÚÅÍ À§¿°ÀÇ °¡Àå Æ¯Â¡ÀûÀÎ ¼Ò°ßÀº À§Ã¼»óºÎ¿Í ºÐ¹®ºÎ Á¡¸·ÀÇ Á¡»ó ¹ÝÁ¡ (spotty redness), ¹Ì¸¸¼º ¹ßÀû (diffuse redness), lymphofollicular gastritis, À§Á¡¸·ÁÖ¸§ ºñÈÄ, exudate µîÀÔ´Ï´Ù. ¸¸¼ºÀ¸·Î ÁøÇàÇϸé atrophic, metaplastic change¸¦ µ¿¹ÝÇÕ´Ï´Ù.

¿ì¸®³ª¶ó¿¡¼­´Â diffuse redness¿Í spotty redness´Â ¸íÈ®È÷ ±¸ºÐÇÏÁö ¾Ê°í ¾²´Â °æÇâÀÌ ÀÖ½À´Ï´Ù. ±×·¯³ª 2021³â 6¿ù ÇÑ ½ÉÆ÷Áö¾ö(2021-6-13. ³»½Ã°æÇÐȸ °æÀÎÁöȸ ½ÉÆ÷Áö¾ö)¿¡¼­ »ó¼¼È÷ ³íÀÇµÈ ¹Ù¿Í ÀÌ¿¡ ´ëÇØ À̼±¿µ ±³¼ö´Ô°úÀÇ ¹®´äÀ» °õ°õÈ÷ »ý°¢ÇØ º¸¾Ò½À´Ï´Ù. Á¦ °á·ÐÀº ÀÌ·¸½À´Ï´Ù. ÀϺ»Ãø Á¤Àǰ¡ ´Ù¼Ò ¸ðÈ£Çϱâ´Â ÇÏÁö¸¸ ¿ì¸®°¡ º°µµÀÇ Á¤ÀǸ¦ ¸¸µé ÇÊ¿ä´Â ¾øÀ» °Í °°½À´Ï´Ù.

- Diffuse redness refers to uniformly reddish mucosa with continous expansion observed in non-atrophic mucosa main in the body.

- Spotty redness is marked by irregular red dots of various shapes and sizes.

¾Æ·¡´Â ÀüÇüÀûÀÎ Áõ·Ê »çÁøÀÔ´Ï´Ù.

Diffuse redness

Spotty redness

ÀϺ»¿¡¼­´Â '±Þ¼º Ç︮ÄÚ¹ÚÅÍ °¨¿°'À̶ó´Â ¿ë¾î¸¦ ¾²°í ÀÖ½À´Ï´Ù. ±×·¯³ª Åë»óÀÇ °¨¿°º´¿¡¼­ ¸»ÇÏ´Â ¼ö ÁÖ Á¤µµ¶ó´Â ÀǹÌÀÇ ±Þ¼ºÀÌ ¾Æ´Ï¶ó, ¾ÆÁ÷ À§Ã༺ º¯È­°¡ ¿ÀÁö ¾Ê¾Ò´Ù´Â Àǹ̿¡¼­ÀÇ ±Þ¼ºÀÏ »ÓÀÔ´Ï´Ù. ÀϺ»¿¡¼­´Â ÃâÇ÷¼º À§¿°À̶ó°í ºÎ¸£°í ÀÖÀ¸³ª, ÅäÇ÷À̳ª Ç÷º¯À» ÀÏÀ¸Å°´Â °ÍÀº ¾Æ´Ï¹Ç·Î ºÎÀûÀýÇÑ ¿ë¾îÀÔ´Ï´Ù. Àú´Â H. pylori-associated gastritis (of the proximal stomach)À̶ó°í ºÎ¸¦ °ÍÀ» Á¦¾ÈÇÕ´Ï´Ù.


3. Ç︮ÄÚ¹ÚÅÍ À§¿° ³»½Ã°æ ¼Ò°ß

Ç︮ÄÚ¹ÚÅÍ À§¿°ÀÇ ³»½Ã°æ ¼Ò°ß¿¡ ´ëÇØ¼­´Â Kyoto classification of gastritis¿¡¼­ ÀÚ¼¼È÷ ´Ù·ç°í ÀÖ½À´Ï´Ù. À§¿°À» Hp infected, Hp uninfected, After Hp eradicationÀ¸·Î ³ª´©¾î ¼³¸íÇϰí ÀÖ½À´Ï´Ù.

°Ç±¹´ë À̼±¿µ ±³¼ö´ÔÀÇ Á¾¼³ Endoscopic gastritis, serum pepsinogen assay, and Helicobacter pylori infection Korean J Intern Med 2016¿¡¼­ °ü·ÃµÈ ºÎºÐÀ» ¿Å±é´Ï´Ù.

Hemorrhagic spots, nodularity, and thickened gastric folds

Typical endoscopic findings of acute H. pylori infection include hemorrhagic spots on the fundus and/or high-body, nodular gastritis, and hypertrophic gastric rugae. The endoscopic findings of nodular gastritis are small, round, yellowish-white nodules that represent histological lymphoid follicles. Endoscopic nodular gastritis is more common at the antrum than the corpus in H. pylori infection.

(A) Endoscopic findings in subjects with active Helicobacter pylori infection. (B) Nodular gastritis on the anterior-greater side of the proximal antrum. Multiple small nodules are visible on the antrum, extending up to greater curvature side of the corpus. The nodules consist of submucosal elevated lesions, and thus, there is no color change in nodular gastritis. (C) Follow-up findings of enlarged nodules on the proximal antrum to low-body in the same patient. The previously noted tiny, regular nodules have increased in size. The nodules were irregular and had grown from 12 months prior. (D) Finding of hemorrhagic spots on the fundus in nodular gastritis patient at initial endoscopy (B). Multiple tiny reddish spots, so-called diffuse redness, can be seen on the fundus and greater curvature side of the corpus. (E) Hypertrophic gastric folds. Thickened gastric rugae with whitish, sticky exudates indicate active H. pylori infection. PG, pepsinogen.

¾î¶² ³»½Ã°æ Ã¥¿¡¼­ Ç︮ÄÚ¹ÚÅÍ À§¿°À» ¼³¸íÇÑ ºÎºÐÀÌ À־ ÀϺθ¦ ¿Å±é´Ï´Ù.

Clinical Endoscopy 2018³â 8¿ùÈ£ commentary¿¡¼­ early stage Ç︮ÄÚ¹ÚÅÍ À§¿°ÀÇ »çÁøÀ» ¼Ò°³Çϰí ÀÖ¾ú½À´Ï´Ù. Nodularity¿Í mucosal swellingÀ̾ú½À´Ï´Ù. Nodularity´Â ¼ö±¸³ª ¼ö±àÇÒ ¼ö ÀÖ´Â ¼öÁØÀ̾ú´Âµ¥, mocusal swellingÀº ´Ù¼Ò ÁÖ°üÀûÀÎ °Í °°½À´Ï´Ù.

¾Æ·¡´Â Áõ·Ê »çÁøÀÔ´Ï´Ù.

Spotty redness

Spotty redness (¹«´äÅä·Ð ¸¸¼ºÀ§¿° 3)

70´ë ¸¸¼º Ç︮ÄÚ¹ÚÅÍ À§¿°. Atrophy, xanthoma, thick exudate

70´ë FD ȯÀÚ. ¼Ò¸¸ÂÊÀ¸·Î´Â ³ÐÀº À§Ã༺ º¯È­, À§Ã¼ÇϺΠ´ë¸¸ ÂÊÀ¸·Î´Â linearÇÑ À§Ã༺ º¯È­, À§Ã¼»óºÎ ´ë¸¸¿¡´Â active gastritis (diffuse & spotty redness)

Ç︮ÄÚ¹ÚÅÍ À§¿°

Ç︮ÄÚ¹ÚÅÍ À§¿°

Ç︮ÄÚ¹ÚÅÍ À§¿°

Ç︮ÄÚ¹ÚÅÍ À§¿°. F/67. ÀϹÝÀûÀÎ °¨¿° °æ·Î¿Í ¿¬·É, ±×¸®°í ÀϺΠatrophic change°¡ µ¿¹ÝµÇ¾î ÀÖÀ½À» °í·ÁÇÒ ¶§ acute¶ó°í ¸»Çϱâ´Â ¾î·Á¿ï °ÍÀÔ´Ï´Ù. ±×·¯³ª Helicobacter À§¿°Àº Ʋ¸² ¾ø½À´Ï´Ù.

Ç︮ÄÚ¹ÚÅÍ À§¿°. ºñƯÀÌÀûÀÎ »óºÎÀ§Àå°ü Áõ»óÀ» °¡Áø Á߳⠿©¼ºÀÔ´Ï´Ù. ÀÌ·± °æ¿ì´Â ȯÀÚ°¡ »çÀü¿¡ ¸í½ÃÀûÀ¸·Î ¿äûÇÏÁö ¾Ê¾Ò´õ¶óµµ Ç︮ÄÚ¹ÚÅÍ °Ë»ç¸¦ Çϰí ÀÏ´Ü Á¦±ÕÄ¡·á¸¦ ½ÃµµÇÏ´Â °ÍÀÌ ÁÁ´Ù°í »ý°¢ÇÕ´Ï´Ù. (Âü°í: Kyoto global consensus)

Ç︮ÄÚ¹ÚÅÍ À§¿°. Ç÷¾× Åõ¼® ÁßÀΠȯÀÚÀÔ´Ï´Ù. °£ÁúȯÀº ¾ø¾ú½À´Ï´Ù.

Ç︮ÄÚ¹ÚÅÍ À§¿°. 2011³â À¯¹æ¾Ï ¼ö¼ú ȯÀÚÀÇ À§¿°

Helicobacter pylori °¨¿°¿¡ ÀÇÇÑ ºñÈļº À§¿°

Ç︮ÄÚ¹ÚÅÍ À§¿°. ÇÑ ¾Öµ¶ÀÚ²²¼­ À§º®ÀÌ ¾à°£ µÎ²¨¿ö º¸ÀΠȯÀÚ¿¡ ´ëÇÏ¿© ¾Æ·¡¿Í °°ÀÌ ±â¼úÇϰí Á¶Á÷°Ë»ç¸¦ Çϼ̴ٰí ÇÕ´Ï´Ù. "On the GC of HB, folds were getting thicker and more hyperemic. But this site was similar to that in previous exam." Á¶Á÷°Ë»ç´Â Hp À§¿°À¸·Î¸¸ ³ª¿Ô½À´Ï´Ù. ÀÏ´Ü Á¦±ÕÄ¡·á¸¦ ÇØ º¸´Â °ÍÀÌ ÁÁ°Ú´Ù°í comment ÇÏ¿´½À´Ï´Ù.

Ç︮ÄÚ¹ÚÅÍ À§¿°. ¾î¶² Àü°øÀÇ ¼±»ý´ÔÀÇ ³»½Ã°æ °á°úÁöÀÔ´Ï´Ù. Helicobacter Á¦±ÕÄ¡·áÀÇ Á¦ÇÑÀÌ ÀÖ´Â ¿ì¸®³ª¶ó¿¡¼­ Áø´Ü¸í¿¡ Helicobacter-associated gastritis¶ó°í ¾²´Â °ÍÀÌ Å¸´çÇÑÁö ³í¶õÀÌ ÀÖ½À´Ï´Ù. Àú´Â Àû±ØÀûÀ¸·Î Áø´ÜÇϰí Ä¡·áÇÏ´Â °ÍÀÌ ÁÁ´Ù°í »ý°¢ÇÕ´Ï´Ù. (2017³â 8¿ù ´ç½Ã¿¡´Â ³í¶õÀÌ ÀÖ¾ú½À´Ï´Ù. ±×·¯³ª 2018³â Á¦±ÕÄ¡·á ÀûÀÀÁõ È®´ë ÀÌÈÄ¿¡´Â ÁÖÀúÇÏÁö ¸»°í Á¦±ÕÄ¡·á¸¦ ÇÒ °ÍÀ» ±ÇÇϰí ÀÖ½À´Ï´Ù.)

°áÀý¼º À§¿°°ú À§ÁÖ¸§ÀÇ ¾ÆÁÖ °æ¹ÌÇÑ ºñÈÄ. Ç︮ÄÚ¹ÚÅÍ À§¿°¿¡¼­ À§ÁÖ¸§ÀÌ ¾à°£ µÎ²®´Ù´Â °ÍÀº ´ëºÎºÐ ÀÌ Á¤µµÀÇ °æ¹ÌÇÑ ¼Ò°ßÀÔ´Ï´Ù. ¸í¹éÇÑ ºñÈļº À§¿°Àº ÈçÇÏÁö ¾Ê½À´Ï´Ù.

ºñÈļº À§¿° ÇüÅÂÀÇ Ç︮ÄÚ¹ÚÅÍ À§¿°

Helicobacter-associated hyperplastic polyp

ÀüÁ¤ºÎ À§¾Ï + Helicobacter gastritis

À§ÀüÁ¤ºÎ Á¡¸·ÇÏÁ¾¾çÀÌ µÎ °³ ÀÖÀ¸¸é¼­ lymphofollicular gastritis ¼Ò°ßÀÌ º¸¿´½À´Ï´Ù.

À§ÀüÁ¤ºÎ °íµµ¼±Á¾ + Ç︮ÄÚ¹ÚÅÍ À§¿°

78¼¼ ¿©¼ºÀÇ ÀüÇüÀûÀÎ Ç︮ÄÚ¹ÚÅÍ À§¿°ÀÔ´Ï´Ù. ¾à°£ÀÇ hiatal hernia¿Í columnar-lined esophagus ¼Ò°ßÀÌ ÀÖ¾ú½À´Ï´Ù. »ê¿ª·ù Áõ»óÀº ¾ø¾ú½À´Ï´Ù.

SMT ÀǽÉÀ¸·Î ¿À½Å 30´ë ¿©¼º. À§ÀüÁ¤ºÎ¿¡´Â °æ¹ÌÇÑ nodular gastritis, À§ÀúºÎ¿¡´Â diffuse redness, À§Ã¼ºÎ ÁÖ¸§ÀÌ ´Ù¼Ò µÎ²®°í thick exudate°¡ °üÂûµÇ´Â ÀüÇüÀûÀÎ Ç︮ÄÚ¹ÚÅÍ À§¿°À̾ú°í, SMT¶ó°í ¿À½Å °÷Àº single verrucaó·³ º¸¿´À½

À§Ã༺ º¯È­ + ŹÇÑ À§¾×

3Â÷ Á¦±ÕÄ¡·á ½ÇÆÐ. ThickÇÑ exudate.

FundusÀÇ Åð»öµÈ ±×¹°¸Á ¹«´Ì·Î º¸À̱⵵ ÇÕ´Ï´Ù.

F/42 (2020)

À§ ȯÀÚÀÇ Á¶Á÷°Ë»ç. ³»½Ã°æ ¼Ò°ß¿¡¼­ lymphofollicular gastritis°¡ ¶Ñ·ÇÇÏÁö ¾Ê´õ¶óµµ Á¶Á÷°Ë»ç¿¡¼­ lymphoid follicleÀº ¶Ñ·ÇÇÒ ¼ö ÀÖ½À´Ï´Ù.

³²ÀÚ 50¼¼ (Á¶Á÷°Ë»ç)


[Thickened folds]

MALT ¸²ÇÁÁ¾À» ¹èÁ¦ÇÒ ¼ö ¾ø´Ù´Â ¼Ò°ßÀ¸·Î ÀǷڵǾú´Âµ¥ Àç°Ë¿¡¼­´Â H. pylori gastritis with lymphoid follicle·Î ³ª¿È.

Thickened fold·Î º¸¸¸ 4Çü ÁøÇ༺À§¾Ï ÀǽÉÀ¸·Î ÀǷڵǾúÀ¸³ª H. pylori °ü·Ã ÁÖ¸§ ºñÈÄ·Î ÆÇ´ÜµÇ¾úÀ½.


[Salt and pepper]

À̼±¿µ ±³¼ö´ÔÀÇ ¸íÀú 'À§¿°ÀÇ ³»½Ã°æ¼Ò°ß' 55ÂÊ¿¡ ÀÌ·± ¾ð±ÞÀÌ ÀÖ½À´Ï´Ù. "H. pylori °¨¿°ÀÌ Áö¼ÓµÇ¸é ÀÛÀº °áÀýµéÀº ³³ÀÛÇØÁö¸é¼­ Èñ²ýÈñ²ýÇÑ ¼Ò±Ý ÈÄÃß°¡·ç ¾ç»ó (salt-and-pepper)À¸·Î º¯Çذ£´Ù. Èò ºÎºÐµéÀÌ ¹¶Ä¡¸é Á¡¸·ÇÏ Ç÷°ü»óÀÌ Åõ¿µµÇ´Â À§Ã༺ À§¿°À¸·Î º¸À̱⠽ÃÀÛÇÑ´Ù." Lymphofollicular gastritis (= °áÀý¼º À§¿°) ÀÌ ¿À·¡µÇ¸é À§Ã༺ À§¿°À¸·Î º¯Çذ¡´Âµ¥ ±× °úÁ¤¿¡ salt and pepper Á¡¸·ÀÌ º¸Àδٴ °ÍÀÔ´Ï´Ù. ¾Æ·¡¿Í °°ÀÌ º¸ÀÔ´Ï´Ù.

À§Ã¼ÇϺΠ¼Ò¸¸ÀÇ salt and pepper ¾ç»ó°ú À§ÀüÁ¤ºÎÀÇ lymphofollicular gastritis

À§Ã¼ÇϺΠ¼Ò¸¸ÀÇ salt and pepper ¾ç»ó°ú À§ÀüÁ¤ºÎÀÇ À§Ã༺ º¯È­

¼ö ³â Àü ÇÑ ÀϺ» ¿¬±¸(JGH Open 2018;2:80-86)¿¡¼­ corpus white spots¶ó°í ¾ð±ÞÇÑ ºÎÀ§µµ ÀÌ·¯ÇÑ ¼Ò°ßÀ» ¸»ÇÏ´Â °ÍÀ¸·Î »ý°¢µË´Ï´Ù.

Endoscopic appearance and pathological features of nodular gastritis. (a) and (b) are typical endoscopic images of nodular gastritis (NG). (a) An unusual miliary pattern resembling ¡°gooseflesh¡± in the antrum. (b) Antral nodularity is highlighted with chromoendoscopy using indigo?carmine dye spraying. (c) A pathological finding of biopsy specimens from NG. Pathological findings from biopsy specimens are characterized by superficially located prominent lymphoid follicles with a germinal center (hematoxylin and eosin staining). (d) and (e) White spot aggregates in gastric corpus (corpus white spots: CWS) in a patient with NG. A striking result of this study was the link between CWS and risk of cancer development in patients with NG. The histological findings of CWS, examined via surgical specimens, included hyperplasia of lymphoid follicles with intense mucosal inflammation, similar to NG. Patients with NG and CWS have highly active inflammation of the corpus, which is implicated in the development of diffuse?type cancer. Consequently, the presence of CWS, observed during upper endoscopy for patients with NG, should be dutifully noted. Patients who display CWS should undergo urgent H. pylori eradication therapy. (JGH Open 2018;2:80-86)

ÇÑ ¿¬±¸¿¡ µû¸£¸é Ç︮ÄÚ¹ÚÅÍ Á¦±ÕÄ¡·á¸¦ ÇÏÁö ¾ÊÀ¸¸é "ÀÛÀº °ú¸³ÇüÀÇ °áÀý¼º À§¿°Àº ¼Ò±Ý-ÈÄÃß°¡·ç ¾ç»óÀ» °ÅÃÄ À§Ã༺ À§¿°À¸·Î ÁøÇàÇÏ´Â °æÇâÀ» º¸¿´À¸¸ç, Å« °áÀýÇüÀº ºÒ±ÔÄ¢ÇÑ Á¡¸·ÀÇ À¶±â·Î ±¸¼ºµÈ È­»ý¼º À§¿°À¸·Î ÁøÇàÇÏ´Â °æÇâÀ»" º¸ÀÔ´Ï´Ù. (Korean J Gastroenterol 2019)

Lymphofollicular gastritis (= °áÀý¼º À§¿°)°ú salt and pepper ¾ç»ó À§Á¡¸·ÀÌ º¸ÀÌ´Â °æ¿ì Ç︮ÄÚ¹ÚÅ͸¦ °Ë»çÇϰí Ä¡·áÇϽñ⠹ٶø´Ï´Ù.


[Á¦±ÕÄ¡·á ÈÄ È£Àü]

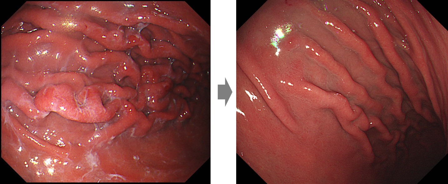
Ç︮ÄÚ¹ÚÅÍ Á¦±ÕÄ¡·á ÈÄ atrophy³ª metaplasia´Â õõÈ÷ È£ÀüµÇÁö¸¸ spotty redness¿Í °°Àº ¼Ò°ßÀº ºñ±³Àû ±Ý¹æ È£ÀüµË´Ï´Ù.

Spotty redness¿Í edematous fold°¡ Á¦±ÕÄ¡·á 1³â ÈÄ ÇöÀúÈ÷ È£ÀüµÊ

Thickened fold·Î º¸¸¸ 4Çü ÁøÇ༺ À§¾Ï ÀǽÉÀ¸·Î ÀǷڵǾúÀ¸³ª Ç︮ÄÚ¹ÚÅÍ Á¦±ÕÄ¡·á ÈÄ ÇöÀúÈ÷ È£Àü

ÁÂÃøÀº Á¦±ÕÄ¡·á Àü Olympus ³»½Ã°æ »çÁø, ¿ìÃøÀº Á¦±Õ 1³â ÈÄ Pentax ³»½Ã°æ »çÁøÀÌÁö¸¸ Á¦±ÕÄ¡·á ÈÄ ÇöÀúÈ÷ È£ÀüµÇ¾úÀ½À» ¾Ë ¼ö ÀÖ½À´Ï´Ù.

Á¦±ÕÄ¡·á ÈÄ ÇöÀúÇÑ È£Àü

Á¦±ÕÄ¡·á 2°³¿ù ÈÄ ÇöÀúÇÑ È£Àü

Á¦±ÕÄ¡·á ÈÄ ÇöÀúÇÑ È£Àü

Á¦±ÕÄ¡·á 5³â ÈÄ À§Á¡¸·. Ç︮ÄÚ¹ÚÅÍ À§Ã༺ À§¿°¿¡¼­ atrophic borderÀÇ ¹Ù±ùÂÊÀº ¿°ÁõÀÌ ½ÉÇØ º¸À̱⠸¶·ÃÀÔ´Ï´Ù. Á¦±ÕÄ¡·á¸¦ ÇÏ¸é ¿°ÁõÀº ÁÙ¾îµå´Âµ¥ À§ÃàÀº È£ÀüµÇÁö ¾Ê´Â °æ¿ì°¡ ÀÖ½À´Ï´Ù. ±×·¯¸é atrophic border ¹Ù±ùÀÇ À§Á¡¸·ÀÌ ³Ê¹«³ª ±ú²ýÇÏ°Ô º¸ÀÏ ¼ö ÀÖ½À´Ï´Ù.

Tokyo classification of gastritis (2017) 55ÂÊ. Á¦±ÕÄ¡·á ÈÄ Ãʱ⿡´Â small granular elevationÀº flattened µÇÁö¸¸ white spotÀº °è¼Ó º¸ÀÏ ¼ö ÀÖ½À´Ï´Ù. ¿À·¡µÇ¸é À§Ã༺ À§¿°ÀÌ ³²´Â´Ù°í ÇÕ´Ï´Ù.

Á¦±ÕÄ¡·á ÈÄ º¸ÀÌ´Â ¼Ò°ß Áß À¯¸íÇÑ °ÍÀÌ map-like rednessÀÔ´Ï´Ù. Atrophy°¡ ÀÖ´ø »ç¶÷¿¡¼­ Ä¡·á ÈÄ ¿°Áõ¸¸ ÀÖ´ø ºÎÀ§¿Í atophy°¡ ÀÖ´ø ºÎÀ§ÀÇ È£Àü ¾ç»óÀÌ ´Þ¶ó¼­ ¹ß»ýÇÏ´Â °ÍÀÔ´Ï´Ù. Map-like redness°¡ ÀÖ´Â °æ¿ì ¾Ï ¹ß»ýÀÌ ¸¹¾Ò´Ù´Â º¸°í°¡ ÀÖ½À´Ï´Ù (Dig Endosc 2016). Patchy redness¿Í whitish elevated lesionsµµ ¼º°øÀûÀÎ Á¦±Õ ÈÄ º¸ÀÏ ¼ö ÀÖ´Â ¼Ò°ßÀÔ´Ï´Ù.


[À§¾Ï + Ç︮ÄÚ¹ÚÅÍ À§¿°]

À§Ã¼ºÎ paleÇÑ Á¶±âÀ§¾Ï(signet ring cell carcinoma) ȯÀÚÀÔ´Ï´Ù. À§Ã¼»óºÎ¿Í fundus¿¡ ÀüÇüÀûÀÎ Helicobacter À§¿°ÀÌ ÀÖ¾ú½À´Ï´Ù.

30´ë ¿©¼º. Signet ring cell carcinoma. Fundus »çÁøÀ» º¸¸é¼­ Á¦ °¡½¿ÀÌ Âõ¾îÁ³½À´Ï´Ù. »¡¸® Ç︮ÄÚ¹ÚÅÍ Á¦±ÕÄ¡·á ÀûÀÀÁõÀ» È®´ëÇØ¾ß ÇÒ °Í °°½À´Ï´Ù. ¾ÈŸ±î¿î »ç¿¬ÀÌ ³Ê¹« ¸¹½À´Ï´Ù.

À¯¹æ¾Ï ¼ö¼ú 5³â ÈÄ À§¾ÏÀÌ Áø´ÜµÇ¾ú½À´Ï´Ù. FundusÀÇ Ç︮ÄÚ¹ÚÅÍ À§¿°ÀÌ ÇöÀúÇÏ¿´½À´Ï´Ù.

¸Å¿ì ÀÛÀº signet ring cell carcinoma + Ç︮ÄÚ¹ÚÅÍ À§¿°

ÀüÁ¤ºÎ Àüº®ÀÇ lymphofollicular gastritis°¡ ¶Ñ·ÇÇß½À´Ï´Ù. Signet ring cell carcinoma

ÀþÀº ¿©¼º À§¾Ï + Ç︮ÄÚ¹ÚÅÍ À§¿°

À§¾Ï + Ç︮ÄÚ¹ÚÅÍ À§¿°

À§¾ÏÀ¸·Î ÀÇ·ÚµÈ 40¼¼ ¿©¼ºÀÔ´Ï´Ù. ÀÇ·Ú ¹ÞÀ» ´ç½Ã À§Ã¼ºÎ ¹ÌºÐÈ­Á¶Á÷Çü À§¾ÏÀ¸·Î¸¸ ÀǷڵǾú½À´Ï´Ù. ±×·±µ¥.... Á¦°¡ º¸´Ï Helicobacter À§¿°ÀÌ ³Ê¹«³ª ¶Ñ·È½À´Ï´Ù. À§¾Ï ¿¹¹æÀ» À§ÇÑ Ç︮ÄÚ¹ÚÅÍ Á¦±ÕÄ¡·á°¡ ²À ÇÊ¿ä´Ù°í »ý°¢ÇÕ´Ï´Ù.
Stomach, radical subtotal gastrectomy:
. Early gastric carcinoma
1. Location : middle third, Center at body and posterior wall
2. Gross type : EGC type IIc
3. Histologic type : tubular adenocarcinoma, poorly (solid) differentiated with mucinous component (30%)
4. Histologic type by Lauren : diffuse
5. Size : 5.4x5 cm
6. Depth of invasion : invades submucosa (sm3) (pT1b)
7. Resection margin: free from carcinoma, safety margin: proximal 2.5 cm, distal 7 cm
8. Lymph node metastasis : no metastasis in 51 regional lymph nodes (pN0)
9. Lymphatic invasion : not identified
10. Venous invasion : not identified
11. Perineural invasion : not identified
12. Peritoneal cytology : negative
13. AJCC stage by 7th edition: pT1b N0

ÀÛÀº signet ring cell carcinoma + Ç︮ÄÚ¹ÚÅÍ À§¿°

MALToma + Ç︮ÄÚ¹ÚÅÍ À§¿°

Ç︮ÄÚ¹ÚÅÍ À§¿°°ú ºñ½ÁÇÑ ¼Ò°ßÀÌÁö¸¸ ½ÇÁ¦·Î Ç︮ÄÚ¹ÚÅÍ °¨¿°ÀÌ ¾ø´Â °æ¿ì°¡ ÀÖ½À´Ï´Ù. Facebook¿¡¼­ ´ëÀÚÀÎ º´¿øÀÇ ³ëµ¿È¿ ±³¼ö´ÔÀÇ °­ÀÇ µ¿¿µ»óÀ» º¸¸é¼­ ÁÁÀº Áõ·Ê°¡ ÀÖ¾î ¼Ò°³ÇÕ´Ï´Ù.


Ç︮ÄÚ¹ÚÅÍ À§¿°¿¡ ´ëÇÏ¿© °í¹ÎÇϸ鼭 Áø·áÇϰí ÀÖ½À´Ï´Ù. ³»½Ã°æÀ¸·Î Ç︮ÄÚ¹ÚÅÍ °¨¿° ¿©ºÎ¸¦ ´ëÃæ ¾Ë ¼ö ÀÖ´ÙÁö¸¸...... ½ÇÁ¦ ÀÓ»ó¿¡¼­´Â ¾Ö¸ÅÇÑ °æ¿ì°¡ ¸Å¿ì ¸¹½À´Ï´Ù. ¾Æ·¡ ȯÀÚÀÇ °æ¿ì´Â ¾î¶»°Ô »ý°¢ÇϽʴϱî?

¾ç¼ºÀ̾ú½À´Ï´Ù. ¿¹, ±×·¸½À´Ï´Ù. ºÁµµ ºÁµµ Àß ¸ð¸£°Ú½À´Ï´Ù. ¶Ñ·ÇÇÑ °æ¿ìµµ ÀÖÁö¸¸ ¾Ö¸ÅÇÑ °æ¿ì°¡ ³Ê¹« ¸¹Àº °ÍÀÌ »ç½ÇÀÔ´Ï´Ù.

¾Æ·¡ »çÁøµµ Ç︮ÄÚ¹ÚÅÍ À§¿°ÀÔ´Ï´Ù. ¸Ö¸®¼­ ´ë°­ º¸¸é Àß ¾Ë ¼ö ¾øÀ¸³ª °¡±îÀ̼­ high body¿Í fundus¸¦ º¸¸é Ç︮ÄÚ¹ÚÅÍ À§¿°À̶ó´Â ¶Ñ·ÇÇÑ Áõ°Å°¡ ÀÖ½À´Ï´Ù.


[2018-12-7. ÀÌÁØÇà È¥À㸻]

"³»½Ã°æ °á°úÁö¿¡ Helicobacter À§¿°ÀÌ¶ó ¾º¿© Àִµ¥ Ç︮ÄÚ¹ÚÅÍ °Ë»ç´Â µÇ¾î ÀÖÁö ¾ÊÀº °æ¿ì¸¦ º¸¾ÒÀ¸´Ï ÀǰßÀ» Á¤¸®ÇØ ´Þ¶ó"´Â ¿äûÀ» ¹Þ¾Ò½À´Ï´Ù.

(1) 2018³â 1¿ùºÎÅÍ Ç︮ÄÚ¹ÚÅÍ¿¡ ´ëÇÑ °Ë»ç°¡ °¡´ÉÇØÁ³´ÙÁö¸¸, Ưº°ÇÑ °æ¿ì(À§±Ë¾ç, ½ÊÀÌÁöÀå ±Ë¾ç µî)¸¦ Á¦¿ÜÇϸé '¼±º° ±Þ¿©'ÀÔ´Ï´Ù. ȯÀÚ°¡ °Ë»çºñ ´ëºÎºÐÀ» ÀÚºñ·Î ³»¾ß ÇÕ´Ï´Ù. °Ë»çºñ¸¦ ÀÚºñ·Î ³»¾ß Çϴµ¥ »çÀü µ¿ÀÇ´Â ÇÊ¿äÇϰÚÁö¿ä. ±×´ÙÁö ºñ½ÎÁö ¾Ê´Ù¸é »çÀü µ¿ÀÇ ¾øÀÌ ¼±º° ±Þ¿© °Ë»ç¸¦ ÇØµµ ÁÁ´Ù°í »ý°¢ÇÏ´Â ºÐµµ °è½ÃÁö¸¸ ¿øÄ¢Àº ¾Æ´Ï°Ú½À´Ï´Ù.

(2) ¿ì¸®³ª¶ó¿¡¼­´Â ³»½Ã°æÀ¸·Î Ç︮ÄÚ¹ÚÅÍ °¨¿°À» Áø´ÜÇϱâ À§ÇÑ ½Ãµµ¸¦ ÇØ º» ¿ª»ç°¡ ÀÏõÇÕ´Ï´Ù. ¾ÆÁÖ ÃÖ±Ù¿¡¾ß Çмú ¸ðÀÓ¿¡¼­ Ç︮ÄÚ¹ÚÅÍ À§¿°ÀÇ ³»½Ã°æ Áø´ÜÀ» ³íÇϰí ÀÖÀ» »Ó, ¸î ³â Àü±îÁö¸¸ ÇØµµ ÀüÇô µéÀ» ¼ö ¾ø¾ú½À´Ï´Ù. Diffuse redness¶ó´Â ¿ë¾î¸¦ Àß ¸ð¸£´Â ºÐµµ ¸¹½À´Ï´Ù. °á°úÁö¿¡ "Ç︮ÄÚ¹ÚÅÍ À§¿°"À̶ó°í ¾º¿© ÀÖÀ¸¸é ¾î¶»°Ô ÇØ¾ß ÁÁÀ»Áö Á¤ÇØÁø ¹Ùµµ ¾ø½À´Ï´Ù.

(3) ³»½Ã°æ À°¾È ¼Ò°ß¿¡ µû¶ó °á°úÁö¿¡ "Ç︮ÄÚ¹ÚÅÍ À§¿°"À̶ó°í ¾²¸é, À̸¦ ±Ù°Å·Î Ç︮ÄÚ¹ÚÅÍ Á¦±ÕÄ¡·á(ÀÌ ¶ÇÇÑ ¼±º°±Þ¿©ÀÔ´Ï´Ù)¸¦ ÇÒ ¼ö ÀÖ´ÂÁöµµ Àǹ®ÀÔ´Ï´Ù.

µû¶ó¼­ 2018³â 12¿ù ÇöÀç¿¡´Â ³»½Ã°æ ¼Ò°ß¸¸À» ±Ù°Å·Î ³»½Ã°æ °á°úÁö impression ¶õ¿¡ 'Ç︮ÄÚ¹ÚÅÍ À§¿°'ÀÌ¶ó ¾²´Â °ÍÀº ´Ù¼Ò ¼º±ÞÇÑ °Í °°½À´Ï´Ù. ²À ¾²°í ½ÍÀ¸¸é chronic gastritis (r/o Helicobacter-associated) Á¤µµÀÇ ¾Ö¸ÅÇÑ Ç¥ÇöÀÌ ³´°Ú½À´Ï´Ù.

"°á°úÁö¿¡ 'chronic gastritis (r/o Helicobacter-associated)'¶ó°í ¾²¸é ¹Ýµå½Ã Ç︮ÄÚ¹ÚÅÍ °Ë»ç¸¦ ÇØ¾ß ÇÏ´Â °Í ¾Æ´Ñ°¡?" Áú¹®ÇÏ´Â ºÐÀÌ °è½Ç °Í °°½À´Ï´Ù. ¸¾´ë·Î ÇϽʽÿÀ. ÇÊ¿äÇÏ¸é ¾ðÁ¦µçÁö Ç︮ÄÚ¹ÚÅÍ °Ë»ç°¡ °¡´ÉÇÑ Á¦µµ¸é ÁÁ°ÚÁö¸¸, ÇöÇà ±ÔÁ¤Àº '¼±º° ±Þ¿©'À̱⠶§¹®¿¡ ÀϰüµÈ ¹æÄ§À» Á¤ÇÒ ¼ö ¾ø½À´Ï´Ù. °Ë»ç°¡ ³¡³­ ÈÄ È¯ÀÚ°¡ "¿Ö ºñº¸Çè °Ë»ç¸¦ Çã¶ô¾øÀÌ Çߴ°¡?"¶ó°í ¹°¾úÀ» ¶§ Àß ¼³¸íÇÒ ÀÚ½ÅÀÌ ÀÖÀ¸¸é (= °æ¿ì¿¡ µû¶ó µ·À» ¹°¾î³¾ »ý°¢ÀÌ ÀÖÀ¸¸é, ¾ÆÁÖ °¡²û ¸è»ìµµ^^) »çÀü µ¿ÀÇ ¾øÀÌ °Ë»ç¸¦ ÇØµµ ÁÁ½À´Ï´Ù. ±×·² ÀÚ½ÅÀÌ ¾øÀ¸¸é °Ë»çÇÏÁö ¾Ê¾Æµµ ÁÁ½À´Ï´Ù. ¾ÆÁ÷±îÁö´Â ¼±º°±Þ¿©´Â ºñº¸ÇèÀ¸·Î ÀÌÇØÇϴ ȯÀÚµéÀÌ ¸¹±â ¶§¹®ÀÔ´Ï´Ù. "90%¸¦ ³»°¡ µ·À» ³»¾ß ÇÑ´Ù¸é ±×°Ô ºñº¸ÇèÀÌÁö ¿Ö º¸ÇèÀ̳Ä?"¶ó´Â ȯÀÚÀÇ Áú¹®Àº Ÿ´çÇÑ ¹®Á¦Á¦±âÀÔ´Ï´Ù.


¾Æ»êº´¿ø¿¡¼­´Â simple scoring systemÀ» ¸¸µé¾ú½À´Ï´Ù.

KJIM 2025


4. Ç︮ÄÚ¹ÚÅÍ À§¿°¿¡ ´ëÇÑ À̼±¿µ ±³¼ö´Ô°ú ±è±¤ÇÏ ±³¼ö´ÔÀÇ °­ÀÇ

1) 2016³â 3¿ù 20ÀÏ ³»½Ã°æÇÐȸ ¼¼¹Ì³ª¿¡¼­ °Ç±¹´ë À̼±¿µ ±³¼ö´Ô²²¼­ Ç︮ÄÚ¹ÚÅÍ °¨¿°ÀÇ ´Ü°è¿¡ µû¸¥ À§Á¡¸· º¯È­¸¦ schematicÇÏ°Ô ¼³¸íÇϼ̽À´Ï´Ù.


2) 2016³â 12¿ù 3ÀÏ Ç︮ÄÚ¹ÚÅÍ ½ÉÆ÷Áö¾ö¿¡¼­ ±è±¤ÇÏ ±³¼ö´Ô²²¼­ ÀϺ»¿¡¼­ ÀÌÇØÇϰí ÀÖ´Â Helicobacter gastritisÀÇ ³»½Ã°æ ¼Ò°ßÀ» Ç¥·Î º¸¿©Áּ̽À´Ï´Ù.

Helicobacter °¨¿° ¿©ºÎ¿¡ µû¶ó ³»½Ã°æ ¼Ò°ß¿¡ Â÷À̰¡ ÀÖ½À´Ï´Ù. Chronic infectionÀº À§Ã༺ À§¿°°ú È­»ý¼º À§¿°, recent infectionÀº rugal hyperplastic gastritis, nodular gastritisÀÇ ¼Ò°ßÀ» º¸ÀÔ´Ï´Ù. (Âü°í: EndoTODAY ºñÈļº À§¿°)


3) Helicobacter À§¿°: ³»½Ã°æÀ¸·Î Áø´ÜÇÒ ¼ö ÀÖÀ»±î? À̼±¿µ (2018³â 3¿ù 25ÀÏ ³»½Ã°æÇÐȸ¼¼¹Ì³ª)

À̼±¿µ ±³¼ö´ÔÀº ºñ±³Àû ±Þ¼º±âÀÇ È°µ¿¼º Ç︮ÄÚ¹ÚÅÍ À§¿°¿¡ ´ëÇÏ¿© ÀÚ¼¼È÷ ¼³¸íÇØ Áּ̽À´Ï´Ù. (1) ÁÖ¸§ºñ´ë, Á¡¸·ºÎÁ¾ ¹× ŹÇÑ À§¾×, (2) ±âÀúºÎÀÇ Á¡»ó ÃâÇ÷°ú ¹ßÀû, (3) °áÀý¼º À§¿° (lymphofollicular gastritis, ÀÛÀº °ú¸³ÇüÀº À§Ã༺ À§¿°À¸·Î ÁøÇàÇÏ´Â °æÇâÀÌ ÀÖ°í Å« °áÀýÇüÀº È­»ý¼ºÀ§¿°À¸·Î ÁøÇàÇÏ´Â °æÇâÀÌ ÀÖ½À´Ï´Ù)ÀÔ´Ï´Ù. Ç︮ÄÚ¹ÚÅÍ °¨¿°ÀÌ º¸´Ù ¿À·¡µÈ °æ¿ì´Â (4) À§Ã༺ À§¿°, (5) Ȳ»öÁ¾, (6) Àå»óÇÇÈ­»ý (Áöµµ»ó ¹ßÀû, ÇÔ¸ôÇü ¹ßÀûÀº Àå»óÇÇÈ­»ýÀÇ ¼Ò°ßÀÓ) µîÀÌ °üÂûµË´Ï´Ù.

(2016)

Á¦°¡ 'ºñ±³Àû ±Þ¼º±âÀÇ È°µ¿¼º Ç︮ÄÚ¹ÚÅÍ À§¿°'¿¡ ´ëÇÏ¿© °ü½ÉÀ» °¡Áö°í ÀÖ´Â ÀÌÀ¯´Â EndoTODAY Ç︮ÄÚ¹ÚÅÍ Á¶Á÷°Ë»ç¿¡ ´ëÇÑ position statement, version 2018-3-15)ÀÇ Á¶Á÷°Ë»ç ÀûÀÀÁõ¿¡ '°áÀý¼º À§¿°'Àº Æ÷ÇÔ½ÃÄ×Áö¸¸, '(1) ÁÖ¸§ºñ´ë, Á¡¸·ºÎÁ¾ ¹× ŹÇÑ À§¾×'°ú '(2) ±âÀúºÎÀÇ Á¡»ó ÃâÇ÷°ú ¹ßÀû'À» Æ÷ÇÔ½ÃŰÁö ¾Ê¾Ò±â ¶§¹®ÀÔ´Ï´Ù. À̼±¿µ ±³¼ö´Ô²²¼­´Â (1)°ú (2)µµ Æ÷ÇÔ½ÃŰ´Â °ÍÀÌ ÁÁ°Ú´Ù°í ¸»¾¸Á̴ּµ¥ Àúµµ ¸¶À½ ¼ÓÀ¸·Î µ¿ÀÇÇϰí ÀÖ½À´Ï´Ù.

±×·¯³ª ¿ì¸®³ª¶ó ³»½Ã°æ ÀÇ»çµéÀÌ ¾ÆÁ÷±îÁö´Â 'ºñ±³Àû ±Þ¼º±âÀÇ È°µ¿¼º Ç︮ÄÚ¹ÚÅÍ À§¿°'¿¡ Àͼ÷ÇÏÁö ¾Ê°í, ƯÈ÷ (1) ÁÖ¸§ºñ´ë, Á¡¸·ºÎÁ¾ ¹× ŹÇÑ À§¾×, (2) ±âÀúºÎÀÇ Á¡»ó ÃâÇ÷°ú ¹ßÀûÀ» Ç︮ÄÚ¹ÚÅÍ °¨¿°°ú ¿¬°á½ÃÄѿ ÀüÅëÀÌ ¾ø½À´Ï´Ù. ¿ì¸®³ª¶ó ³»½Ã°æ ÀÇ»çµéÀÌ ÀÌ¿¡ ´ëÇÑ °³³ä°ú °æÇèÀ» °®°Ô µÈ´Ù¸é Àúµµ position statement¸¦ º¯°æÇÒ ¿¹Á¤ÀÔ´Ï´Ù. ¸Å¿ì Áß¿äÇÑ topic¿¡ ´ëÇÏ¿© compactÇϰí Ãæ½ÇÇÑ °­ÀǸ¦ ÇØ ÁֽŠÀ̼±¿µ ±³¼ö´Ô²² °¨»çµå¸³´Ï´Ù.


5. Serum pepsinogen test ¿Í À§Ã༺ À§¿°

[H. pylori °¨¿°°ú serum pepsinogen test]

À̼±¿µ ±³¼ö´ÔÀÇ ³í¹® (Endoscopic gastritis, serum pepsinogen assay, and Helicobacter pylori infection. Korean J Intern Med 2016)¿¡¼­ ¿Å±é´Ï´Ù.

Á¤»ó À§ÀÔ´Ï´Ù. PG IÀº ÁÖ·Î fundus¿¡¼­ ºÐºñµÇ°í PG II´Â Àü stomach¿¡¼­ ºÐºñµË´Ï´Ù.

Helicobacter pylori °¨¿°ÀÌ ¿À·¡ µÇÁö ¾ÊÀº »óÅÂÀÔ´Ï´Ù. ¾ÆÁ÷ À§Ã༺ º¯È­°¡ ¿ÀÁö ¾Ê¾Ò°í ¿°Áõ¼º º¯È­¸¸ ¸¹Àº »óÅÂÀÔ´Ï´Ù. PG ºÐºñ´Â ¿ÀÈ÷·Á ³ô¾ÆÁø »óÅÂÀÔ´Ï´Ù.

Helicobacter pylori °¨¿°ÀÌ ¸¸¼ºÈ­µÇ¸é À§Ã༺ º¯È­°¡ ÇöÀúÇØÁý´Ï´Ù. PG I°ú PG II°¡ ¸ðµÎ ÁÙ¾îµå´Âµ¥, PG IÀÌ »ó´ëÀûÀ¸·Î ´õ ¸¹ÀÌ ÁÙ¾îµé¾î PG I/II ratioµµ ³·¾ÆÁý´Ï´Ù.

Gastric corpus atrophy is defined as a serum PG I/II ratio of < 3.0 and a serum PG I level of < 70 ng/mL. Although endoscopic, histological, and serological atrophic gastritis are well correlated, the presence of gastric corpus atrophy is not always consistent with CAG found by endoscopy. When histological atrophic gastritis progresses, serum PG I levels and the PG I/II ratio are decreased. Similarly, when the extent of atrophy is increased, the serum PG I/II ratio decreases. Moreover, the serum PG I/II ratio is significantly decreased in subjects with severe or moderate CAG than in those with mild CAG.


[2021-4-17. ¼øÃµ¸¸³»½Ã°æ¼¼¹Ì³ª À̼±¿µ ±³¼ö´Ô °­ÀÇ- À§¿°¿¡ ´ëÇÑ Ç÷û°Ë»ç]

Anti-Helicobacter Ç×ü°¡ ¾ç¼ºÀÌ¶óµµ ¼öÄ¡°¡ ³·À¸¸é false positiveÀÎ °æ¿ì°¡ ¸¹½À´Ï´Ù.

anti-Helicobacter Ç×ü ¼öÄ¡°¡ ³ô¾Ò´ø »ç¶÷ÀÌ Á¦±ÕÄ¡·á ÈÄ Ç×ü ¼öÄ¡°¡ »ó´çÈ÷ ³·¾ÆÁö¸é ºñ·Ï ¾ç¼ºÀ̶ó°í ÇÏ´õ¶óµµ Ç︮ÄÚ¹ÚÅÍ Á¦±ÕÄ¡·á ¼º°øÀÓÀ» ÀǹÌÇÕ´Ï´Ù.

PG-II°¡ Ç︮ÄÚ¹ÚÅÍ¿¡ µµ¿òÀÌ µÇ°í PG-I´Â À§Ã༺ À§¿°¿¡ µµ¿òÀÌ µË´Ï´Ù.

PPI »ç¿ë½Ã ¿©ÀÚ¿¡¼­´Â ³³ÀÛÇÑ fundic gland polypÀÌ ¸¹ÀÌ ¹ß»ýÇϰí, ³²ÀÚ¿¡¼­´Â cobblestone appearance¸¦ º¸ÀÏ ¼ö ÀÖ½À´Ï´Ù.


[2013-7-8. ¾Öµ¶ÀÚ Áú¹®]

À§Ã༺ À§¿° Á¤µµ¸¸ À־´Â CLOtest ¾ç¼ºÀ̾ Á¦±ÕÄ¡·á¸¦ ±ÇÀåÇϽôÂÁö¿ä?

[2013-7-8. ÀÌÁØÇà ´äº¯]

ÀÇ·áÁø¸¶´Ù »ý°¢ÀÌ ´Ù¸¥ ºÐ¾ßÀÔ´Ï´Ù. Àú´Â ±ÕÀÌ ³ª¿À¸é ²À Ä¡·áÇØ¾ß ÇÏ´Â »óȲ¿¡¼­¸¸ CLOtest¸¦ ½ÃÇàÇÕ´Ï´Ù. À§±Ë¾çÀ̳ª ½ÊÀÌÁöÀå±Ë¾ç, MALT ¸²ÇÁÁ¾ µîÀÔ´Ï´Ù. À§Ã༺ À§¿°¿¡¼­´Â CLOtest¸¦ ½ÃÇàÇÏÁö ¾Ê½À´Ï´Ù. ÀÌ·¯Áöµµ Àú·¯Áöµµ ¸øÇÏ´Â »óȲÀÌ µÇ±â ½±±â ¶§¹®ÀÔ´Ï´Ù. ¿ì¿¬È÷ À§Ã༺ À§¿° ȯÀÚ¿¡¼­ Ç︮ÄÚ¹ÚÅÍ ¾ç¼ºÀÌ ³ª¿Íµµ Ä¡·á¸¦ ¸ÕÀú ±ÇÇÏÁö´Â ¾Ê½À´Ï´Ù.

±×¸®°í À§Ã༺ À§¿°¿¡¼­ Ç︮ÄÚ¹ÚÅ͸¦ °Ë»çÇÏ´Â °Í ÀÚü°¡ ÇöÇà ±ÔÁ¤ ¹ÛÀÔ´Ï´Ù. ÀÌÀ¯°¡ ¸íÈ®ÇÑ °æ¿ì¿¡´Â ±ÔÁ¤¹ÛÀÌ¶óµµ CLOtest¸¦ ÇØº¼ ¼ö ÀÖ´Ù°í »ý°¢ÇÕ´Ï´Ù. ±×·¯³ª Àú´Â °¡±ÞÀû ÇöÇà ±ÔÁ¤À» Áöų °ÍÀ» ±ÇÇÕ´Ï´Ù. ¸¹Àº ¿¬±¸¿Í consensus meeting µîÀ» ÅëÇØ ±ÔÁ¤À» ¹Ù²Ù±â À§ÇØ ³ë·ÂÇÏ´Â °ÍÀÌ ¿Ç½À´Ï´Ù. ÀÇ»ç °³°³ÀÎÀÌ ³ª¸§ÀÇ »ý°¢À¸·Î ³Ê¹« ½±°Ô ±ÔÁ¤À» À§¹ÝÇÏ´Â °ÍÀº ¹Ù¶÷Á÷ÇÏÁö ¾Ê´Ù°í º¾´Ï´Ù. ÀÌ·Î ÀÎÇÑ È¯ÀÚµéÀÇ È¥¼±µµ Å®´Ï´Ù. º´¿ø¸¶´Ù Àǻ縶´Ù ´Ù¸£¸é ȯÀÚ´Â Çò°¥¸®±â ¸¶·ÃÀÔ´Ï´Ù. º¸Åë ÁÁÁö ¾ÊÀº ¹æÇâÀ¸·Î °á·ÐÀÌ ³³´Ï´Ù.

[2018-6-17. ÀÌÁØÇà ¼öÁ¤ ´äº¯]

2018³â 1¿ù 1ÀϺÎÅÍ Ç︮ÄÚ¹ÚÅÍ Á¦±ÕÄ¡·á°¡ ÀûÀÀÁõ°ú ¹«°üÇÏ°Ô ÇÕ¹ýÈ­ µÇ¾ú½À´Ï´Ù. 2018³âºÎÅÍ´Â Ç︮ÄÚ¹ÚÅÍ °¨¿°ÀÌ È®ÀÎµÈ À§Ã༺ À§¿°¿¡¼­´Â Á¦±ÕÄ¡·á¸¦ ±ÇÇϰí ÀÖ½À´Ï´Ù.


6. ¾Öµ¶ÀÚÀÌÀÚ µ¿¹®À̽ðí blog 'Áö¹æÀÇ»çÀÇ ¼¼·ÃµÈ ³»°ú Ŭ¸®´Ð' ¿î¿µÀÚÀ̽Š´ëÀÚÀÎ º´¿ø ³»°ú ³ëµ¿È¿ ¼±»ý´ÔÀÇ 'Ç︮ÄÚ¹ÚÅÍ Áø´Ü°ú Ä¡·á'

±³¼ö´Ô, ÀüÈ­¸¦ ¹Þ°í Á¤¸» °¨»çÇß½À´Ï´Ù.

º´¿øÀ» ¶°³­Áö ¸î³â Áö³­ Á¦ÀÚ¸¦ ±â¾ïÇØ Áֽðí, ºÎÁ·ÇÑ ÀúÀÇ ¹ßÇ¥±îÁö ºÁ Áּż­ °¨»çÇÕ´Ï´Ù. ±³¼ö´ÔÀÇ EndoTODAY´Â 2weekly ¶Ç´Â monthly·Î Á¤µ¶Çϰí ÀÖ½À´Ï´Ù. ºñ·Ï Á¦°¡ ´ëÇк´¿øÀ» ¶°³µÁö¸¸, ±³¼ö´Ô²²¼­ Ç×»ó ¸»¾¸ÇϽŴë·Î ¹Ù¸¥ ³»½Ã°æÀ» Çϱâ À§Çؼ­ ³ë·ÂÇϰí ÀÖ½À´Ï´Ù. ¾ðÁ¦ ¾îµð¼­µç »ï¼º¼­¿ïº´¿ø ¼ÒÈ­±â³»°ú¿¡ ´©°¡ µÇÁö ¾Ê´Â ¼ÒÈ­±âÀǻ簡 µÇ°Ú½À´Ï´Ù.

ÇÙ½É ½½¶óÀ̵常 ±×¸² ÆÄÀÏ·Î ¸¸µé¾îº¸¾Ò½À´Ï´Ù. °¨»çÇÕ´Ï´Ù.


[Lectures]

1) 2019-10-13. À̼±¿µ ±³¼ö´Ô °­ÀÇ

°í·ÉÀÚÀÇ À§¾ÏÀº ÁÙ°í ÀÖÀ¸³ª ÀþÀº ȯÀÚÀÇ À§¾ÏÀº ´Ã°í ÀÖ½À´Ï´Ù. 1Â÷ ¿¹¹æÀ» À§ÇÑ ³ë·ÂÀÌ ÇÊ¿äÇÔÀ» º¸¿©ÁÖ´Â ÀÚ·áÀÔ´Ï´Ù.

True Hp À½¼º À§¾ÏÀÇ Àý¹ÝÀÌ ±ÙÀ§ºÎ À§¾ÏÀÔ´Ï´Ù.

Á¶Á÷°Ë»çÀÇ sensitivity´Â ÃæºÐÇÏÁö ¾ÊÀ¸¹Ç·Î ´ëº¯ °Ë»ç¸¦ Ãß°¡ÇÏ´Â °ÍÀ» ÃßõÇÏ°í ½Í½À´Ï´Ù. ±×·¯³ª ¿ì¸®³ª¶ó¿¡¼­´Â ¿ö³« ó¹æ·Ê°¡ Àû¾î¼­ Á¦Á¶»ç°¡ »ý»ê Áß´ÜÀ» °í·ÁÇϰí ÀÖ´Â Á¤µµ¶ó°í ÇÕ´Ï´Ù.

Yes/No»Ó¸¸ ¾Æ´Ï°í ¼öÄ¡·Î Á¦½ÃµÇ±â ¶§¹®¿¡ ¸Å¿ì À¯¿ëÇÕ´Ï´Ù.

°áÀý¼º À§¿°Àº granular type°ú nodular typeÀÌ ÀÖ½À´Ï´Ù. Ä¡·áÇÏÁö ¾ÊÀ¸¸é granular typeÀº atrophic gastritis·Î mixed nodular typeÀº metaplastic gastritis·Î ¹ßÀüÇÕ´Ï´Ù.

°ú°Å¿¡´Â ¼öÁ÷°¨¿°ÀÌ ´ëºÎºÐÀ̶ó°í »ý°¢µÇ¾úÁö¸¸ ÃÖ±Ù¿¡´Â ¼öÆò°¨¿°µµ »ý°¢º¸´Ù ¸¹´Ù´Â ÀÚ·á°¡ ÀÖ½À´Ï´Ù.


[FAQ]

[2013-10-12. ¾Öµ¶ÀÚ Áú¹®]

Àú´Â ³»°ú °³¿øÀÇÀÔ´Ï´Ù. Ç︮ÄÚ¹ÚÅÍ Á¦±ÕÄ¡·á´Â Metaplasia ÀÌÀü ´Ü°è¿¡¼­¸¸ Á¶Á÷ÇÐÀû È£ÀüÀÌ °¡´ÉÇÑ °ÍÀ¸·Î ¾Ë°í ÀÖ½À´Ï´Ù. ±×·¯³ª ÇöÀçÀÇ Á¦±ÕÄ¡·á ÀûÀÀÁõ ȯÀÚ Áß¿¡´Â ÀÌ¹Ì metaplasia¸¦ °¡Áø ȯÀÚµéÀÌ ¸¹À» °Í °°½À´Ï´Ù. ¿¹¸¦ µé¾î Á¶±âÀ§¾Ï ESD ȯÀÚµé Áß ÀÌ¹Ì metaplasia¸¦ °¡Áø ȯÀÚµµ ¸¹½À´Ï´Ù. ÀÌ·± ºÐµéÀº Á¦±ÕÄ¡·á·Î À§¾Ï¹ß»ýÀ» ¾ïÁ¦½Ãų ¼ö ÀÖÀ»Áö Àǹ®ÀÔ´Ï´Ù. Åë°èÀÚ·á´Â ±×·¸´õ¶óµµ ÀÌ·ÐÀûÀÎ background´Â ÀÌÇØ°¡ ¾È µÇ´Â ºÎºÐÀÔ´Ï´Ù.

±Ø´ÜÀûÀ¸·Î »ý°¢Çغ¸¸é ȯÀÚµéÀÌ metaplasia°¡ ÀÖ´Ù¸é HP eradicationÀº ±Ë¾çÀç¹ß¹æÁö ¹× MALToma¿¡´Â È¿°ú°ú ÀÖÀ»Áö ¸ð¸£Áö¸¸, metaplasia°¡ ÀÌ¹Ì Á¸ÀçÇÏ´Â Á¶±âÀ§¾ÏÀ̶óµçÁö À§¾ÏÀÇ °¡Á··ÂÀÌ ÀÖÀ» °æ¿ì¿¡´Â Á¦±ÕÄ¡·á°¡ È¿°ú°¡ ¾øÁö ¾ÊÀ»±î »ý°¢µË´Ï´Ù. Ȥ½Ã metaplasia°¡ Àִ ȯÀÚ¿¡¼­´Â ¾î¶² »óȲ¿¡¼­µµ Á¦±ÕÄ¡·á°¡ È¿°ú°¡ ¾ø´Â °Í ¾Æ´Ò±î¿ä?

[2013-10-12. ÀÌÁØÇà ´äº¯]

ÁÁÀº Áú¹® °¨»çÇÕ´Ï´Ù. ¹«Ã´ ¾î·Á¿î ³»¿ëÀÔ´Ï´Ù Á¤¼³µµ ¾ø±¸¿ä....

1. Intestinal metaplasiaÀÇ Áø´Ü

Intestinal metaplasiaÀÇ ³»½Ã°æ Áø´Ü°ú pathology Áø´ÜÀÇ ÀÏÄ¡µµ´Â ¸Å¿ì ³·´Ù°í ¸»¾¸µå¸° ¹Ù ÀÖ½À´Ï´Ù. µû¶ó¼­ metaplasia¸¦ ±âÁØÀ¸·Î ±× ÀÌÀüÀº reversibleÇÏ°í ±× ÀÌÈÄ´Â reversible ÇÏÁö ¾Ê´Ù°í »ý°¢ÇÏ´Â °ÍÀº Áö³ªÄ£ ´Ü¼øÈ­¶ó°í ÇÒ ¼ö ÀÖ½À´Ï´Ù. Intestinal metaplasiaÀÇ Á¤ÀÇ¿Í Áø´Ü¹ý ÀÚü°¡ ¸íÈ®ÇÏÁö ¾Ê±â ¶§¹®¿¡ ±× ¼º°ÝÀ» ´ÜÁ¤Çϱ⠾î·Á¿î °ÍÀÔ´Ï´Ù. ½ÉÇÑ intestinal metaplasia´Â ¹°·Ð reversibility°¡ ³·°í ´ú ½ÉÇÑ intestinal metaplasia´Â ¾î´À Á¤µµÀÇ reversibility¸¦ °¡Áö°í ÀÖ´Ù°í »ý°¢ÇÕ´Ï´Ù. Àú´Â digitalÀÌ ¾Æ´Ï¶ó analog·Î ÀÌÇØÇÏ°í ½Í½À´Ï´Ù.

2. Hp Á¦±ÕÀ¸·Î intestinal metaplasia°¡ È£ÀüµÉ ¼ö Àִ°¡?

¿¬±¸ °á°ú´Â ´Ù¾çÇÕ´Ï´Ù. »ó´çÈ÷ ¸¹Àº ¿¬±¸´Â positive data¸¦ º¸¿©ÁÖ°í ÀÖ½À´Ï´Ù. ´ë°­ ¹Ý¹ÝÀ¸·Î º¸½Ã¸é µË´Ï´Ù.

3. Á¶±âÀ§¾Ï ȯÀÚ´Â ´ëºÎºÐ intestinal metaplasia¸¦ °¡Áö°í ÀÖÀ» °ÍÀε¥ Á¦±ÕÄ¡·á°¡ µæÀÌ ÀÖÀ»±î¿ä?

¿¬±¸ °á°ú¸¦ º¸½Ã¸é µæÀÌ Å©Áö´Â ¾Ê½À´Ï´Ù. Àú´Â ¾à°£ µæÀÌ µÉ °ÍÀ¸·Î º¾´Ï´Ù. ±×·¯³ª Á¦±Õ ÈÄ ³»½Ã°æ ÃßÀû°üÂûÀ» °ÔÀ»¸® ÇÒ Á¤µµ·Î Á¦±ÕÀÇ µæÀÌ Å©Áö´Â ¾Ê½À´Ï´Ù. False sense of safety¸¦ ÁÖÀÇÇØ¾ß ÇÕ´Ï´Ù. °ú°Å Ȳ´çÇÑ ±âºÐÀ¸·Î Àоú´ø ½Å¹® ±â»ç¸¦ ¼Ò°³ÇÕ´Ï´Ù. "Ç︮ÄÚ¹ÚÅͱÕÀ» ¾ø¾Ö°í ³­ ÈÄ 20³â µ¿¾ÈÀº ³»½Ã°æ °Ë»ç¸¦ ¹ÞÀ» Çʿ䵵 ¾ø°í À§¾Ï ¹ß»ýÀ» 90% ÀÌ»ó ÁÙÀÏ ¼ö ÀÖ¾î..."¶ó´Â ±«»óÇÑ ÁÖÀåÀÔ´Ï´Ù. ³ëº§»óÀ» ¹Þ¾Ò´Ù´Â »ç¶÷ÀÌ ÇÑ ¸»Àε¥ ¾îÀ̰¡ ¾ø½À´Ï´Ù. ¿äÁòÀº ¾ßÄí¸£Æ®¸¦ ÆÈ°í ÀÖÀ¸´Ï Àú´Â º°·Î ½Å·ÚÇÏÁö ¾Ê½À´Ï´Ù. ¹®Á¦´Â ±¹¹ÎµéÀÌ Àú°°Àº ÀÇ»çÀÇ ¸»º¸´Ù ³ëº§»óÀÇ ±ÇÀ§¸¦ ³ô°Ô »ý°¢ÇÑ´Ù´Â Á¡ÀÔ´Ï´Ù. ³ëº§»óÀÌ¾ß ÆøÅºÆÈ¾Æ ¹ø µ·À¸·Î ¸¸µç »óÀÏ »ÓÀ̵¥...


³ëº§»ó ¼ö»óÀÚÀÇ ¹ß¾ð Áß ÃÖ°í ¾ûÅ͸® ¹ß¾ðÀÔ´Ï´Ù.

ÀÓ»óÀÇ ¹®Á¦¸¦ ¸íÄèÇÏ°Ô ´äÇØÁÖ´Â ÁÁÀº ¿¬±¸´Â ÈçÄ¡ ¾Ê½À´Ï´Ù. ¿¬±¸´Â Àß controlled µÈ »óÅ¿¡¼­ ÀÌ·ç¾îÁý´Ï´Ù. ȯÀÚ´Â Á¦°¢°¢ÀÇ º¯¼ö¸¦ °¡Áö°í ÀÖ½À´Ï´Ù. °³º° ÀÇ·áÁøÀº ¿¬±¸ °á°ú¿Í ¹è°æÀ» Àß ÀÌÇØÇÑ ÈÄ ÀûÀýÈ÷ ÇØ¼®(ȤÀº extrapolation)ÇØ¾ß ÇÕ´Ï´Ù. ÀÇÇÐÀ» ¿¹¼úÀ̶ó ºÎ¸£´Â ÀÌÀ¯À̱⵵ ÇÕ´Ï´Ù. öÇÐÀ̶ó ºÎ¸£´Â ºÐµµ °è½Ê´Ï´Ù.


[2017-3-3. ¾î¶² ȯÀÚ Áú¹®]

³»½Ã°æ °Ë»ç ÇÒ ¶§¸¶´Ù ÀÌ»óÇÏ´Ù°í ÀÚ²Ù Á¶Á÷°Ë»ç¸¦ ÇÕ´Ï´Ù. ÇѹøÀº ºñÀüÇüÀû ¼Ò°ß (atypical)ÀÌ ³ª¿Í Å« º´¿ø¿¡¼­ Àç°Ë±îÁö ¹Þ±âµµ Çß½À´Ï´Ù. ¾î¶»°Ô ¾È µÉ±î¿ä?

[2017-3-3. ÀÌÁØÇà ´äº¯]

Ç︮ÄÚ¹ÚÅ͸¦ Á¦±ÕÇÏ¸é µË´Ï´Ù. ½ÉÆò¿ø¿¡¼­ ¸øÇÏ°Ô ÇÒ »ÓÀÔ´Ï´Ù. Àú´Â Á¦±ÕÄ¡·á¸¦ ±ÇÇÏ¿´½À´Ï´Ù. ½ÉÆò¿øº¸´Ù ȯÀÚÀÇ °Ç°­°ú ÇູÀÌ Áß¿äÇϴϱî.

[2018-6-17. ÀÌÁØÇà ¼öÁ¤ ´äº¯]

Ç︮ÄÚ¹ÚÅÍ Á¦±ÕÄ¡·á¸¦ ±ÇÇÕ´Ï´Ù. 2018³â 1¿ù 1ÀϺÎÅÍ´Â '¾à°¡ Àü¾× ȯÀÚ ºÎ´ã'À¸·Î Ä¡·á¹ÞÀ¸½Ç ¼ö ÀÖ½À´Ï´Ù.


[2017-6-5 web-seminar Áú¹®]

IDEN 2017 Ueo ¼±»ý´Ô °­ÀÇ Áß Kyoto systemÀ» ¸»¾¸ÇϽø鼭 red streak´Â Hp À½¼ºÀ̶ó°í Çϼ̴µ¥, Àü red streak¸¦ chronic superficial gastritis·Î ¹Þ¾Æµé¿´½À´Ï´Ù. ±×·±µ¥, ¿À´Ã chronic superficial gastritisÀÇ ´ëºÎºÐÀÌ Hp ¾ç¼ºÀ̶ó°í Çϼż­ Á» Çò°¥¸³´Ï´Ù. µÎ ¼³¸íÀÌ »óÃæµÇ´Â °Í °°½À´Ï´Ù.

[2017-6-5. ÀÌÁØÇà ´äº¯]

¸Å¿ì ÁÁÀº Áú¹®ÀÔ´Ï´Ù. Chronic superficial gastritisÀÇ Á¤Àǰ¡ ¸íÈ®ÇÏÁö ¾Ê±â ¶§¹®¿¡ ¹ß»ýÇÑ È¥¼±À̶ó°í »ý°¢ÇÕ´Ï´Ù.

Chronic superficial gastritis (CSG)´Â ¾Æ¸¶µµ À§³»½Ã°æÀÇ ¾Æ¹öÁö Dr. Schindler°¡ óÀ½ »ç¿ëÇÑ ¿ë¾îÀÎ °Í °°½À´Ï´Ù. ¾Æ·¡ ±×¸²°ú °°ÀÌ À§Ã༺ À§¿°À̳ª ºñÈļº À§¿°ÀÌ ¾Æ´Ï¸é ¸ðµÎ CSGÀÔ´Ï´Ù. SchindlerÀÇ CSG´Â ³ÐÀº ÀǹÌÀÇ CSGÀÌ°í »ó´ç¼ö°¡ Helicobacter °¨¿°°ú °ü·ÃµÇ¾î ÀÖ½À´Ï´Ù.

ÀϺ»¿¡¼­ CSG´Â Á¶±Ý ´Ù¸¥ ¹æ½ÄÀ¸·Î ÀÌÇØµÇ°í ÀÖ½À´Ï´Ù. 2016³â ³»½Ã°æ ¼¼¹Ì³ª¿¡¼­ ¼Ò°³µÈ ¹Ù¿Í °°ÀÌ ÀϺ»¿¡¼­ÀÇ CSG´Â Hp ¹Ì°¨¿°ÀÚÀÇ ³»½Ã°æ ¼Ò°ß (Ç¥À缺 À§¿°, À§Àú¼± ¿ëÁ¾, Ç츶ƾ) Áß Çϳª·Î °£Áֵǰí ÀÖ½À´Ï´Ù. ÀüÁ¤ºÎ¿¡¼­ ½ÃÀ۵Ǵ ¼±»óÀÇ ¹ßÀûÀ» ¸»Çϸç À§»ê ºÐºñ³ª ¸¹Àº »óȲ¿¡¼­ º¸ÀÌ´Â ¼Ò°ßÀ¸·Î ÀÌÇØµË´Ï´Ù.

¿äÄÁµ¥ ¿ì¸®°¡ ÈçÈ÷ ¸»ÇÏ´Â CSG´Â SchindlerÀÇ CSG, Áï ³ÐÀº ÀǹÌÀÇ CSG·Î¼­ Hp °¨¿°ÀÚ°¡ ¸¹Àº ¹Ý¸é, ÀϺ» Kyoto ºÐ·ù¿¡¼­ ¸»ÇÏ´Â CSG´Â Á¼Àº ÀǹÌÀÇ CSG·Î¼­ Hp ¹Ì°¨¿°ÀÚÀÇ Æ¯Â¡Àû ¼Ò°ßÀÔ´Ï´Ù. ÀϺ»ÀÇ ÀÇÇпë¾î´Â ¿©Å¸ ³ª¶ó¿Í ´Ù¸¥ °æ¿ì°¡ ¸¹½À´Ï´Ù. ÀϺ» ¹®ÇåÀ» º¼ ¶§ ¸Å¿ì Á¶½ÉÇØ¾ß ÇÕ´Ï´Ù. ÀÌ·¯ÇÑ ³»¿ëÀ» °­ÀÇ Áß ¸í·áÇÏ°Ô ³ª´©¾î ¼³¸íÇÏÁö ¸øÇÏ¿© Á˼ÛÇÕ´Ï´Ù. ¾Æ·¡ µÎ ÀڷḦ Âü°íÇϽñ⠹ٶø´Ï´Ù.

* Âü°í: Sun-Young Lee. Endoscopic gastritis, serum pepsinogen assay, and Helicobacter pylori infection Korean J Intern Med 2016

* Âü°í : °ËÁø¹ß°ß ¼ÒÈ­¼º ±Ë¾ç°ú ±âŸ À§½ÊÀÌÁöÀå Áúȯ À̼±¿µ. 2016³â ³»½Ã°æ ¼¼¹Ì³ª °­ÀÇ


[2017-6-13. ¾Öµ¶ÀÚ Áú¹®]

... ¼³·É Ç︮ÄÚ¹ÚÅÍ À§¿°ÀÌ ¸Â´Ù ±×·¸´Ù ÇÏ´õ¶óµµ r/o H. pylori gastritis¶ó°í impressionÀ» ¾²´Â °Íµµ ÀÌ»óÇÒ °Í °°½À´Ï´Ù. Ä¡·á indicationµµ ¾Æ´Ñµ¥, H. pylori Á¶Á÷°Ë»çµµ ÇÏÁö ¾ÊÀ» °ÍÀ̸鼭 r/o H. pylori gastritis ¾²´Â °ÍÀÌ ¹«½¼ Àǹ̰¡ ÀÖÀ»±î ½Í½À´Ï´Ù. ȯÀÚ°¡ 'Àú°Ç ¿Ö Àú·¸°Ô »¡°£°¡¿ä?'¶ó°í ¹¯´Â´Ù¸é ¹¹¶ó°í ´ë´äÇØ¾ßÇÒÁö... ±×³É 'Àú ºÎºÐ¸¸ À§¿°ÀÌ ½ÉÇѰſ¡¿ä' ÀÌ·¸°Ô µÎ·ç¹¶¼ú ³Ñ¾î°¡¾ßÇÏ´ÂÁö...

[2017-6-13. ÀÌÁØÇà ´äº¯]

... Áø´Ü¸íÀÌ ¹®Á¦Àä... "À§Ã¼»óºÎ¿Í ºÐ¹®ºÎ Á¡¸·ÀÇ Á¡»ó ¹ÝÁ¡, ¹Ì¸¸¼º ¹ßÀû (diffuse redness)À̶ó´Â Ç︮ÄÚ¹ÚÅÍ À§¿°ÀÇ Æ¯Â¡Àû ¼Ò°ßÀ» º¸ÀΠȯÀÚ¸¦ ¾î¶»°Ô ±â¼úÇÒ °ÍÀÎÁö °í¹ÎÀÔ´Ï´Ù. ÀÌ·± ȯÀÚ´Â Á¦±ÕÄ¡·á¸¦ ÇÏ°í ½ÍÀºµ¥ ´ëÇѹα¹ Á¤ºÎ¿¡¼­ Çã¶ôÇÏÁö ¾Ê°í ÀÖ´Ù´Â Á¡µµ °í¹ÎÀÔ´Ï´Ù. ÀÏ´Ü ÀáÁ¤ÀûÀ¸·Î chronic superficial gastritis of the proximal stomach¶ó°í ¾²°í ÀÖ½À´Ï´Ù. ¹°·Ð r/o Helicobacter-associated¶ó°í ºÙÀÌ°í ¸î °³ÀÇ Á¶Á÷°Ë»ç¸¦ ÇÒ ¼öµµ ÀÖ½À´Ï´Ù. ¾ÈÇØµµ ¹«¹æÇÕ´Ï´Ù¸¸..." Á¤µµ°¡ ¿©ÀüÈ÷ Á¦°¡ »ý°¢ÇÒ ¼ö ÀÖ´Â ÃÖ¼±ÀÇ ´äÀÔ´Ï´Ù.

StrictÇÑ ±Þ¿© ±âÁØÀ» À¯ÁöÇϸ鼭 Á¶±ÝÀÇ flixibilityµµ Çã¿ëÇÏÁö ¾Ê´Â ¿ì¸®³ª¶óÀÇ °æÁ÷µÈ ÀÇ·á ÇöÀå¿¡¼­ ÀÚÁÖ ¸¸³ª´Â ¾ÈŸ±î¿î ¸ð½À´Ï´Ù. ¹º°¡ÀÇ Á¦µµ°¡ strictÇÏ°Ô µÇ¾î ÀÖÀ¸¸é ¾îµò°¡¿¡¼­´Â À¶Å뼺À» Çã¿ëÇØ¾ß Çϴµ¥ ±× ºÎºÐÀÌ ÀüÇô °í·ÁµÇÁö ¾Ê°í ÀÖ½À´Ï´Ù. ¿ì¸®³ª¶ó¸¦ Á¦¿ÜÇϰí off label ó¹æÀ» ÀüÇô ÀÎÁ¤ÇÏÁö ¾Ê´Â ÀÇ·á ½Ã½ºÅÛÀº °ÅÀÇ ¾ø½À´Ï´Ù. ±× ºñ½Ñ ¹Ì±¹ ÀÇ·á¿¡¼­µµ off label Ä¡·á´Â ÀÎÁ¤µË´Ï´Ù. ÀϺ»¿¡¼­´Â ´©±¸³ª °Ë»çÇÏ°í ´©±¸³ª Ä¡·á¹Þ´Â Ç︮ÄÚ¹ÚÅÍ À§¿°À» ¿ì¸®³ª¶ó¿¡¼­´Â ¿ÏÀüÈ÷ ºÒ¹ýÀ¸·Î °£ÁÖÇÏ´Â ¸ð½ÀÀº ½ÉÆòÀÇÇÐÀÇ ÇѰèÀÔ´Ï´Ù. Àû¾îµµ ¿øÇÏ´Â »ç¶÷ÀÌ¶óµµ Ä¡·á¸¦ ¹ÞÀ» ¼ö ÀÖ°Ô ÇØ ÁÖ¾î¾ß ÇÕ´Ï´Ù. Àû¾îµµ ¿øÇÏ´Â ÀÇ»ç¶óµµ »è°¨À» °ÆÁ¤ÇÏÁö ¾Ê°í ó¹æÇÒ ¼ö ÀÖ°Ô ÇØ ÁÖ¾î¾ß ÇÕ´Ï´Ù. ¿ì¸®³ª¶ó ÀÇÇÐÀÌ ¹ßÀüÇÏ·Á¸é, ¿ì¸® ±¹¹ÎµéÀÌ Á¦´ë·Î µÈ ÀÇ·á ¼­ºñ½º¸¦ ¹ÞÀ¸·Á¸é ½ÉÆòÀÇÇп¡¼­ ¹þ¾î³ª¾ß ÇÒ °Í °°½À´Ï´Ù. ¹ÚÁ¤Èñ µ¶ÀçÁ¤±Ç ½Ã´ë¿¡ ¸¸µé¾îÁö ±ÇÀ§ÁÖÀÇ ÀÇ·á½Ã½ºÅÛÀÌ ¼ö¸íÀ» ´ÙÇÑ °Í °°½À´Ï´Ù. µ¶ÀçÀÚÀÇ µþµµ ´ëÅë·É¿¡¼­ ¹°·¯³­ ¸¶´çÀÌ´Ï... ÀÌÁ¦ ÀÇ·á½Ã½ºÅÛµµ Á¦´ë·Î ¹Ù²î¾î¾ß ÇÏÁö ¾ÊÀ»±î¿ä.

[2018-6-17. ÀÌÁØÇà ¼öÁ¤ ´äº¯]

Áø´Ü¸í¿¡ Ç︮ÄÚ¹ÚÅÍ À§¿°À̶ó°í ¾²°í Ç︮ÄÚ¹ÚÅÍ °Ë»ç¸¦ ÇϽʽÿÀ (90/100). 2018³â 1¿ù 1ÀϺÎÅÍ´Â '¾à°¡ Àü¾× ȯÀÚ ºÎ´ã'À¸·Î Á¦±ÕÄ¡·á¸¦ ÇÒ ¼ö ÀÖ½À´Ï´Ù.

[2018-10-31. ¾Öµ¶ÀÚ Áú¹®]

±³¼ö´Ô ¾È³çÇϽʴϱî? ¿£µµÅõµ¥ÀÌ·Î °øºÎÇÏ´Â ³»°úÀÇ»çÀÔ´Ï´Ù.

Thickened gastric rugae with whitish, sticky exudate ´Â acute H.pylori infection À̶ó°í ¿£µµÅõµ¥ÀÌ·Î ¹è¿ü½À´Ï´Ù. °¡¸£ÃÄÁּż­ °¨»çÇÕ´Ï´Ù. ÀÌ·± ¼Ò°ßÀÌ ÀÖÀ¸¸é, º¸¸¸4Çü À§¾ÏÀ» °¨º°ÇÏ·Á°í, Àú´Â À§Ã¼ºÎ ´ë¸¸¿¡ Á¶Á÷°Ë»ç¸¦ ÇÒ°Í °°Àºµ¥¿ä. ±×¸®°í º¹ºÎ CT µµ ¶§·Î´Â ±Ç°íÇÒ°Í °°Àºµ¥¿ä. . Ȥ½Ã³ª ¸ð¸¦ º¸¸¸4Çü ³õÄ¡´Â ÀÇ·á»ç°í ´ëºñÇÏ·Á´Â ¹æ¾îÀûÀÎ Áø·á¶§¹®¿¡... ±³¼ö´Ô²²¼­µµ Á¶Á÷°Ë»ç¸¦ ÇϽôÂÁö¿ä? Á¦°¡ ÇÊ¿ä¾ø´Â Á¶Á÷°Ë»ç¸¦ Çϴ°¡ ½Í¾î¼­, °úÀ×Áø·áÀΰ¡ ½Í¾î¼­, ±³¼ö´Ô²² ¹®Àǵ帳´Ï´Ù. Ç×»ó °¨»çµå¸³´Ï´Ù.

[2018-10-31. ÀÌÁØÇà ´äº¯]

ºñ·Ï Ç︮ÄÚ¹ÚÅÍ À§¿°ÀÌ "Thickened gastric rugae with whitish, sticky exudate" ¼Ò°ßÀ» º¸À̱â´Â ÇÏÁö¸¸ º¸¸¸ 4Çü ÁøÇ༺ À§¾Ï°ú »ç¹µ ´Ù¸¥ ¸ð¾çÀÔ´Ï´Ù. Thickened fold¿¡¼­´Â Ç×»ó º¸¸¸ 4Çü ÁøÇ༺ À§¾ÏÀ» °¡Àå ¸ÕÀú °í·ÁÇØ¾ß ÇϰڽÀ´Ï´Ù. Ç︮ÄÚ¹ÚÅÍ À§¿°À̶ó°í °¡Á¤ÇÏ°í °¡º±°Ô º¸´Ù°¡´Â Áø´ÜÀÌ ´Ê¾îÁú ¼ö Àֱ⠶§¹®ÀÔ´Ï´Ù. Á¶Á÷°Ë»ç´Â ¾ðÁ¦³ª °úÀ× Áø·á°¡ ¾Æ´Õ´Ï´Ù. ÇÊ¿äÇÒ ¶§¿¡´Â ¾ðÁ¦³ª ÇÏ¸é µË´Ï´Ù. ³²µéÀÌ ´Ùµé ºÒÇÊ¿äÇÏ´Ù°í ÇÏ´Â »óȲ¿¡¼­ ³ª¸¸ Á¶Á÷°Ë»ç¸¦ ÀÚ²Ù ÇÊ¿äÇÏ´Ù°í »ý°¢ÇÏ¸é °úÀ×ÀÔ´Ï´Ù. ±×·± ºÐµé ÀÖ½À´Ï´Ù. ±×·¸´õ¶óµµ ³»½Ã°æ ÇÏ´Â Àǻ簡 ÇÊ¿äÇØ¼­ ÇÏ¸é ±× ¼ø°£Àº °úÀ×ÀÌ ¾ÆÀÔ´Ï´Ù. ¸»Àå³­ °°Áö¸¸ ±×·¸°Ô ÇØ¼®ÇÒ ¼ö ¹Û¿¡ ¾ø½À´Ï´Ù.

°áÀý¼º À§¿°°ú À§ÁÖ¸§ÀÇ ¾ÆÁÖ °æ¹ÌÇÑ ºñÈÄ. Ç︮ÄÚ¹ÚÅÍ À§¿°¿¡¼­ À§ÁÖ¸§ÀÌ ¾à°£ µÎ²®´Ù´Â °ÍÀº ´ëºÎºÐ ÀÌ Á¤µµÀÇ °æ¹ÌÇÑ ¼Ò°ßÀÔ´Ï´Ù. ¸í¹éÇÑ ºñÈļº À§¿°Àº ÈçÇÏÁö ¾Ê½À´Ï´Ù.

Á¶Á÷°Ë»çµµ Àû´çÈ÷ ÇÏ´Â °ÍÀÌ ÁÁ½À´Ï´Ù. ¿ì¸®³ª¶ó´Â ÀϺ»¿¡ ºñÇÏ¿© ´ë·« 3¹è Á¤µµ·Î ¸¹ÀÌ Çϰí ÀÖÁö ¾Ê³ª »ý°¢ÇÕ´Ï´Ù. Á¦ ´À³¦ÀÔ´Ï´Ù. ´ëÃæ º¸°í Á¶Á÷°Ë»ç ¸¹ÀÌ ÇÏ´Â °ÍÀÌ ¿ì¸® ³ª¶ó ½ºÅ¸ÀÏÀ̰í ÀϺ»Àº Á¤¹Ý´ëÀÔ´Ï´Ù.


[2019-3-8] À§¿Í ½ÊÀÌÁöÀåÀÇ microbiota¿Í Á¶Á÷ÇÐÀû, ³»½Ã°æÀû ¿°Áõ ¹× Áõ»ó°úÀÇ °ü·Ã¼ºÀ» ºÐ¼®ÇÑ °Ç±¹´ë À̼±¿µ ±³¼ö´Ô ÆÀÀÇ ¿¬±¸¸¦ Èï¹Ì·Ó°Ô º¸¾Ò½À´Ï´Ù (J. Clin. Med 2019).

ÀúÀÚ²²¼­´Â "º´¸®ÇÐÀû À§¿°°ú ³»½Ã°æÀû À§¿°Àº ¼¼±ÕÃÑÀÇ ±¸¼ºÀÌ À¯»çÇÏÁö¸¸, Áõ»óÀû À§¿°Àº À§³» ¼¼±ÕÃѺ¸´Ù ½ÊÀÌÁöÀå ¼¼±ÕÃÑÀÌ ´õ ¿¬°üµÇ¾î ÀÖ°í, º´¸®ÇÐÀû À§¿°À̳ª ³»½Ã°æÀû À§¿°°ú´Â »óÀÌÇÏ´Ù´Â °á·Ð"À¸·Î ¼³¸íÇÏ°í °è½Ê´Ï´Ù.

Abstract: Mucosal inflammation is characterized by neutrophil and mononuclear cell infiltration. This study aimed to determine the gastric and duodenal microbiota associated with histological, endoscopic, and symptomatic gastritis. Dyspeptic adults who presented for evaluation were included. Subjects with either comorbidities or recent drug intake were excluded. Three endoscopic biopsies were obtained from the antrum, body, and duodenum. Next-generation sequencing for 16S ribosomal RNA V1-V2 hypervariable regions was performed. The correlation between the composition of microbiota and the degree of inflammatory cell infiltration, endoscopic findings, and Patient Assessment of Gastrointestinal Disorders Symptom Severity Index (PAGI-SYM) score was analyzed. In 98 included subjects, microbial communities in the antrum and body showed Bray-Curtis similarity; however, those in the duodenum showed dissimilarity. Histological and endoscopic gastritis was associated with the abundance of Helicobacter pylori and that of commensal bacteria in the stomach. The abundances of Variovorax paradoxus and Porphyromonas gingivalis were correlated with histological gastritis, but not with endoscopic or symptomatic gastritis. The total PAGI-SYM score showed a stronger correlation with the duodenal microbiota (Prevotella nanceiensis and Alloprevotella rava) than with the gastric microbiota (H. pylori, Neisseria elongate, and Corynebacterium segmentosum). Different correlations of the gastric and duodenal microbiota with histological, endoscopic, and symptomatic gastritis were observed for the first time at the species level. H. pylori-negative gastritis is not associated with endoscopic or symptomatic gastritis. Only H. pylori-induced endoscopic gastritis requires gastric cancer surveillance. Owing to the weak correlation with H. pylori, symptomatic gastritis should be assessed separately from histological and endoscopic gastritis.

Figure 3. Significant endoscopic findings that were correlated with the relative abundance of microbiota. Helicobacter pylori was abundant in the presence of hemorrhagic spots, hypertrophic rugae, advanced atrophy, and mucosal nodularity, whereas Pseudomonas veronii and Propionibacterium acnes were abundant in the absence of these findings. Pseudomonas sp. was abundant in the absence of atrophy and nodularity. Moreover, Cloacibacterium rupense and Staphylococcus epidermidis were abundant in the absence of nodularity. The median relative abundance of each species were provided with range (minimum-maximum) using the Kruskal-Wallis test. H. pylori: Helicobacter pylori; P. veronii: Pseudomonas veronii; P. acnes: Propionibacterium acnes; C. rupense: Cloacibacterium rupense; S. epidermidis: Staphylococcus epidermidis.

ÀÌ ºÐ¾ß ¿¬±¸ °æÇèÀÌ ¾ø´Â Àú·Î¼­´Â ³í¹®ÀÇ ¼¼ºÎ ³»¿ëÀ» ¸ðµÎ ÀÌÇØÇϱâ´Â ¾î·Á¿ü½À´Ï´Ù¸¸ Èï¹Ì·Î¿î ÀÚ·á´Â ¸¹¾Ò½À´Ï´Ù.

¿¬±¸ÀÚ°¡ º»ÀÎÀÇ ¿Ü·¡¸¦ ¹æ¹®ÇÑ È¯ÀÚ¸¦ ´ë»óÀ¸·Î ¿¬±¸ Âü¿©¸¦ ±ÇÀ¯ÇÏ°í µ¿ÀǼ­¸¦ ¹Þ°í Áõ»ó ¼³¹®°ú °Ëü¸¦ ¾ò¾î ÁøÇàµÈ ¿¬±¸¿´½À´Ï´Ù. Èï¹Ì·Î¿î ¾ð±ÞÀÌ ÀÖ¾ú½À´Ï´Ù.^^ "Most of the patients who visited the clinic were female subjects who wanted to be examined by a female gastroenterologist; thus, only 21 of out included 98 subjects were male."

ÀúÀÚÀÇ °á·ÐÀ» ¿Å±é´Ï´Ù. °á·ÐÀÇ ¸¶Áö¸· ¹®ÀåÀÌ Á¤È®È÷ ¾î¶² ÀǹÌÀÎÁö ±Ã±ÝÇß½À´Ï´Ù.

Different correlations of the gastric and duodenal microbiota with histological, endoscopic, and symptomatic gastritis were observed for the first time at the species level. Histological gastritis was associated with the relative abundances of H. pylori, V. paradoxus, and P. gingivalis. H. pylori-negative gastritis was not associated with endoscopic or symptomatic gastritis. H. pylori was the only pathogen associated with endoscopic gastritis, which requires gastric cancer surveillance.

Symptomatic gastritis should be evaluated and managed differently from histological and endoscopic gastritis, because it is more strongly correlated with the duodenal microbiota (P. nanceiensis and A. rava) than the gastric microbiota (H. pylori, N. elongata, and C. segmentosum). Thus, factors other than H. pylori infection status should be assessed in cases of symptomatic gastritis.

¹«Ã´ Èûµç ¿¬±¸¸¦ ³¡±îÁö ¸¶Ä¡°í ¸ÚÁø ¸ð½ÀÀ¸·Î ¹ßÇ¥ÇϽŠ¿¬±¸Àڵ鿡°Ô °Ý·Á°ú ÃàÇÏÀÇ ¸Þ¼¼Áö¸¦ º¸³À´Ï´Ù. °í»ýÇϼ̽À´Ï´Ù.

[À̼±¿µ ±³¼ö´Ô ´äº¯]

Áõ»óÀû À§¿°ÀÌ ºñ·Ï À§¼¼±ÕÃѺ¸´Ù ½ÊÀÌÁöÀå ¼¼±ÕÃѰú ¿¬°üÀÌ ÀÖ´Ù°í ³ª¿ÔÁö¸¸, ¼¼±ÕÃÑ ÀÌ¿ÜÀÇ ¿äÀÎÀÌ Áõ»ó ¹ßÇö°ú ¿¬°üÀÌ ÀÖÀ» °Å¶ó »ý°¢ÇÕ´Ï´Ù. ¸®ºä¾îµéÀº ¼¼±ÕÃѸ¸ °­Á¶Ç϶ó ÇßÁö¸¸, ÀþÀº ¿©¼º¿¡¼­ À§¿° Áõ»óÀÌ ÈçÇÑ °É º¸¸é ¼ºº°, ³ªÀÌ, ¸Å¿î À½½Ä, ¿¹¹ÎÇÑ ¼º°Ý µîÀÌ Áõ»ó ¹ßÇö¿¡ ÀÖ¾î ¼¼±ÕÃѺ¸´Ù ´õ Áß¿äÇÏ´Ù°í »ý°¢ÇÕ´Ï´Ù.


[2021-6-13. ³»½Ã°æÇÐȸ °æÀÎÁöȸ ½ÉÆ÷Áö¾ö Ç︮ÄÚ¹ÚÅÍ ¼¼¼ÇÀ» µè°í ÀÌÁØÇà ÀÚ¹®ÀÚ´ä]

Áú¹®: Ç︮ÄÚ¹ÚÅÍ À§¿° Áß diffuse redness¿Í spotty redness´Â ¾î¶»°Ô ´Ù¸¨´Ï±î?

´äº¯: ÀϺ»ÀÇ Kyoto classification Ã¥ÀÚ¿¡´Â µÑÀÌ ±¸ºÐµÇ¾î ÀÖ½À´Ï´Ù. Ã¥ÀÚ¿¡ ³ª¿Â Á¤ÀÇ¿Í sample »çÁøÀº ¾Æ·¡¿Í °°½À´Ï´Ù.

- Diffuse redness refers to uniformly reddish mucosa with continous expansion observed in non-atrophic mucosa main in the body.

¿µ¹®ÆÇ Kyoto Classification of Gastritis 38ÂÊ

- Spotty redness is marked by irregular red dots of various shapes and sizes.

¿µ¹®ÆÇ Kyoto Classification of Gastritis 43ÂÊ

¿ì¸®³ª¶ó¿¡¼­´Â diffuse redness¿Í spotty redness¸¦ ¼¯¾î¼­ ¸ðµÎ diffuse redness·Î ºÎ¸£´Â °æÇâÀÌ ÀÖ½À´Ï´Ù. EndoTODAY¿¡¼­µµ ±×·¯ÇÑ ÀÔÀåÀÔ´Ï´Ù. ÀÌÀ¯´Â ÀϺ»¿¡¼­ ¸»ÇÏ´Â diffuse redness´Â ³Ê¹« ÁÖ°üÀûÀÌ°í ±â°èÀÇ minor setting¿¡ ¿µÇâÀ» ¹ÞÀ¸¹Ç·Î reproducibility°¡ ¶³¾îÁö±â ¶§¹®ÀÔ´Ï´Ù.

2021³â 6¿ù 13ÀÏ °æÀÎÁöȸ¿¬¼ö°­Á¿¡¼­ ¹ÚÂùÇõ ±³¼ö´ÔÀº µÑÀ» ±¸ºÐÇÏ¿© ¼³¸íÇϼ̽À´Ï´Ù. µû¶ó¼­ ±×¿¡ ´ëÇÑ Áú¹®ÀÌ ÀÖ¾ú´Âµ¥ "RACÀÌ ¾È º¸À̸é diffuse redness°¡ ÀÖ´Ù°í º¸¾Æµµ µÉ °Í °°´Ù"´Â ´äº¯ÀÌ ³ª¿Ô½À´Ï´Ù. Àú´Â ´õ È¥¶õ½º·¯¿öÁ³½À´Ï´Ù. ´ÙÀ½ ¼¼¼Ç ¿¬ÀÚ²²¼­µµ ÀÌ ºÎºÐÀ» commentÇϼ̴µ¥ ¸·»ó diffuse redness¶ó´Â Á¦¸ñÀÇ slide¿¡¼­´Â spotty redness ¼Ò°ßÀ̾ú½À´Ï´Ù. ¿ª½Ã ¿ì¸®³ª¶ó¿¡¼­´Â ´ëºÎºÐ ÀÌ µÑÀ» ±¸ºÐÇÏÁö ¾Ê´Â´Ù°í º¸´Â °ÍÀÌ ÁÁ°Ú½À´Ï´Ù. »ç½Ç ÀϺ»¿¡¼­ ¸ðµç »ç¶÷ÀÌ ÀÌ µÑÀ» Á¤È®È÷ ±¸ºÐÇϰí ÀÖ´ÂÁö ¹ÌÁö¼öÀÔ´Ï´Ù. ¸î ºÐÀÇ ÀϺ» ¼±»ý´Ôµé °­ÀǸ¦ µé¾îº¸¾Æµµ diffuse redness¿Í spotty redness¸¦ Àß ±¸ºÐÇÏÁö ¾Ê´Â °Í °°¾Ò±â ¶§¹®ÀÔ´Ï´Ù.

Kyoto ºÐ·ù¸¦ óÀ½ Á¦¾ÈÇÑ ÆÀ¿¡¼­´Â µÑÀ» ±¸ºÐÇϰíÀÚ ÇÏ¿´À¸³ª ÀϺ»À̳ª ¿ì¸®³ª¶óÀÇ ³»½Ã°æ½Ç ÇöÀå¿¡¼­´Â µÑÀ» ±¸ºÐÇϴµ¥ ¾î·Á¿òÀ» °Þ°í ÀÖ°í °á±¹ ¸¶±¸ ¼¯¾î ¾²°í ÀÖ´Ù°í º¸´Â °ÍÀÌ Á¤È®ÇÒ °Í °°½À´Ï´Ù.

[2021-6-16. °Ç±¹´ë À̼±¿µ ±³¼ö´Ô comment]

°Ç±¹´ë À̼±¿µ ±³¼ö´Ô²²¼­ EndoTODAY ºí·Î±× Æ÷½ºÆÃÀ» º¸½Ã°í ¾Æ·¡¿Í °°Àº ÀǰßÀ» º¸³»Áּ̽À´Ï´Ù.

À§¿°ÀÇ ³»½Ã°æ¼Ò°ß Ã¥¿¡¼­ ¼³¸íÇÏ´Â °É ºü¶ß·È´ø ºÎºÐÀ̶ó ´Ã ¸¶À½¿¡ °É·È¾ú´Âµ¥, ¾îÁ¦ ¸¶Ä§ diffuse vs. spotty redness¿¡ ´ëÇÑ Áú¹®À» ¿Ã¸®¼Å¼­ ¸»¾¸µå¸³´Ï´Ù.

÷ºÎÈ­ÀÏ 3ÂÊÀÇ »çÁø ab¿Í °°ÀÌ diffuse redness´Â À§ Àüü¿¡¼­ ±¤¹üÀ§ÇÏ°Ô °üÂûµÉ ¼ö ÀÖ´Â ¹Ì¼¼ÇÑ ¹ßÀûÀ̰í, spotty redness´Â diffuse redness Áß¿¡¼­ »ç¶÷ ´«¿¡ º¸ÀÏ Á¤µµ·Î Ä¿Áø ¹ßÀûµéÀÌ dot³ª petechiaeó·³ º¸ÀÌ´Â °ÍÀ̶ó°í ÇÕ´Ï´Ù.

Spotty redness´Â µÎ²²°¡ ¾ãÀº ±âÀúºÎ¿¡¼­ ÁÖ·Î °üÂûµÇ±â ¶§¹®¿¡ °¨¿°ÀÚ °¨º° ½Ã fundus ºÎ±Ù¸¸ °üÂûÇÏ¸é ¾Ë ¼ö ÀÖÁö¸¸, diffuse redness´Â À§ Àüü¿¡ °ÉÃÄ ÆÛÁø ¹Ì¼¼ÇÑ ¹ßÀûÀ̱â ÀÚ¼¼È÷ ºÁ¾ß¸¸ ¾Ë ¼ö ÀÖ½À´Ï´Ù. Áï, ³»½Ã°æ °Ë»ç ½Ã ÇÑ ´«¿¡ º¸ÀÌ´Â ±âÀúºÎÀÇ hemorrhagic spotsÀº spotty rednessÀ̸ç, spotty redness ¹ÙÅÁ¿¡ ±ò¸° À§ ÀüüÀÇ ¹Ì¼¼ÇÑ ¹ßÀûÀº diffuse rednessÀÔ´Ï´Ù. ÀÚ¼¼È÷ ºÁ¾ß¸¸ ¾Ë ¼ö ÀÖ´Â ¹Ì¼¼ÇÑ Ç÷°üÈ®ÀåµéÀÎ ¼ÀÀÔ´Ï´Ù.

°¨¿°ÀÚ´Â ´ëºÎºÐ µÑ ´Ù À־ Àú´Â diffuse spotty redness¶ó°í Ç¥ÇöÇϱ⵵ ÇÕ´Ï´Ù.


[2022-4-16 SIDDS À̼±¿µ ±³¼ö´Ô °­ÀÇ]


[2022-5-3. ¾Ë¸²]

2022³â 5¿ù 1ÀÏ·Î 'Ç×»ýÁ¦ ¹× Ç׿øÃæÁ¦' µî ¾àÁ¦ÀÇ °í½Ã°¡ ÀϺΠº¯°æµÇ¾ú½À´Ï´Ù. À§¼±Á¾ÀÇ ³»½Ã°æÀýÁ¦¼ú ÈÄ Ç︮ÄÚ¹ÚÅÍ ÆÄÀϷθ®(H.pylori) °¨¿°ÀÌ È®ÀÎµÈ °æ¿ì ±âÁ¸ Àü¾× ȯÀÚ ºÎ´ã¿¡¼­ ±Þ¿©·Î º¯°æµÇ¾ú½À´Ï´Ù.


[2025-1-26. ¾Öµ¶ÀÚ Áú¹®]

Alcoholics case ¿¡¼­ PPI¸¦ À¯ÁöÇÑ »óÅ·Π³»½Ã°æ Àç°ËÀ» ½ÃÇàÇϽеí Çѵ¥, CLO µî Ç︮ÄÚ¹ÚÅÍ °Ë»çÀÇ À§À½¼º °¡´É¼ºÀº ¾øÀ»Áö¿ä?

[2025-1-26. ÀÌÁØÇà ´äº¯]

ÁÁÀº Áú¹® °¨»çÇÕ´Ï´Ù. Áõ·Ê¿¡¼­´Â ÀÏ´Ü ÁöÇ÷¼ú ÈÄ Áï½Ã Ç︮ÄÚ¹ÚÅÍ °Ë»ç¸¦ ÇÏ¿´½À´Ï´Ù. ´ç½Ã´Â Giemsa À½¼ºÀ̾ú½À´Ï´Ù. ¹°·Ð ÃâÇ÷ »óȲ¿¡¼­ Ç︮ÄÚ¹ÚÅÍ Á¶Á÷°Ë»çÀÇ ¾ç¼º·üÀÌ Á¶±Ý ³·À» ¼ö ÀÖ´Ù´Â Á¡Àº ÀÌÇØÇϰí ÀÖ½À´Ï´Ù. Helicobacter ¾ç¼ºÀÏ °ÍÀ¸·Î ¿¹»óµÇ´Â »óȲ¿¡¼­ À½¼ºÀÌ ³ª¿ÔÀ¸¹Ç·Î ÃßÀû°Ë»ç¿¡¼­µµ Ç︮ÄÚ¹ÚÅÍ °Ë»ç¸¦ ÇÏ´Â °ÍÀÌ ÁÁÀº »óȲÀ̾ú½À´Ï´Ù. PPI¸¦ 4ÁÖ Ã³¹æÇϰí 3ÁÖ ÈÄ ³»½Ã°æ °Ë»ç¸¦ ÇÏ¿´À¸¹Ç·Î Áú¹®ÁֽŠ¹Ù¿Í °°ÀÌ PPI¸¦ À¯ÁöÇÑ »óÅ·Π³»½Ã°æ Àç°ËÀ» ÇÑ °ÍÀº ¸Â½À´Ï´Ù.

Àúµµ ¼ÒÈ­¼º±Ë¾ç ȯÀÚÀÇ ÃßÀû°Ë»ç¿¡¼­ PPI¸¦ 2ÁÖ Áß´ÜÇÏ°í ³»½Ã°æÀ» Çϸ鼭 Ç︮ÄÚ¹ÚÅÍ °Ë»ç¸¦ ÇÕ´Ï´Ù. ±×·¯³ª °íÀ§Çè ÃâÇ÷ ȯÀÚ¿¡¼­, ƯÈ÷ ¸¸¼º ÁúȯÀÌ Àְųª NSAIDs³ª ¼úÀ» ²÷Áö ¾ÊÀº ȯÀÚ¿¡¼­ PPI Áß´Ü ÈÄ ³»½Ã°æ °Ë»ç¸¦ Çϱâ Àü 1-2ÁÖ »çÀÌ¿¡ ÀçÃâÇ÷À» ÇÏ´Â °æ¿ì¸¦ °æÇèÇÑ ¹Ù ÀÖ½À´Ï´Ù. ÀÌ·± À§ÇèÀÌ ÀÖ´Â °æ¿ì¿¡´Â Ç︮ÄÚ¹ÚÅÍ °Ë»çÀÇ Á¤È®µµ°¡ ´Ù¼Ò ³·¾ÆÁö´Â °ÍÀ» °¨¼öÇÏ´õ¶óµµ on PPI »óÅ¿¡¼­ ³»½Ã°æ °Ë»ç¸¦ Çϰí ÀÖ½À´Ï´Ù. Ç︮ÄÚ¹ÚÅÍ´Â ÃßÈÄ ¾ðÁ¦µçÁö °Ë»çÇÒ ¼ö Àֱ⠶§¹®ÀÔ´Ï´Ù. "ÀÌ·¯Àú·¯ÇÑ ÀÌÀ¯·Î Ç︮ÄÚ¹ÚÅÍ °Ë»ç¸¦ ÃæºÐÈ÷ ÇÒ ¼ö ¾ø¾úÀ¸´Ï ÀÌÁ¦ Ç︮ÄÚ¹ÚÅÍ °Ë»ç¸¦ ÇØ º¾½Ã´Ù"¶ó°í ¸»ÇÒ ±âȸ´Â ¸¹½À´Ï´Ù. UBT¸¦ ÇÏ¸é µË´Ï´Ù. Ç︮ÄÚ¹ÚÅÍ Á¦±ÕÄ¡·á ÈĶó¸é ÀÏ¹Ý º¸Çè ±Þ¿©, Ç︮ÄÚ¹ÚÅÍ Á¦±ÕÄ¡·á¸¦ ÇÏÁö ¾Ê¾Ò´ø ȯÀÚ¿¡¼­´Â ºñ±Þ¿©ÀÔ´Ï´Ù.

[2025-2-10] À̼±¿µ ±³¼ö´ÔÀÇ À§¿° °­ÀÇ¿¡¼­ ¸¹Àº °ÍÀ» ¹è¿ì°í ÀÖ½À´Ï´Ù. ¿À´ÃÀÇ °­ÀÇ´Â Á¤¸» ÁÁ¾Ò½À´Ï´Ù. Wonderful


[2025-10-25/26] Ãß°èÇмú´ëȸ ¹× Ç︮ÄÚ¹ÚÅÍ ¾ÆÄ«µ¥¹Ì

ÅÂÁ¤Çö ±³¼ö´Ô

ÅÂÁ¤Çö ±³¼ö´Ô

ÅÂÁ¤Çö ±³¼ö´Ô

ÀӽŠ½Ã ÇÇÇØ¾ß ÇÒ ¾à

ÀӽŠ½Ã ÇÇÇØ¾ß ÇÒ ¾à

º¸ÇèÁ¦µµ

Ç︮ÄÚ¹ÚÅÍ À§¿°

Ç︮ÄÚ¹ÚÅÍ À§¿°

ÀÚÀڸ鿪À§¿°


[References]

1) EndoTODAY À§¿°

2) À§¿°ÀÇ ´Ù¾çÇÑ ³»½Ã°æ ¼Ò°ß ¹× ±× ÀÇ¹Ì À̼±¿µ ±³¼ö´Ô. PDF

3) Sun-Young Lee. Endoscopic gastritis, serum pepsinogen assay, and Helicobacter pylori infection Korean J Intern Med 2016

4) EndoTODAY Ãʺ¸ÀÚ¸¦ À§ÇÑ one point lesson - À§¿°

5) ÙíÓÍÅä·Ð - ¸¸¼ºÀ§¿° ³»½Ã°æÁø´Ü 003 2015³â Ç︮ÄÚ¹ÚÅÍ À§¿°¿¡ ´ëÇÑ °ü½ÉÀÌ ºÎÁ·ÇÏ´ø ½ÃÀýÀÇ Áú¹®°ú ´äº¯ÀÔ´Ï´Ù.

6) ¿¡¶ó ¸ð¸£°Ú´Ù. Thickened fold by Helicobacter pylori gastritis

7) 2018-12 ȯÀÚ, ÀϹÝÀÎÀ» À§ÇÑ Ç︮ÄÚ¹ÚÅÍ ÆÄÀ̷θ® ¾È³»¼­

8) Endoscopic features of H. pylori infection ÁÖ¹®°æ (VOD, IDEN2021)

9) Ç︮ÄÚ¹ÚÅÍ À§¿°À» ³»½Ã°æÀ¸·Î ¹ß°ßÇϱ⠴ëÇѼÒÈ­±â³»½Ã°æÇÐȸ KSGE webinar 2023/12 (log-in required)

© ÀÏ¿ø³»½Ã°æ±³½Ç ¹Ù¸¥³»½Ã°æ¿¬±¸¼Ò ÀÌÁØÇà. EndoTODAY Endoscopy Learning Center. Lee Jun Haeng.